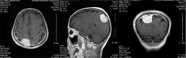
映象网信阳讯(记者 吴彦飞 通讯员 吴琼 曹启合)日前,74岁的葛大爷,因“发作性头晕5年”,在居住当地医院行颅脑MRI(核磁共振)提示颅内占位。紧急转入河南圣德医院神经外科,行MRI提示:矢状窦旁脑膜瘤。
入院后河南圣德医院副院长兼神经外科主任于耀宇查看患者病情,告知其家属脑肿瘤直径较大,压迫功能区,且与上矢状窦粘连,占位效应明显,有明确手术指征,但手术风险较大,手术过程有可能造成上矢状窦大出血及部分神经功能缺失,家属商量后同意手术。

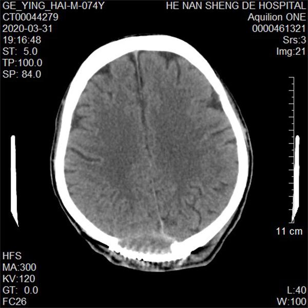
术后复查CT影像结果视图
为进一步降低手术风险,开颅手术前先行全脑血管造影术,明确血管情况,于3月23日在插管全麻下,由副院长于耀宇带领医护团队行颅内肿瘤切除术,肿瘤全部切除,人工硬脑膜严密缝合,修复硬膜,并行钛网修复颅骨。手术过程中操作精准,保护上矢状窦,避免了大出血的风险。
手术顺利,术后患者神志清楚,言语流利,肢体活动自如。手术效果良好,现已康复出院。
据悉,于耀宇毕业于第一军医大学和第四军医大学(国家级重点学科),任*警武**脑科医院脑血管病治疗研究中心副主任,兼任郑州大学、河北联合大学、新乡医学院和辽宁医学院硕士研究生导师,2008、2009、2010、2013四年为国家自然科学基金同行评审专家,《中华全科杂志》编委。于耀宇博士出生于1964年9月,系*共中***党**员,河南西平县人。

术前核磁共振检查
于耀宇主任医师从事神经外科临床20多年、从事脑血管病神经介入治疗十余年,师从于我国神经介入创始人马廉亭教授和国内外著名神经外科专家高国栋教授,在脑血管病和脑肿瘤诊疗方面具有丰富的临床经验。尤其是在脑血管病神经介入方面,在国内有较高的知名度,主攻方向为脑动脉瘤和脑动脉狭窄的介入栓塞与显微外科治疗,开展手术病例3000余例。目前主要从事脑卒中(出血性脑血管病和缺血性脑血管病)的神经介入及微创外科治疗,包括颅内动脉瘤、脑动静脉畸形、脊髓动静脉畸形、硬脑(脊)膜动静瘘以及烟雾病的血管内神经介入和显微外科手术治疗,颅内动脉和颈内动脉狭窄的支架置入血管重建手术治疗,以及急性颅内动脉血栓形成的急诊溶栓手术治疗等,能够独立熟练进行颅脑肿瘤、颅脑外伤和高血压脑出血的显微外科手术治疗。
于耀宇主任医师具有较强的科研能力,以课题第一负责人承担国家自然科学基金两项和中国博士后自然科学基金、天津市自然科学基金、*警武**总部课题各一项,培养研究生6名。共发表SCI论文2篇,核心期刊24篇,以副主编著书《介入神经外科学》一部,参编专著2部。获省部级科技进步奖一项,获得国家实用新型专利3项。
(映象网信阳新闻热线:0376-6880376,投稿邮箱:yxxy2013@126.com。 映象网“大象陪办”电话180 0371 9699)