张珊(化名)女,30岁,停经16周+3天,产科医嘱备注首次妊娠监督,要查NT,但由于已经超过13+6(NT一般在11周-13周+6天内测量),并且顶臀长约9.8cm,最后告知张珊此时已经不能再测量NT了。

张珊也表示理解,但这让我很疑惑,30岁的正常女性了,怎么可能会等到16周才来做第一次产检,才准备建卡。
于是我谨慎的问了句“怎么现在才来啊?”
此时张珊才道明来由,是当地医院医生说孕周差不多了,要建卡了,于是准备来我院检查。刚测量完双顶径,此时张珊终于说出了她的真正目的“我安的有环,能看见还在里面吗?”
虽然脑瓜子嗡嗡的,但我此时也有些庆幸,不然估计得漏诊。
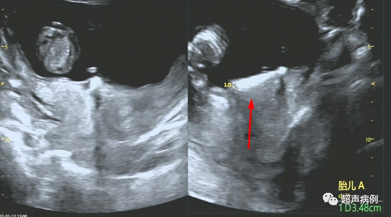
此时我的设备远场增益很强,调整增益后,终于在孕妇子宫前壁下段与胎膜之间发现了节育器。

对于带器妊娠其实并不罕见,但这么大孕周的,我确实没见过几例,毕竟带器妊娠有子宫穿孔等风险,对于带器妊娠的处理办法,人卫第九版《妇产科学》介绍到:一经确诊,行人工流产同时取出宫内节育器。
当然也有珍贵儿临床建议可以带器妊娠,但风险和孩儿谁先来,这都不好说。
这事其实还没有完,当我正在出报告时,张珊再次让我震惊,其实在停经50天左右张珊就已经在当地医院确诊妊娠了,并也明确提示内节育器的问题。但张珊依然坚持继续妊娠,并到我院建卡。
母爱真是伟大,但我们也希望每一个妈妈能理性妊娠、健康妊娠,毕竟带器妊娠确实风险太大!
如果准备怀孕,可以取下节育器再怀孕,如果暂时不准备怀孕,安有节育器也应定复查,监测环是否有异位等!