病例007
肺动静脉畸形
患者女性,32岁
主诉:咯血5天。
入院情况
患者5天前无诱因突发咯血,色鲜红,量较少,共咯血4~5 口,每次约10ml,立即前往医院就诊。完善检查:血常规:WBC 9.45×109/L,RBC 5.31×1012/L,HGB 151g/L,PLT 179×109/L;肺部CT:右肺中上叶、双肺下叶可见片状、斑片状模糊影,双肺散在索条影,右支气管内见少许软组织影,考虑血块可能性大。
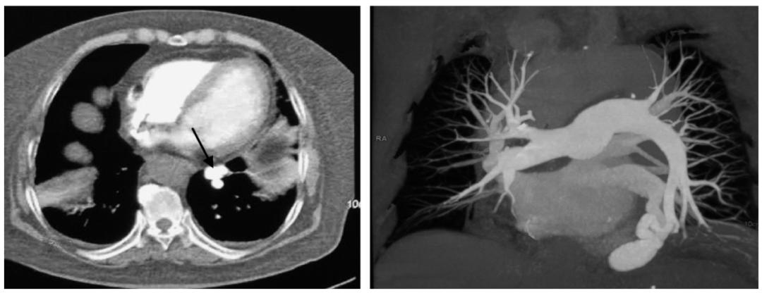
转入我院急诊继续治疗。在就诊过程中再次咯血,达10次以上,量较前增多,约10~ 50ml/次,伴有胸闷、憋气,呼吸困难进行性加重,测BP 119/73mmHg,HR 126次/分,R 49 次/分,SpO283%(未吸氧),遂收入抢救室。入抢救室后予以监护、吸氧、止血、左氧氟沙星抗感染,并立即完善胸主动脉CTA,考虑左下肺存在肺动静脉瘘(图1),胸外科会诊建议介入栓塞治疗,家属拒绝,故暂予内科保守治疗。患者入抢救室后仍有间断咯血,量少,多为痰中带血丝,指氧进行性下降,最低至86%,逐渐升高氧疗条件(由鼻导管升至储氧面罩)方可维持95%以上,再次同家属交代病情及介入治疗的必要性,家属同意介入栓塞治疗,故行胸支气管动脉造影+栓塞术,术中见肺动静脉瘘形成,予以栓塞止血,术后继续给予心电监护及抗感染等治疗。患者未再出现大咯血,监测HGB稳定在120g/L左右,指氧维持在93%~97%(鼻导管吸氧3L/min),病情稳定,遂转入急诊综合病房继续治疗。患者发病以来,饮食、睡眠可,二便正常,体重无明显变化。

图1 患者主动脉CTA结果
入院诊断
咯血
肺动静脉畸形
介入栓塞术后
Ⅰ型呼吸衰竭
肺部感染
3诊疗经过
患者入院后完善相关检查。
1. 常规检查
血常规:WBC 7.95×109/L,RBC 4.42×1012/L,HGB 123g/L,PLT 171×109/L。
肝肾功能:大致正常。
凝血功能:PT 12.2s,APTT 30.5s,Fbg 5.92g/L,D-Dimer 0.72mg/L。
血气分析:pH 7.425,PaCO240.7mmHg,PaO2104.0mmHg,Lac 1.1mmol/L。
2. 肿瘤指标:均阴性。
3. 病原学:痰细菌培养:革兰氏阴性球杆菌;尿培养:青霉菌属,其余均阴性。
治疗经过
1. 咯血方面
患者入院后仍间断咯暗黑红色痰,考虑为陈旧性积血,监测血红蛋白正常,无活动性咯血表现。
2. 肺部感染方面
监测患者体温仍有升高,留取血、痰、尿培养,见痰中革兰氏阴性球杆菌,尿中青霉菌属,继续亚胺培南抗感染治疗,体温逐渐降至正常,1周后降阶梯为厄他培南抗感染治疗,4天后停用厄他培南,两次复查肺部CT,肺部影像学表现逐渐好转,肺内积血逐渐吸收。
3. 其他
患者入院后静息状态下心率较快,为110次/分左右,指氧97%(鼻导管吸氧 2L/min),活动后心率可达150次/分,指氧可低至85%(未吸氧),考虑与患者肺部大量积血相关,加用美托洛尔控制心率,继续监测患者生命体征,随着患者呼吸状态好转逐渐降至正常,不吸氧条件下心率在80次/分左右,指氧在95%左右。
出院情况
患者神清,精神可,无咯血、咳嗽、咳痰不适主诉。查体:双肺听诊呼吸音清,右肺呼吸音稍低,未闻及明显干湿啰音。心律齐,心音正常,未闻及瓣膜杂音。腹软,无压痛、反跳痛及肌紧张。双下肢无水肿。
出院诊断
1. 咯血
2. 肺动静脉畸形
介入栓塞术后
3. Ⅰ型呼吸衰竭
4. 肺部感染
出院医嘱
1. 规律作息,营养饮食,注意卫生,避免感染。
2. 继续口服氨溴索每日3次,每次30mg,乙酰半胱氨酸每日2次,每次600mg。
3. 注意体温、咳嗽、咳痰情况,若有体温升高、咳嗽加重、咳痰血丝增多,尽快呼吸科门诊就诊。
4. 如有再发大咯血,尽快急诊就诊。
5. 呼吸科门诊随诊。
6. 如有病情变化,门诊、急诊随诊。
病例点评
患者青年女性,既往无肺部疾病史,突发咯血需要考虑以下几个方面:
1)气道疾病是引起咯血最常见的原因,常见的疾病有支气管炎、支气管扩张、肿瘤、异物、气道创伤、血管与气管支气管瘘形成等。
2)肺实质疾病,感染性疾病如肺炎、肺脓肿、肺曲霉球、肺结核,炎症性或免疫性疾病如肺出血肾炎综合征、血管炎,凝血相关疾病如血小板减少性疾病或使用抗凝剂等。
3)肺血管性疾病,如肺栓塞、肺动静脉畸形、二尖瓣狭窄或左心衰导致肺毛细血管压升高。
4)医源性损伤等。
我国最常见的咯血原因是肺结核、肺癌和支气管扩张。肺动静脉畸形为相对少见的原因,部分患者能发现其皮肤及黏膜有毛细血管扩张的表现,多数肺动静脉畸形患者能在胸片或 CT上有所发现。此患者起病凶险,咯血量大,伴明显低氧,经药物保守治疗无效,介入治疗时发现存在肺动静脉畸形,最后成功进行栓塞止血。
大咯血病人病情危重,随时有窒息可能,病情加重时需要密切监护观察、吸氧,必要时紧急插管保护气道,且病人常常反复发作,需及时与病人及家属交代病情,密切观察。
本文摘自《协和急诊疑难病例解析》(刘业成 朱华栋主编,科学出版社)

科学出版社赛医学(sci_med)
科学出版社医药卫生分社订阅号