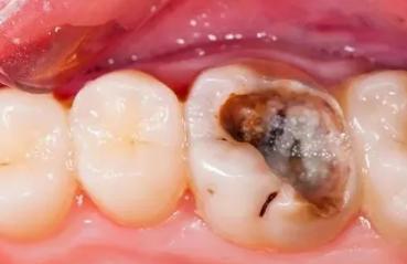
如今,大部分人都有不同程度的蛀牙。轻度龋坏通过简单补牙就可以。但是,一些严重的蛀牙伤及牙神经,导致牙痛难忍夜不能眠,根管治疗是唯一的选择。

根管治疗可以从源头上预防进一步牙齿病变。一般来说,对于 牙髓炎、牙髓坏死、根尖周炎等问题 都适合进行根管治疗。
包括 龋齿 、牙隐裂、过度消耗、穿髓等引起的牙髓炎及牙髓坏死不能保留活髓的情况。

那么在做完根管治疗后,医生告知患者需要做冠修复,大部分人是不理解的,是为了坑钱吗?实际上这个步骤是很有必要的,主要原因有三点:
1.牙齿变色、不美观
根管治疗后的牙齿缺少的保护,抗氧化能力也会明显下降,一旦受到影响容易氧化变色,会显得非常不美观。

2.牙齿容易感染
做过根管治疗的牙齿就是一个“空壳”,对细菌病毒的抵抗力会大幅下降,容易受影响或是感染细菌。
3.牙齿变得脆弱、容易劈裂
根管治疗可从根本上解决牙髓炎、牙周病的问题,但治疗后也导致牙齿失去牙髓。失去牙髓后的牙齿会变得比较脆弱而不够坚固,在进食中稍不注意就容易折裂。

由此可见,做完根管治疗后做冠修复的作用还是很大的,且做了牙冠使用寿命也会更长一些。
#牙科# #39健康超能团#