
医脉通编译整理,未经授权不得转载。
案例分析
患者,35岁,阿富汗男性,因左膝疼痛和肿胀3月而就诊于风湿病诊所。患者诉活动时,疼痛增加,伴晨僵,约30分钟。患者无发热、畏寒、体重减轻或厌食症的病史,但他曾出现盗汗。病情逐渐加重,患者膝盖无法弯曲。
体格检查显示:左膝屈曲挛缩40°,肿胀(3+)。左膝关节皮温升高,触摸敏感,但无红肿。
实验室检查结果显示:白细胞计数,7400 / mm 3;血小板计数,196000 / mm 3;血红蛋白水平,14.1 g / dL;红细胞沉降率(ESR),28mm/h;C反应蛋白(CRP)水平,71 mg / L;碱性磷酸酶(ALP),237 U / L;钙水平,9.7mg/ dL;和钾水平,4.5 mmol / L. 类风湿因子,Wright,Coombs Wright和2ME试验均为阴性。左膝穿刺液体是半透明的,粘度正常。滑膜液中含有10000个白细胞/ mm 3,49%的多形核白细胞(PMN)和51%的单核细胞。
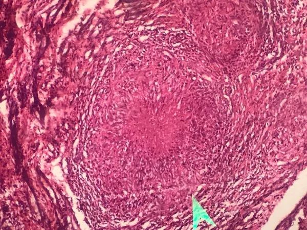
行关节镜滑膜活检和全膝关节滑膜切除术。滑膜组织和液体培养阳性,直接涂片镜检结核病阴性。组织病理学检查显示由淋巴细胞、组织细胞和多核巨细胞组成的多发性肉芽肿。在肉芽肿中观察到坏死灶(图1)。左膝的磁共振成像(MRI)表现出明显的关节积液,内部强化,髌骨外侧的软骨软化和腓肠肌源性水肿(图2)。

图1 滑膜组织病理切片显示多发肉芽肿和坏死灶。

图2 膝关节磁共振成像(MRI)显示关节积液。
讨论
虽然25%的肺结核病例可发生肺外受累,但骨中的原发性结核感染并不常见。然而,本案例在诊断时没有发现结核病或肺部受累的全身症状。根据以往的研究,仅有约一半的结核性关节炎病例报告肺结核。尽管肺外结核的发病率在世界范围内不断增加,但结核感染也很少影响膝关节。该患者来自阿富汗,据报每年有61000人感染结核分枝杆菌,并有12000人死亡。阿富汗结核分枝杆菌感染的发病率为每10万人189例。2017年,世界卫生组织(WHO)报告说,由于医疗保健系统不健全,阿富汗的结核病正在增加。
结核性关节炎的诊断是困难的,因为症状通常是非特异性的,例如肿胀、疼痛、温暖、发红和关节运动受限。诊断通常基于以下表现和实验室检查结果:关节疼痛肿胀、炎症标志物(ESR和CRP)急性期增加、滑膜液或活检阳性结核分枝杆菌培养。放射学的Phemister三联征包括关节周围骨质减少、软骨下侵蚀和关节间隙狭窄,这些并不是特异性的,但可能特别提示结核性关节炎。
在本案例中,ESR和CRP被提高,结核分枝杆菌滑膜组织和液体培养呈阳性。阳性培养是确认结核感染的金标准,但阴性培养在很多病例中很常见。Kerri和Martini先前报道了98例膝关节结核患者,其中16例经阳性培养和组织学证实,12例结核分枝杆菌培养,60例仅通过组织学证实。Rasool等人仅通过组织病理学检查报告了13例骨结核的确诊。Al-Saleh等人回顾了27例结核性关节炎。69.6%的患者关节液结核培养阴性。MRI技术对滑膜炎的可视化非常敏感,但由于其特异性不强,必须用实验室结果来解释。在这项研究中,MRI显示明显的关节积液,内部强化和腓肠肌源性水肿,但这些发现不能将关节结核与另一种感染性关节炎或炎症分开。滑膜组织病理检查观察到多发坏死肉芽肿,提出了结核感染的可能性。
最后,该病例表明,临床医生应特别注意肺结核作为慢性单关节炎病因的可能性,即使没有肺受累的记录。
医脉通编译整理自:Zamani B, Shayestehpour M. A Case of Knee Monoarthritis Caused by Mycobacterium Tuberculosis[J]. The American journal of case reports, 2019, 20: 522.