牙齿作为人体的一部分,坚硬的程度是还要高于骨骼的,但是却抵挡不住细菌的侵蚀或者是重大的外力冲击,这样就很容易导致牙齿只剩下残根部分。
但是就算牙体出现了部分缺失,只留下了残根在牙窝处,这些残根还是需要患者留在牙窝里并及时到医院进行相应的修复和治疗。

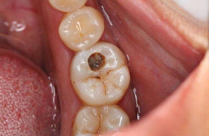
由于口腔内部的环境较为复杂,所以口腔内环境菌群较多,牙齿也很容易受到细菌的侵蚀,龋齿问题就会常出现,如果没有加以重视,逐渐发展成深龋,牙齿可能就只留下底部的部分牙根了。
还有就是如果患者发生意外磕碰或者是外力撞击,也可能使牙齿只留下残根。这时失去的牙釉质和外部牙体的保护,髓腔和根管是暴露在空气中的,更容易感染病菌和疾病。

部分患者认为反正剩下的牙根没有什么用,还有一定程度的病损,要不直接拔掉吧。
其实这种想法还是不可取的,很大一部分残根还是可以经过修复的,也有较大的用处。也有一部分的患者身体状况是不适合进行拔牙的。要根据具体的情况来决定。

残根作为人体自身牙齿的一部分,在后续修复治疗中还是能起到很大的作用:
1,残根可以减缓/防止出现牙槽骨吸收的状况。
因为牙体发生缺失后就无法进行之前正常的咀嚼了,这样原本周围的牙槽骨就会因为缺少刺激而逐渐萎缩,而残留在牙窝位置的残根可以有效抵挡这一状况的发生。
2,留下牙齿的"取悦功能"
口腔内的残根是因为牙体的硬组织受到了创伤而缺失,但是如果没有细菌侵入髓腔和根管的话,牙周组织还是状态良好的,那么患者一般的咀嚼要求是可以被满足的,这样大脑皮层也会享受咀嚼的"快感",这也为什么说自己的牙齿更香,这种体会是只有人体自身的牙体组织才能够提供的。

3,作为后期牙齿修复的基础。
如果患者后期决定要进行修复了,残根就是很好的天然修复基台。可以直接利用口腔内部剩余的牙根来做桩冠修复,能让患者更好的适应义齿,也避免植入整颗活动假牙所带来的粘膜刺激、不适感和松动感。

已经无法修复的牙齿残根
如果出现了深龋或者是意外事件导致的牙体缺损,不要认为留下残根不管不顾也不会有什么影响,这种认知的大错特错的。如果患者出现了残根,却没有及时就医进行修复或相应处理的话,可能会留下大问题。
首先,残根是将髓腔暴露在空气中的,那么口腔内环境中复杂的菌群就很容易侵入到髓腔内部,导致牙髓炎、牙周炎等令患者出现牙齿疼痛的疾病,造成更深程度的不适。
其次,如果只留下残根的话,因其凹凸不平的表面可能会更容易残留食物残渣,如果患者没有及时进行清理的话,可能会将本来没有龋坏的牙齿变成龋齿,也有可能引发更严重的口腔问题。
所以,如果出现了牙齿残根,患者需要及时就医,用合适的方式来进行修复。
一般修复残根采取的是根管治疗之后进行桩冠修复的方法。

残根的髓腔因其暴露在外,所以需要先进行根管治疗清理掉髓腔内及根管内部的细菌,等残根变得"干净"之后,可以将残根作为基台,加以根桩,再加上义齿牙冠进行修复。这样牙齿功能会得到很好的恢复,自然牙做根基的义齿也会较为牢固、舒适。

如果患者担心日后自然牙会感染炎症,可以做一个可摘取的义齿牙冠,这样的话如果有其他牙齿疾病,也可以方便治疗。
看完这篇文章您意识到牙根的重要性了吗?如果有严重龋齿的牙齿不要轻易拔掉残根,好好处理能省下做种植牙的一笔大费用。
最重要的是做好日常护理工作,早晚刷牙,饭后及时漱口,不要摄入过多的糖和碳酸饮料,有任何不适感及时就医。尽量避免出现磕碰等。如果患者能够防患于未然,就会避免很多口腔问题的发生。

我是牙科医生黄征难,35年从业经历,如果你有任何口腔问题,欢迎关注后在主页私信咨询,或评论留言!可以私信牙片,我来帮你免费问诊!