
现代人的生活不规律
一不小心就落下“胃痛”的毛病
可是“胃痛”久治不好
就有可能是其他疾病哦
家住乐从的82岁刘奶奶,因胃疼半年,来到广州医科大学附属顺德医院就医。经过诊断,刘奶奶的病灶不是在胃,而是在上腹部其他器官。

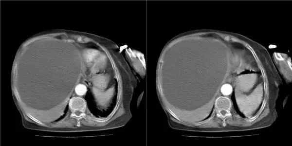
经过CT诊断,
刘奶奶体内居然有一个
12*10*9cm的肝囊肿!
你问我什么概念?
差不多等同于
放了一个大芒果在肝里面!

最后刘奶奶通过微创手术,成功摘除囊肿。现刘奶奶术后恢复良好,已康复出院。

原以为一个小小的胃痛,
怎么就演变成可怕的肝囊肿?
肝囊肿是什么病?
胃痛久治不好,
是不是都有可能是肝囊肿?
莫慌,淡定。
今天,《健康最关注》栏目请来了广州医科大学附属顺德医院陈应驹医师,为大家介绍一下肝囊肿。

什么是肝囊肿?
肝囊肿为先天性、非遗传性肝内囊性病变。囊腔通常不与肝内胆管系交通,可为单发性或多发性。

一般有什么症状?
肝囊肿生长缓慢,多数病人无明显症状,仅在体检时被偶然发现。巨大的肝囊肿可出现明显的压迫症状。若合并感染,可出现畏寒、发热、腹痛等类似肝脓肿的症状。单纯性肝囊肿相对少见,发病女多于男,男女之比为1∶4。

约20%患者有症状,最常见的首发症状为腹围增大,其初发症状可始于任何年龄,但多发生在20~50岁。临床上较常见的其他症状和体征如下:
1、胃肠道症状
当囊肿增大并压迫胃、十二指肠和结肠时,可引起餐后饱胀、食欲减退、恶心和呕吐等症状。
2、腹痛
大而重的囊肿可引起上腹膨胀不适、隐痛或轻度钝痛。突发剧痛或出现腹膜炎的症状体征时,提示有囊肿出血或破裂等并发症发生,并可出现畏寒、发热。

3、腹部包块
发现腹部包块是许多患者的主要初发表现。
4、黄疸
肝门邻近的囊肿压迫肝管或胆总管可引起轻度黄疸,其发生率较低,仅在约5%的病例中出现。
怎么看出来是肝囊肿?
腹部触及随呼吸移动的包块是主要体征,其位置随囊肿发生的部位而定,但多数位于右上腹。

病因是什么?
肝囊肿的发生被归因于异位胆管。这类囊肿起源于肝内迷走胆管或肝内胆管和淋巴管的发育障碍,导致管腔内容物停滞潴留而成。
得这个病了怎么办?
90%的肝囊肿是先天性肝囊肿,先天性肝囊肿大多数因为很小对人体没有什么影响,对肝脏也没有影响,因此也没有什么症状,绝大部分只是在体检时发现。
当囊肿越长越大、越长越多时就会出现症状。如果肝囊肿有明显的症状不适,就要前往医院进行治疗。
简单来说,
肝囊肿的最佳治疗方法是:
找医生!
平时怎么预防?

(1)要多吃红色蔬菜,重点推荐胡萝卜、西红柿、红枣、火龙果等红颜色的蔬菜水果。多喝水可增强血液循环,促进新陈代谢,还可促进腺体,尤其是消化腺和胰液、胆汁的分泌。

(2)改变日常饮食的习惯,减少食物中脂肪含量及总热量。适量补充纤维素、维生素、维生素c、维生素b6、维生素e等,可以减少肝囊肿发病的危险。
(3)合理平衡膳食始终是贯穿于日常生活中的重要环节,若能重视饮食调养,将有助于提高自身免疫力、改善肝脏功能。
(4)定期进行体检,早发现早干预早治疗。
如果觉得本文对你有用,
不妨给一颗小心心♥哦!

“健康顺德”微信编辑部 编辑:祺、华