57岁的患者朱阿姨近半年来行走时常常出现双足足底前部疼痛,活动过多或穿高跟鞋时疼痛加重,近1周来疼痛更加明显,试过各种治疗方式均未见明显缓解,近日在朋友的推荐下来到开封市第二中医院就诊。
该院足踝专科医生段连杰接诊并认真检查朱阿姨足部情况后,解释道:虽然朱阿姨的疼痛部位是足底第2、3跖骨头位置,但其实根源是双足踇趾外翻畸形改变引起。由于患者曾保守治疗未见明显效果,为彻底解决其痛苦,建议住院并行手术治疗。

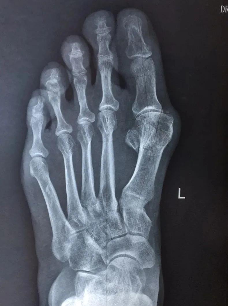
入院后,通过对患者双足负重下的正侧位X片的足趾畸形力线研究分析,经该院骨科科室医师讨论后,认为朱阿姨左右足虽然都是踇外翻畸形,实际病变畸形情况却有所不同:其左足转移性第2、3跖骨头疼痛明显,但前足5个跖骨头生理弧度相对较好,故采用踇外翻改良Chevron截骨矫形术;右足踇外翻畸形相对较轻,但影像学表现上第一跖骨长度较第二跖骨短缩明显,前足5个跖骨头生理弧度改变,为预防日后右足症状加重,故采用标准的Scarf截骨矫形术。





张振东主任介绍,踇外翻畸形即老百姓常说的“大脚骨病”,其发病一般认为是:
1、基因遗传,即家族史,父母有踇外翻,孩子可能会踇外翻,发病率很高;
2、不适的穿鞋习惯,研究发现穿高跟鞋的踇外翻发病率是不穿人群的15倍;另外平足、先天第一跖骨过长或过短也是相关因素。
踇外翻的治疗术式出现过100多种,经不断实践证明,现通用的治疗术式仅剩约10种,每个患者都应该依其情况采取个体化治疗方案。
段连杰医生根据朱阿姨病情解释道:踇外翻患者的影像学表现和临床症状体征有时并不完全一致,有些患者是因为“大脚骨”位置疼痛来就医;有些则是因为足底第2、3跖骨头位置疼痛而来;或者是因为足趾爪型改变穿鞋时磨脚疼痛就诊;有些患者足趾外观畸形改变严重,但临床疼痛症状轻;而有些人看着足趾畸形表现不重,却行走时疼痛难忍。
该住院患者的影像学表现踇外翻畸形不大,但患者出现了明显的转移性跖骨痛,且双足的第一跖骨长度不等,故采用2种不同术式治疗,这也是目前国内外学术界普遍认为踇外翻标准化治疗的最佳方案。