2020年4月,安仁县小蜢子志愿者协会60岁的戴会长再次来到郴州市中医医院住院。他紧紧握住陀螺刀治疗室主任彭颖的手,大声地感叹:“我的命是陀螺刀救的,感谢你们的精湛医术,让我可以继续带领志愿者们为广大群众服务,感谢郴州市中医医院所有的医护人员,谢谢你们!!”

彭颖介绍,戴会长是我院的老病号,自2018年开始,戴会长就因为慢阻肺、II型呼衰、哮喘、支气管扩张、糖尿病、冠心病等疾病在我院呼吸内科间断住院治疗。2019年10月,他在住院期间检查发现左肺结节,经穿刺活检确诊肺鳞癌,后转至我院外科预备手术治疗。经我院多学科专家会诊后认为:患者Ia期肺鳞癌诊断明确,手术指征明。但患者心肺功能差,并有极重度肺通气障碍,手术风险极大。

2019年10月住院期间发现左肺占位
穿刺活检病理为鳞癌

陀螺刀治疗前病灶大小15.3X12.4mm
考虑到手术风险,戴会长放弃了手术治疗。但是不手术也不意味着放弃治疗,我院专家针对戴会长的情况,建议他可以采用我院特有郴州唯一的陀螺刀进行局部放射治疗。
一切准备就绪后,彭颖根据患者的病情精心设计了治疗方案。经过两周的治疗戴会长身体各方面功能情况良好,呼吸活动等无影响顺利完成治疗出院,分别于治疗后2个月及5个月前来复查。

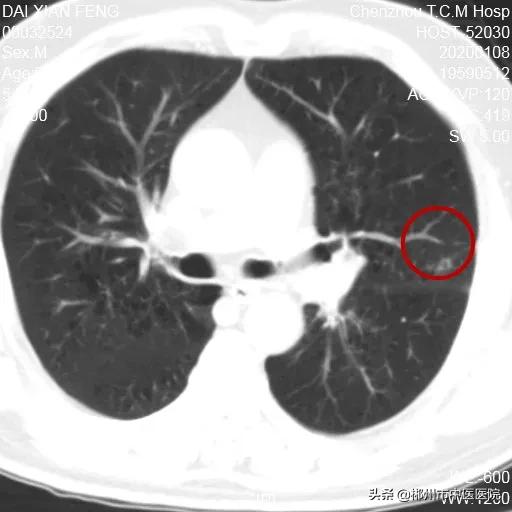
2020年1月8日治疗两个月后第一次复查
病灶基本消退呈环形改变

第一次复查残留区域7X6mm

2020年4月13日5个月后第二次复查
残留区域进一步萎缩,考虑为疤痕组织形成

第二次复查残留区域5X3.4mm
通过复查可以发现,戴会长肺部的病灶明显消退呈瘢痕组织状态改变,并且肺功能无明显改变,对生活和工作也没有影响,可以说治疗取得了非常好的效果。

陀螺刀治疗室主任彭颖为患者检查
陀螺刀是肿瘤放疗中的SBRT放射治疗,根据国外文献研究,同时针对不能耐受手术的早、中期无淋巴结转移肺癌患者,治疗指南明确推荐进行SBRT可以达到最佳治疗效果(美国国立综合癌症网络NCCN非小细胞肺癌治疗指南2020.3版)。
相关链接:晚期多发转移肝癌的奇迹
