11月6日傍晚6点多,闽侯4岁男孩小齐被家人紧急送往福建省福州儿童医院。孩子看上去并没有什么不适,可是家人却心急如焚!究竟是怎么回事呢?!

(网线钉在这里)
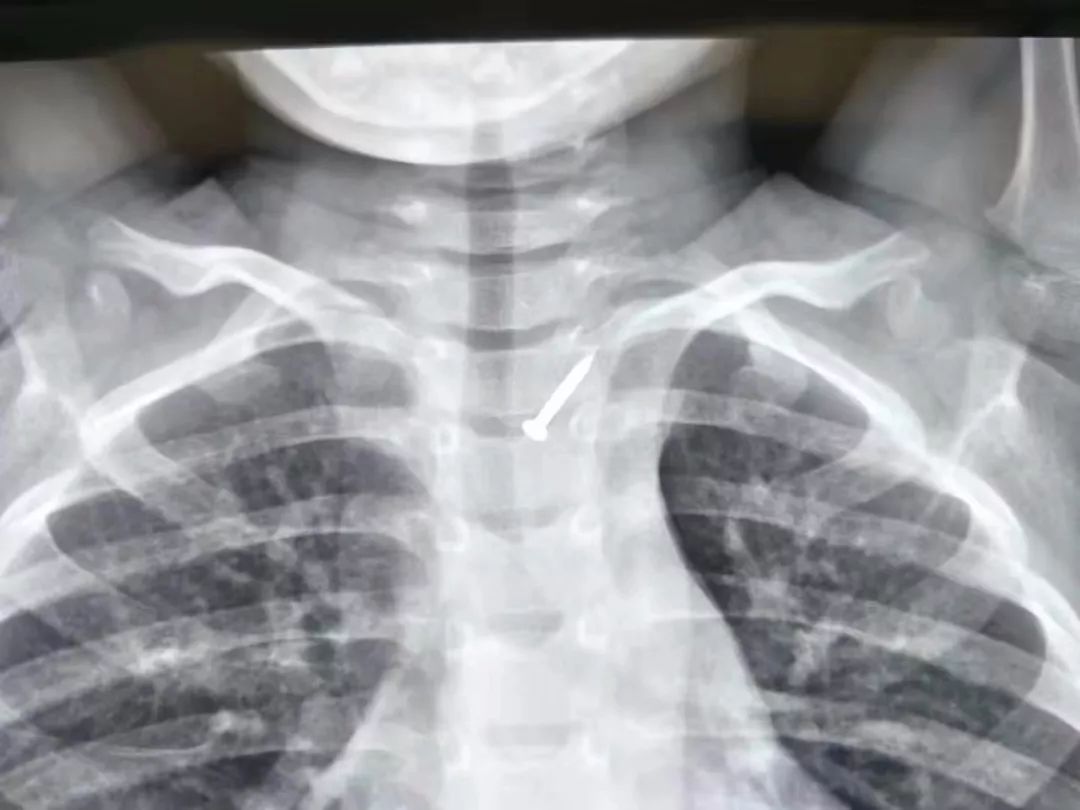
原来,4岁男孩小齐下午在幼儿园玩耍时,不知怎么地找到一枚“网线钉”,出于好奇,把“网线钉”吞进口中,一咕噜,咽进了食道。幼儿园老师发现后,立刻通知家长。当地医院拍片结果显示,网线钉位置已经嵌入食道,相当凶险,建议立刻转院!

(网线钉嵌入食道)
接诊的福建省福州儿童医院消化内科副主任医师林卫东一看到CT片,也吓了一跳!当时只能看到小男孩位于食道部位的尖尖的钉子头正对着颈总动脉,手术风险较大。如果取出过程中,不慎刺穿食道,伤及颈总动脉,血液可能大量喷溅,患儿甚至有生命危险!当天晚上,立刻进行食道异物取出术,而且术前备足了足够的用血。虽然网线钉占据的位置奇特,而且有塑料有金属,还有凹槽,不过经过多科室通力合作,医生夹住“网线钉”,稍微用点巧力,终于顺利取出这枚“肇事”的网线钉!

(终于取出“肇事”的网线钉)
有惊无险!所幸这枚钉子只是轻微划伤了小男孩的食道,他第二天就顺利出院。而这样的小物件,可是时常会被各位家的“熊孩子”以饱满的好奇心“勇敢”地吞入口中!就在此前一天,林卫东医生还将一枚环扣型金属物,从一名2岁多的女孩胃中取出!

(2岁女孩胃中取出的环扣型金属物)
林卫东医生说,临床上,此类病例屡见不鲜。他再次提醒:
1, 不要让孩子接触纽扣电池、铁钉、铁线、硬币等细小物件;
2, 万一发现孩子吞食,一定要立刻送院,千万 不要试图自行处理。