拳论曰“练其拳,必先明其理”。
咏春拳练习过程中,对“马”的掌握至关重要,咏春拳的”马“有“钳羊马“和”二字钳 羊马”。我们所说的“马”是“扎马”、”坐马”,可是许多习练者不知其然,亦不知其所以然,依样画葫芦而成”跪马“,一字之差其义相差千里,而且不正确的练习方法不仅不能练成拳术,反而有害身体健康。

咏春拳钳羊马
何谓”跪马“?
跪马,就是在行拳过程中膝关节超过脚尖,身体重心往脚尖方向移。当膝关节超过脚尖越多,跪马越多,根据膝关节的生理结构可知,股四头肌、膑韧带和前后交叉韧带等受力加大,它们的拉伸会因此加长,对膝关节将产生损害:
1. 髌骨软骨软化病
髌骨软骨软化病的主要病理变化是软骨的退行性变,主要是由运动不当软骨细微磨损长期积累所致。跪马所导致膝关节损伤中最常见的一种,其原因有很多。首先,拳术练习过程中如果膝关节始终保持在屈曲状态,此时膝关节韧带松弛,稳定性下降。而膝关节的稳定性主要靠髌骨和股四头肌来维持,膝关节屈曲时身体上部重心偏离胫股关节的瞬时中心,股四头肌需要产生更大的张力来对抗身体的倾覆,因而髌骨自身张力及髌股关节面间的压力增大,这种情况下如出现动作错误,将很容易导致髌骨软骨的磨损。其次,髌骨的关节面高低不平,由于膝关节在伸屈过程中还有轻度的旋转(屈膝时内旋,伸膝时外旋), 与此相应,髌骨在股骨滑车上的滑行轨迹也呈外上至内下的“S”形,以使髌骨与髌腱的轴线在一条直线上。正常情况下,髌骨的这种形态和运动特点与膝关节的屈伸功能是很协调的,但拳术初学者 ,由于股四头肌力量不强,对髌骨的控制能力较弱,加上动作僵硬不协调,破坏了膝关节各方的均衡拉力,使髌骨不能按正常轨迹活动,从而导致髌骨和股骨关节面相互异常错动和撞击,形成磨损。

膝关节正面观
2.半月板损伤
当膝关节伸屈时,半月板的上面沿股骨髁的半月板区滑动;屈曲时半月板向后,伸直时半月板向前方滑动。旋转时则不同,其活动面在半月板的下面与胫骨平台之间,半月板随股骨髁的旋转而移动(如股骨内旋,则内侧半月板后移,外侧半月板前移).因此,如果膝关节在屈伸的同时又突然旋转,在半月板的前后角之间就存在矛盾着的方向不同的力量,甚至可将半月板撕裂.这也是膝关节半月板损伤的典型机制。另外,跪马越多,半月板受力时扇形角增大。半月板的受力就越不均匀;膝盖前面半月板的受力减小,厚度增加;而膝盖后面半月板的受力则大幅度增加,厚度明显减薄,因此,半月板的变形会大大增加,从面造成膝关节损伤。
3. 脂肪垫损伤
当股四头肌的力量不足等原因使支撑腿的摇晃,甚至跌倒,其间如脂肪垫嵌入胫股关节,就出现急性脂肪垫损伤.另一方面,膝关节过度疲劳髌骨劳损半月板损伤等均能使正常的运动平衡失调,改变膝关节的屈伸动作,往往能诱发慢性脂肪垫损伤。

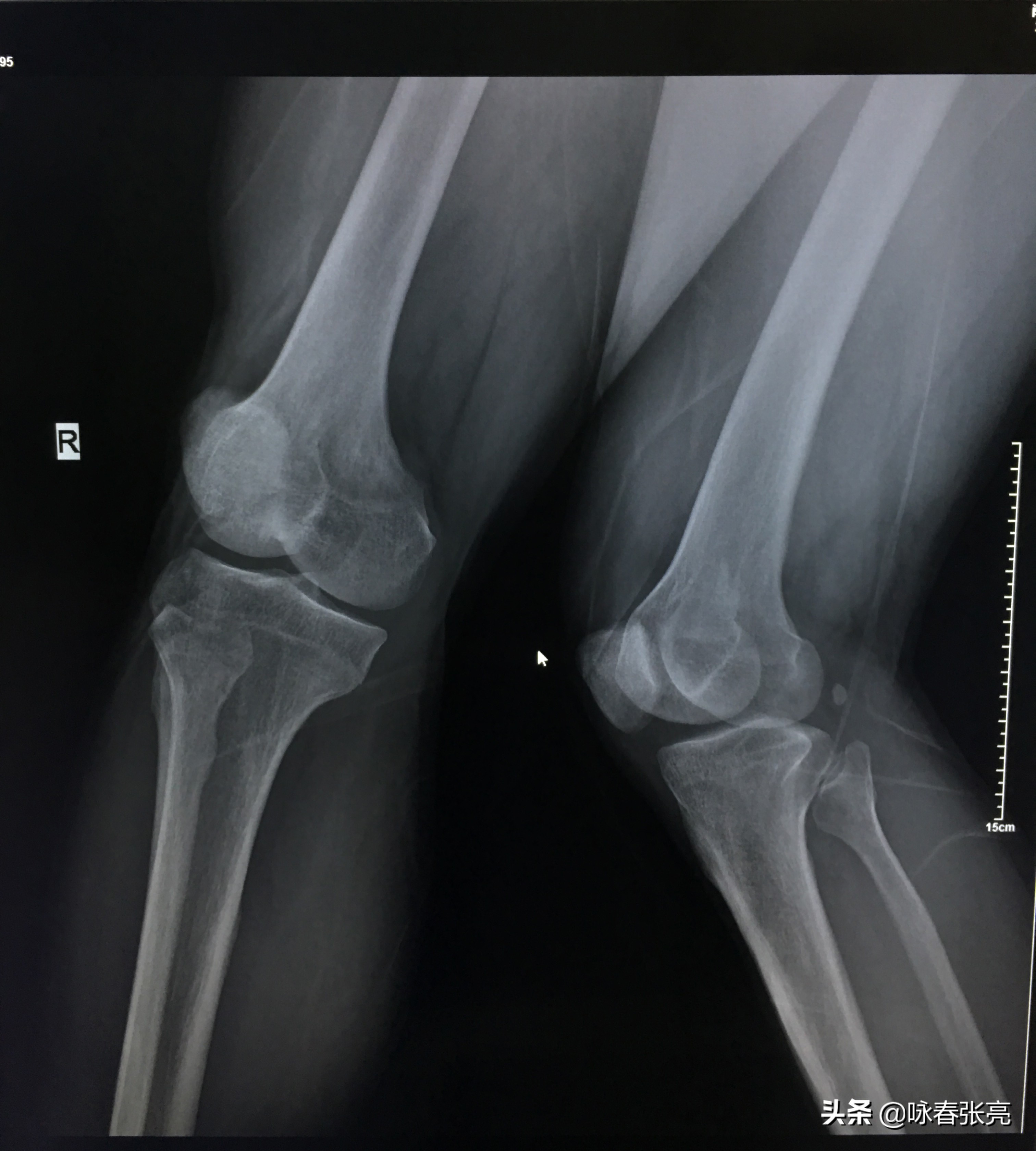
咏春拳钳羊马 DR
拳架有高、中、低之分。咏春拳是以高姿马步站立,这种马步是咏春拳所特有的,咏春拳的”马“有“钳羊马“和”二字钳 羊马”。依据《人体解剖学》理论,膝关节能绕冠状轴和垂直轴做屈伸、旋转和回旋运动.绕冠状轴屈伸是膝关节最主要的功能,正常的范围是 - 10〬~135〬。当膝关节屈曲时,半月板受力时扇形角增大,半月板的受力就越不均匀;膝盖前面半月板的受力减小,厚度增加;而膝盖后面半月板的受力则大幅度增加,厚度明显减薄,因此,半月板的变形会大大增加,从而造成膝关节损伤。而咏春拳扎马或坐马,膝不过足尖,这样,使膝关节绕冠状轴屈伸不超过135〬。客观上保护了膝关节免于受损。

咏春拳二字钳羊马 DR
这,再一次印证了咏春拳是最符合人体生理和运动力学的一门拳术。