4月初,刘女士在帮3岁的女儿薇薇扎头发时,发现了孩子的头上起了一个包。未曾想,薇薇因此在广东三九脑科医院被诊断患上了一种罕见的疾病——朗格汉斯细胞组织细胞增生症(Langerhanscellhistiocytosis,简称LCH)。
除了头顶上长了一个包外,这种罕见病在薇薇身上并没有其他特别明显的体现。这个凸起的包摸起来软软的,按压也没有痛感,颜色和头皮颜色一致。如果不是因为近半个月来,这个包在飞快长大,刘女士可能就要忽略它了。


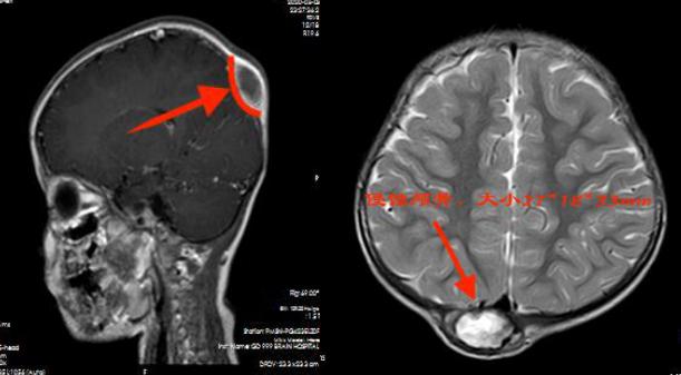
▲术前影像检查
我院神经外三科副主任杨宝应在查看薇薇的影像资料时,发现薇薇的右侧顶骨有一椭圆形骨质破坏,大小约为3X3cm²;缺损区边缘锐利清晰,与正常颅骨界线分明;已有软组织形成。杨宝应初步诊断是LCH。
杨宝应介绍,LCH是抗原提呈细胞(朗格汉斯细胞)在一个或多个器官、系统增生的疾病,可分为莱特勒西韦综合征、韩-柯薛氏综合征及嗜酸性肉芽肿。

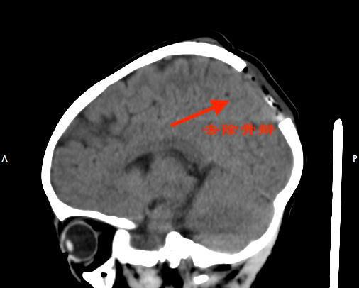
▲术后影像检查
由于目前累及颅骨骨质,采取手术治疗可以达到良好的效果。打开骨窗后,杨宝应在患儿帽状腱膜下发现一个大小约3X3cm²的肿物,部分组织已经破溃并流出脓液。术后病理检查为朗格罕氏细胞组织增生症,嗜酸性肉芽肿。
“嗜酸性肉芽肿是LCH三种表现形式中最温和的一种。”杨宝应解释,嗜酸性肉芽肿以朗格汉斯细胞增殖、颅骨继发性破坏为特征,最常累及部位为颅骨,很少表现为侵袭性。
LCH临床表现复杂多样,可累及单一系统或多个系统,且有些表现无明显特异性,好发于儿童及青少年。骨骼系统损害是LCH最常见的临床表现。骨骼为临床最常见的受损器官,通常表现为边缘不规则的溶骨性损害,最常见的是颅部及面部骨骼受损,其次为四肢长骨、骨盆及肩胛骨、肋骨及锁骨,脊柱受累较为少见。单一系统受累的LCH患者,常累及骨骼或皮肤,临床上多采用手术治疗,预后较好。
值得注意的是,LCH临床发病率较低,属罕见病,所以很容易被误诊误治。其中病理学检查及免疫组织化学检查是本病诊断的最可靠依据。确诊关键是在病变组织找到朗格罕斯细胞以及CDla(或)Langerin染色阳性。
杨宝应提醒,临床上若发现不明原因的体表肿块、骨骼受损、皮疹、长期发热、外耳道渗液等表现时,应警惕本病。