胎儿透明隔腔未显示会误诊吗 (透明隔腔小对胎儿有什么影响)

来源:现代影像医学网

作者:九目段

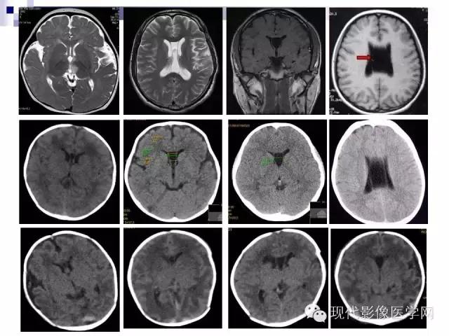
成年人透明隔腔增宽能活多久,透明隔缺如临床意义

成年人透明隔腔增宽能活多久,透明隔缺如临床意义

成年人透明隔腔增宽能活多久,透明隔缺如临床意义

成年人透明隔腔增宽能活多久,透明隔缺如临床意义

成年人透明隔腔增宽能活多久,透明隔缺如临床意义

成年人透明隔腔增宽能活多久,透明隔缺如临床意义

成年人透明隔腔增宽能活多久,透明隔缺如临床意义

成年人透明隔腔增宽能活多久,透明隔缺如临床意义

成年人透明隔腔增宽能活多久,透明隔缺如临床意义

成年人透明隔腔增宽能活多久,透明隔缺如临床意义

成年人透明隔腔增宽能活多久,透明隔缺如临床意义

成年人透明隔腔增宽能活多久,透明隔缺如临床意义

成年人透明隔腔增宽能活多久,透明隔缺如临床意义

成年人透明隔腔增宽能活多久,透明隔缺如临床意义

成年人透明隔腔增宽能活多久,透明隔缺如临床意义

成年人透明隔腔增宽能活多久,透明隔缺如临床意义

【版权声明】本平台属公益学习平台,转载系出于传递更多学习信息之目的,且已标明作者和出处,如不希望被传播的老师可与我们联系删除