老王和老杨已经是老相识了,由于总出现在老杨的身边,甚至感觉自己也快呈半个医生了,今天快下班时老王拿了几张踝关节X线片及相应的踝关节CT片子来找老杨,老杨看到老王手里的片子,便顺手打开了墙上的阅片灯箱。

“怎么了老王,谁的片子?”老杨接过了老王手里的片子,插到灯箱上。
“嗨,我自家弟弟的,昨天下班回家的路上,被外卖小哥不小心剐蹭了脚踝,留了点血,我不放心,就赶紧让他做个X线和CT检查,你帮我看看骨折了没?”
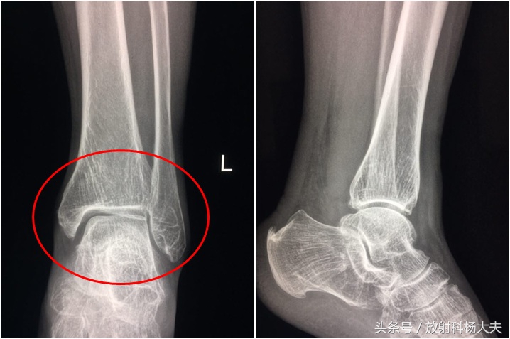
老杨看了看,X线和CT都没有明显骨折征象,又问老王:
“哪疼啊?能走路吗?肿吗?”
“倒是没什么感觉,”说着老王指了指外踝,“破皮的地方贴了个创可贴就不太疼了,不影响走路,也看不出来肿。”老王道。“我担心万一骨折了,好赶紧打石膏制动”
“没事,好着呢,放心吧。”老王的表述让老杨更坚定了未见骨折征象的结论。“看你紧张的,我以为出啥大事了。”

没有骨折,只有轻度的退行性骨关节病
老王这么紧张,是有原因的。
原来老王有一个朋友,是一位工地工作的工人,一位五十余岁的中年男性,工作过程中不小心砸伤了左踝,自己认为体力劳动中磕磕碰碰在所难免,自觉无大碍便没有前来就医,心里想着伤筋动骨一百天,忍忍疼,平时自己再注意些就好了。这一搁置就是两年,两年间自己的左踝关节,反复的疼痛,每次肿痛就自己用点药,过阵子好了继续干活,逐渐的,左踝越来越“胖”,甚至穿高腰的鞋子都难受。看着自己“变胖了”的踝关节再也回不去了,并时常疼痛且酸软无力,在家人的催促下,去拍了片子, “创伤性骨关节病”。所谓骨关节病,其实就是骨关节的一种退变。膝关节更常见,从关节软骨损伤开始,逐渐出现关节间隙变窄,骨刺等,严重的疼痛严重,生活不能自理,需要做膝关节置换手术。但如果是创伤后发生的,病变会更严重,关节增生、骨质碎裂,比普通的退变严重的多。老王的朋友因为两年前开始的损伤,没能及时就诊,现在不用说工地干活赚钱,甚至已经严重影响生活,追悔莫及也没有用。或许两年前的某个瞬间,他也想去医院拍个片子,但毕竟错过了。

创伤性骨关节病,踝关节明显变胖
老王一*体下**会到当受伤后怀疑骨折时及时就诊的重要性,这才有了老王刚刚紧张的一幕。好在,这次老王的弟弟没有骨折,及时有了也能及时救治,不会出现老王朋友的情况。
(文 包岩)
(【放射科杨大夫】系头条号签约作者,本文为原创文章,首发于*今条头日**号。更多好玩好看的放射科资讯请订阅放射科杨大夫微信公众号:yxyx211)