
阴超,也就是阴道B超,又称腔内B超,是将B超探头放入阴道或者直肠进行超声诊断的方法,特别适合于观察小骨盆内的盆腔脏器、排卵监测、宫外孕的确诊、子宫占位性疾病以及多囊卵巢综合症和巧克力囊肿的诊断。在超声机上再增加一个探头,套上薄膜,由医生或患者自己将探头伸入阴道进行检查,重点检查宫颈和子宫内膜。

阴式超声探头位置示意图
阴道超声检查最大的优点是不需要憋尿,且由于接近子宫和卵巢,图像清晰分辨率高,检查结果较腹部超声准确。
阴超检查适应症:
1、正常月经周期子宫内膜声像图表现及正常卵巢内成熟与未成熟卵泡(所谓“测排卵”)。
2、子宫良性肿瘤:(1)子宫腺肌病;(2)子宫肌瘤。
3、子宫恶性肿瘤:(1)子宫内膜癌 ;(2)子宫颈癌。
4、卵巢非赘生性囊肿:(1)多囊肿卵巢综合症; ( 2)巧克力囊肿。
5、卵巢肿瘤。
6、尽早明确诊断早期妊娠。
7、异常早期妊娠特别是异位妊娠(即“宫外孕”),由于宫外孕是临床急症,抢救不及时亦致死亡。
阴超检查缺点
不适合阴道有出血者,如月经期、阴道不规则出血。也不适合有传染病者,如阴道炎、性病。对其他一些宫颈、阴道、外阴疾病者也要谨慎选用,以防止感染、引起出血。


图像方位的确认

双侧卵巢的显示,与腹式超声比较,内部结构明显清晰。图片上可见数个未成熟卵泡。
如何找到卵巢
一般卵巢位于子宫角的两侧
沿着子宫外部推进探头是寻找的关键
实在难找时,你可以经腹部大致了解卵巢位置,再去经过阴道寻找。
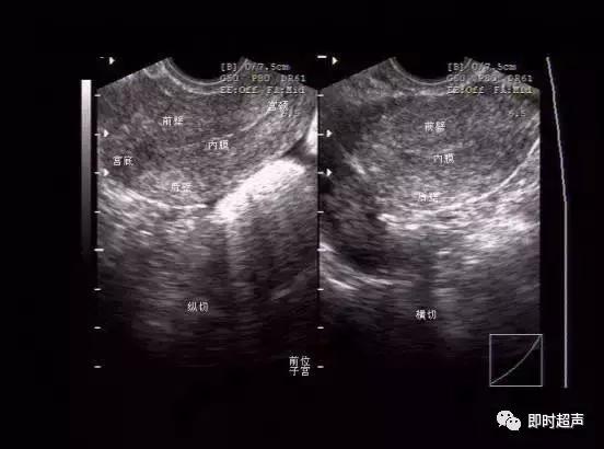
阴道超声的检查方法
超声检查无损伤且重复性好,能完整的显示盆腔脏器,因此其检查在妇产科及计划生育诊断中已占有很重要的位置。经阴道超声检查是在腹部超声基础上发展起来的因采用特殊的探头,经阴道贴近盆腔其分辨力更清晰,而且病人不需要充盈膀胱,简便,易行。能够清晰的显示盆腔脏器的细微结构,特别是对盆腔脏器的疾病的早期发现,诊断以及治疗均优于腹部超声。因此它在临床的应用使妇科疾病诊断上了一个重要的发展。

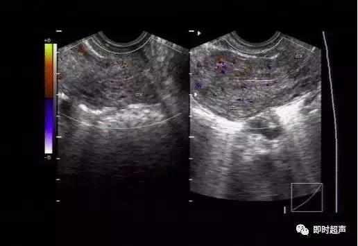
正常子宫及宫颈血流图
优点
分辨率高,图像清晰,病人不需要充盈膀胱,对肥胖病人及肠气较多的病人更为合适
缺点
对于较大肿块难以显示,对外生殖器畸形,炎症及未婚妇女不宜适用
子宫肌瘤
子宫肌瘤多生长在子宫体部,最常见者为壁间肌瘤,其次为浆膜下肌瘤和粘膜下肌瘤。子宫颈部也可有肌瘤生长。
【临床表现】
月经改变,肌瘤较大可扪及腹部包块,粘膜下肌瘤可能引起不孕。
【超声表现】
(1) 子宫大小的改变。
(2) 肌瘤的形态及大小。肌瘤的回声
(3) 肌瘤在子宫的位置及内内膜线的改变
(4) 肌瘤的变性:玻璃样变,红色样变,钙化
(5) 鉴别诊断
子宫腺肌症
好发部位:以子宫后壁多见,其次为宫底部
【临床表现】
1.痛经,月经量增多
TVCD超声声像图
1.子宫增大,体积增大,轮廓不规则,后壁增厚,内膜线前移
2.异位的肌层回声增强或呈网状回声内膜线前移,内膜线居中,或稍偏前;
3.宫体回声分布不均;
4.若为腺肌瘤,则形成局部团块,边界欠清晰。
腺肌瘤
(1)瘤体单发呈球形,多发时可融合成分叶状或不规则形。
(2)瘤体表面光滑或不光滑,包膜清晰或缺乏。
(3)肌瘤本身可呈实质性均匀回声、低回声或强回声区,内部可有细小、散在暗淡光点或小暗区。
子宫内膜息肉
分真性和假性息肉两种。
产生原因主要是内膜局限性增生和炎症。
【临床表现】
月经改变:量多,经期延长。阴道分泌物增加:
TVUS表现:回声增强区
功能性和非功能性――随月经脱落否
因炎症等因素的作用而形成,由内腺体及间质组成的肿块,常向宫腔内突起。
【临床表现】
由于内膜面积增加
月经改变:量多,经期延长。
阴道分泌物增加:

炎性积液和血性积液比较。另一声像图可见清晰宫颈管及宫颈内外口。
炎性液体内可见肠管飘动。血性液体内见较密集点状稍强回声。
子宫内膜增生症
【临床表现】
月经的改变
经阴道超声声像图特征:内膜的改变
子宫发育异常
女性内生殖器发育异常:胚胎期苗勒管移行、合并过程中的发育障碍可导致各种类型的子宫发育畸形,其中包括双子宫、重复子宫、纵隔子宫、双角子宫、单角子宫和幼稚型子宫等。
处女膜闭锁
【临床表现】
主要临床表现有不孕、月经异常、病理性妊娠。
卵巢疾病
功能性囊肿:滤泡囊肿、黄体囊肿、卵泡膜-黄素囊肿等。
【临床表现】
一般卵巢囊肿无临床症状。黄体囊肿,
持续分泌孕激素导致月经的改变。一旦破裂,临床表现酷似宫外孕。黄素化囊肿发生于滋养叶细胞疾病。
声像图特征:囊肿大小,回声特征
卵巢上皮性肿瘤:浆液性或粘液性囊腺瘤,癌
【临床表现】
下腹不适或下坠感,腹水, 腹部肿块,恶性者可出现腹水及腹痛。
声像图特征:良性多内壁光滑,分隔较薄,无突起区域;恶性回声紊乱伴腹水。
【超声表现】
1.浆液性囊腺瘤:
①肿瘤一般5~10cm大小,呈圆形或椭圆形透 声暗区,后壁回声增强。
②囊壁纤薄、光滑,边界清楚。
③可单房亦可多房,多房性的可见囊内间隔。
④囊壁上如有实性团块向囊腔内突起,应考虑为 浆液性乳头状囊腺瘤。
大多数位于宫颈和陶氏腔,壁厚,内充满点状及片状回声
囊腺瘤
【病因病理】
卵巢浆液性或粘液性囊腺瘤是卵巢上皮性肿瘤中最常见的一种,为良性肿瘤。浆液性或粘液性囊腺癌为同一来源的恶性肿瘤,较良性肿瘤发生率低,其中粘液性囊腺癌少于浆液性囊腺癌。良性多发生30~40岁,恶性多发生于40岁以上。病因不明。
【临床表现】
临床主要表现下腹不适或下坠感,腹水, 腹部肿块,恶性者可出现腹水及腹痛。
1.多见长期无排卵不孕者,少量持续雌激素刺激使内膜增生;
2.内膜增厚,回声增强,厚度>18.8mm;
3.双侧卵巢无正常卵泡生长发育排卵,或呈小卵泡、囊肿及多囊卵巢。