这是一个真实的故事,这种事情虽然发生的概率不是很高,但是却能造成一辈子的痛苦……

两年前的一个晚上11:00左右,有位顾客给我发来信息:“莫主任,我今天早上去拔了智齿到现在麻药还没过是怎么回事?不要紧吧?”
职业的敏感让我感觉到问题不一般,于是我详细的询问了他拔牙的时间、拔牙的过程,凭着我对他那颗牙齿的了解,隐隐约约的感觉可能出了大问题
这位顾客年龄36、7岁这样,长期以来都在我诊所洗牙齿,他的牙齿挺好没有什么大的问题,就是智齿长歪了经常发关,每年都要帮他做他做冠周冲洗四、五次
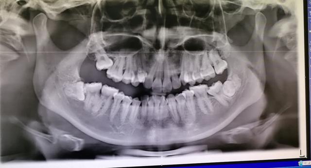
他智点牙根很长,离下牙槽神经很近,我给他拍过口腔ct发现,牙根和神经管之间有一点重叠,牙根与神经管之间没有骨质阻挡,于是我建议他做截冠助萌,等牙齿根离开神经管远一点以后再拔牙齿,这样分两次处理虽然麻烦一点,但是很安全

(绿色箭头指的是下牙槽神经管,黄色箭头指的是牙根,两者有重叠,须加拍cT)
他是个特别怕痛的人,几年过去了他一直犹犹豫豫,在他拔牙之前冠周炎又发炎又发作了,有一次在帮他做完冲洗之后,他比较郑重的问我,能不能把这个牙齿一次拔掉,我把我的担心告诉他,建议他还是分两次来处理吧
可能是他特别怕痛的原因,不愿分两次处理,所以那天早上他就跑去了某三甲医院把牙齿给拔了
从早上到现在已经过去将近10个小时了,一般麻药在三个小时左右就应该消失,那么现在嘴巴还麻,那就意味着拔牙的过程当中,可能对下牙槽神经有了一定的影响,我把我的担心告诉他,让他尽快的联系帮他拔牙的医生
对下牙槽神经的影响,有两种情况,一种是没有损伤到神经,只是因为拔牙以后造成局部的水肿,水肿对神经产生的挤压而导致的暂时性的麻木,这种情况在水肿消失以后,神经会慢慢的恢复正常
另一种情况则是拔牙的时候,直接损伤到了神经,这种损伤是很难逆转的,才会造成永久性的,半边下巴麻木、厚重感、虫子爬的感觉……
在不知道是哪一种情况引起的对下牙槽神经影响,只能用一些营养神经的药物或激素,然后就是等待……
这个等待漫长又煎熬,你自己不知道它能否恢复,如果不能恢复,你这一辈子就是这么一种感觉,是不是很崩溃?
2个月过去了,他的麻木感有所减轻,6个月还有少许,8个月基本恢复了,可在这8个月当中他的生活完全乱了套……
早在十几年前我就给我自己立了一个规矩:
1、拔牙之前一定要拍全景片(甚至要拍ct,早年口腔CT还没有普及),不愿意拍片者,不敢拔
2、牙根离神经管很近的智齿,建议用两个步骤来处理,否则不拔

(截冠半年后牙根已经离开神经管,这时候拔掉牙根很安全)
现在的人90%左右都需要拔掉智齿的,我们每天都有在做这个事情,拔智齿最大的风险就是下牙套神经了损伤,因为其它的比如水肿、疼痛都是可逆的,总有好的那一天
所以在拔智齿的时候一定要拍片,一旦发现牙根离神经管很近,请你慎重!