“你这个检查做的时候没忍住气,部分看不清!”
“你小便没憋够,显示不清楚的”
“吃了早餐了,你确定还要做这个检查吗?”
“刚刚没有抓到心电波动的时刻,没看到什么特别异常,但不代表你没事。”
相信很多人去医院检查体检都有过这样的经历:
做完检查后,医生看到报告,然后告诉你:检查结果出来了,因为你配合的不是很好,部分检查显示不是很清楚,还不能完全确诊,建议复查。
为什么会这样?
大家应该明白的是,检查的目的不是为了检查而检查,而是为了通过检查的手段,显示出身体的信息提供给你的医生,让你的就诊医生能更好的判断病情。
我们不妨通过下面几个例子,来明白其中的关系:
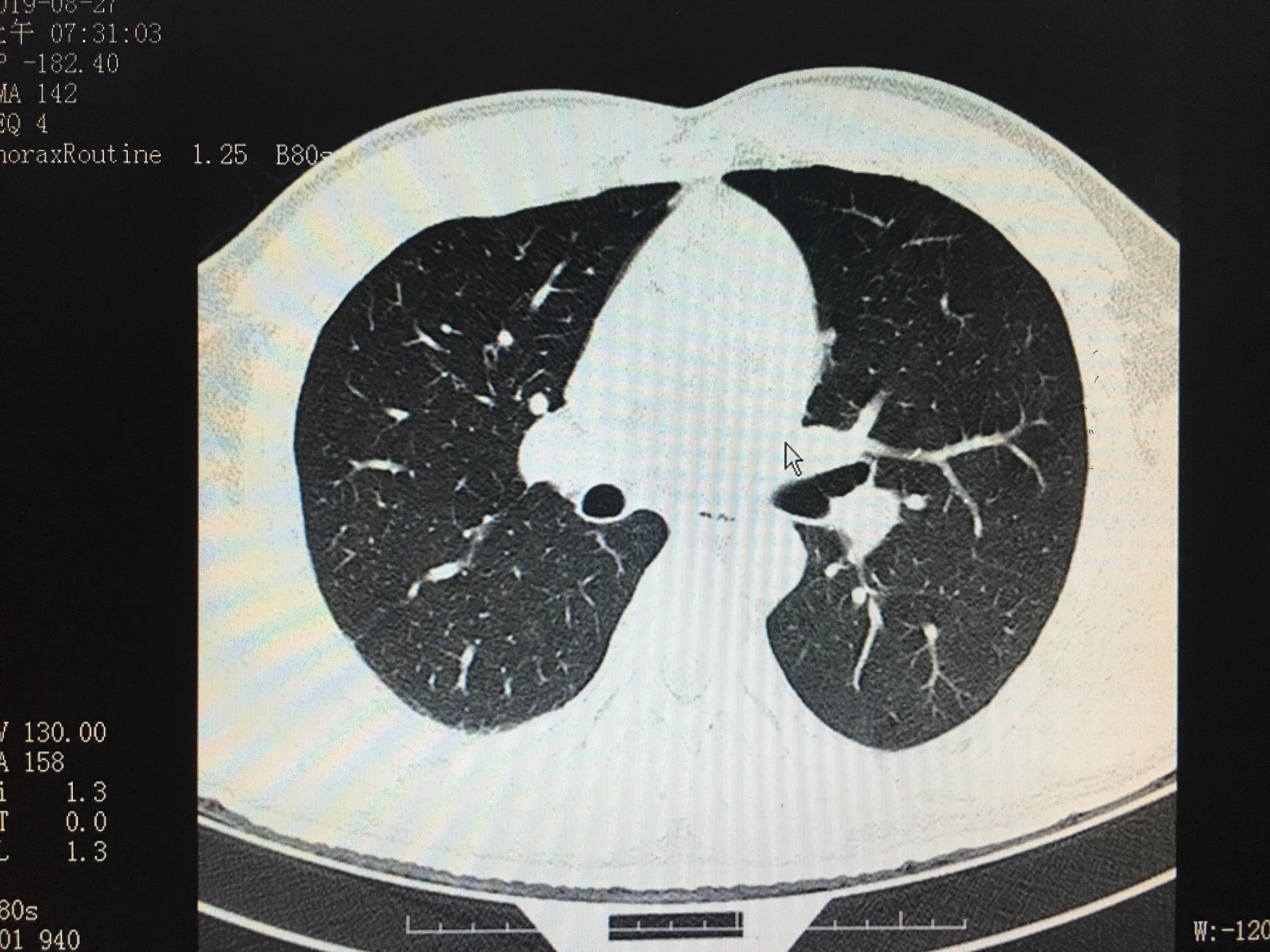
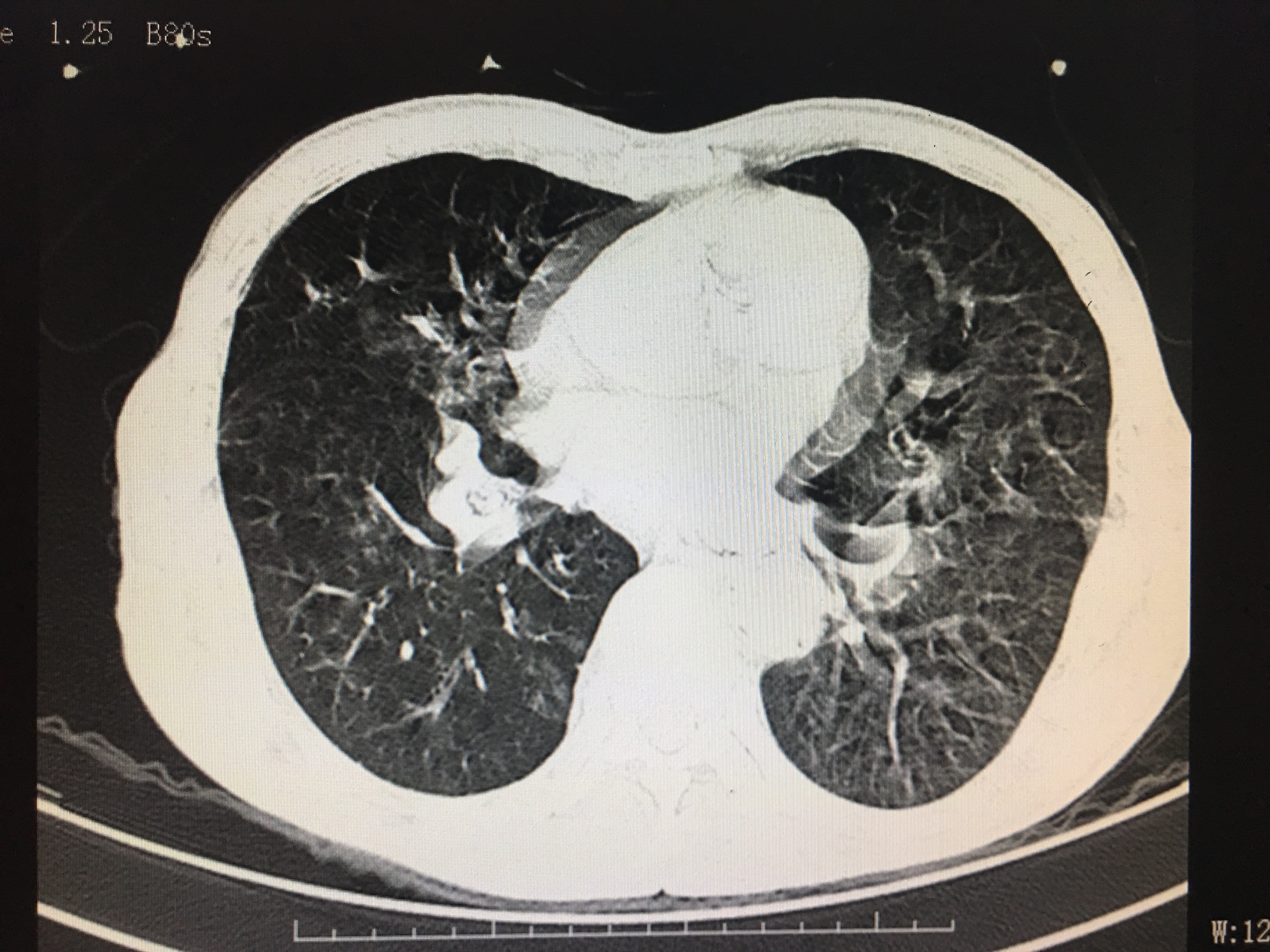
胸部CT是要求屏气做的
大家可以看一下下面两张图:

正常的胸部CT成像

屏气没做好的图像
相信这两个图像的区别很多人都能明显的看出来,第一张图明显比第二张清晰:图2显示模糊,伪影较多,就好像手机拍照时手抖了一样,而图一清晰更容易看出是否有病变存在。如图中,图一可明显看清双肺存在散在的结节灶,而第二张图因为没屏住气,形成的伪影比较多,就算有结节灶也未必能看出来。而肺部的结节灶大部分为良性的,一般建议定期复查,部分恶性病灶进展时通过复查对比可发现。
为什么会这样?
因为采集CT图像时,是射线一瞬间穿透人体投影成像的,人的胸廓因为呼吸活动起伏,很容易影响到成像时的信息采集。所以。做过胸部CT的人不知道有没有留意到:当影像医生将要采集CT图像时,会语音提示:“吸口气-屏住呼吸-可以呼气了”。所以这一小小提示,如果做好了,能更好的让专科医生能更清晰的看到你的检查结果,有助于判断的病情,使你的检查更加有价值哦。
胃镜检查需要空腹6小时
做过胃镜的朋友对这个检查都有“心理阴影”了:第一:难受,因为除了无痛胃镜(全身麻醉),其他的不管是细管还是普通管的都是局部麻醉,经口通过食道到胃部的。第二就是饿!从确认做胃镜检查到完成检查,之间一般需要空腹6小时,预约做胃镜的病人一般是晚上开始禁食,到第二天早上夜晚不能吃早餐,很多人都表示饥饿难耐。同样也有一小部分人实在忍受不住了,就喝杯水或者吃点巧克力等,最后肯定是被医生大骂一顿的,为什么?因为你这样子做,医生在镜头下很难看清楚你的胃的“真面目”啊!
不信?先看看正常的镜下“高清图”:

准备的较好的胃镜下图像
经过一整晚的禁食,胃部的食物已经排空。在第二天早上,因为还没进食,胃中也不会分泌过多的胃酸,所以可以看到比较清晰的“景象”。
喝杯水都不行?真的不行,不信你看:

喝水后的胃部的变化
喝水之后,胃部的变化并不像洗东西一样,获得“焕然一新”的感觉,而是刺激胃部的腺体分泌胃液等,形成的泡沫往往会遮挡局部,而影响观察的目的。
如果真的口渴,喝少许水可以,当润润喉就行了。
那偷吃的人做胃镜的话,会使怎么个场景?

偷吃巧克力病人的胃镜视野
如果不是十分熟练经验丰富的医生,看到这样的景象,第一反应就是“上消化道出血?”。然而,图中却是一个偷吃巧克力患者的图像。请问,这样的景象,你想要的医生看出什么端倪?
吃进去的食物,经过口腔咀嚼以及胃部蠕动消化,会覆盖在胃粘膜的表面,当胃镜伸进去的时候,看到的就是“狼藉”战场。所以,胃镜之前严格禁食是很重要的。
但是,像怀疑急性上消化道出血等需要马上做胃镜检查的就另当别论了。
做肠镜,肠道准备一定要做足
胃镜检查是“不给进”,而肠镜不但“不让进”还需要“拼命出”。
肠镜检查的前一天,医生一般会开一大瓶“泻药”,让你不断拉肚子“拉到干净”为止。怎样才算干净?需要禁食,而且不断的喝下“泻药”,直到拉出来的是清稀的水样便为佳,这样肠道“清洁干净”后,通过肠镜检查就能很清晰的看到其中的情况了。

肠道准备的好的镜下

肠道准备欠佳的镜下
通过两张图片的对比,可以明显看出,肠道准备做的好镜下可以清晰看到肠壁的情况,而肠道准备欠佳的则由于食物残渣、粪便等覆盖影响而部分肠壁显示不清,甚至因为肠道准备不充分的缘故,掩盖了病变的部位,而造成漏诊等。
膀胱B超:让你憋尿就努力憋住吧
下腹痛、小便痛或者尿频尿急等情况的时候,医生一般会建议做一个泌尿系彩超检查,其中就包括了膀胱B超检查,这是后就有一件必须完成的事:憋足够的尿。

憋尿较好,膀胱充盈

憋尿欠佳,膀胱欠充盈
膀胱就像一个皮球,当你往里面打足气时,皮球便充分撑开;而当打的气不够时,皮球就瘪着。所以,当你憋尿充足时,膀胱充盈起来,把每个角落都撑开,检查时便一览无遗;当憋尿不够,充盈欠佳时,局部可能皱褶起来,隐藏病灶。所以,下次医生让你憋尿的时候,就努力的憋吧。
检查不是目的,检查只是一个过程,一个医患双方配合的过程。
检查是帮助医生了解病情的一个重要手段,一个检查做的好不好,能不能准确的把病灶展现出来,其中很大一部分也需要病人的配合。认真听从医生的提示,做好每一个准备,便能做好每个检查。
这不仅是对医务人员负责,更是对自己的健康负责。
@清风计划 @头条养生 #清风计划# #健康真探社#