许多人可能有这样的经验,身上突然摸到凸起的肿块,与肌肉皮肤材质不一样的东西,第一时间想到就是肿瘤。然后脑海中浮现出癌症,天价医药费……各种担忧的问题开始困扰我们。
即使去看了医生,医生告诉你这就是个结节,脂肪瘤……不用担心,但是因为对于身上奇奇怪怪的疙瘩不了解,还是会有担心,害怕自己就是癌变的那1%
于是,甘草君做了这篇可能是最全的身体疙疙瘩瘩整理。你所不清楚的结节、增生、囊肿都在这篇文章里面了。
但是一定要记住,有问题先找医生,以下内容主要为了科普,如有出入,以医生临床诊断为准。

结节
这个结节和足浴按摩中说的“结节”不一样,肌肉中的“结节”多是肌肉劳损红肿、纤维化的产物。中医认为,结节是“痰气互结一循经上行”,“痰”与“气”,互相勾结,循着经络在体内到处流窜。常见的结节有甲状腺结节,乳腺结节,肺部结节,肝脏结节。大部分结节是良性的,只要定期随访就可以。
如何判断:来自医生诊断,移动性良好,边缘规整,疼痛程度低的硬块就是结节。
风险程度:乳腺结节一般不会癌变,其他结节是否癌变看硬度是否变硬,是否快速生长。
以下几种情况容易癌变:
-
甲状腺结节>1.5厘米
-
肺结节>2厘米
-
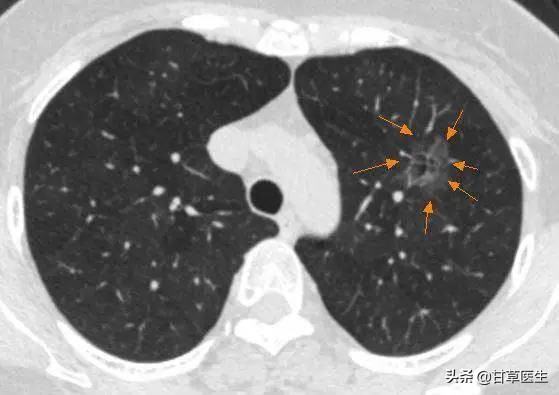
磨玻璃结节
这三种情况的恶化率比较高。

磨玻璃结节示意图,来源:上海市肺科医院陈谢冬
如何调理:不同部位的结节,往往引发的原因不同,除了时常体检之外:
-
肺部结节与抽烟的关系较大,远离麻辣食物,防寒保暖,避免熬夜
-
甲状腺结节,少食海鲜豆制品动物内脏。远离碘盐,减少压力。
-
乳腺结节,远离激素类药物,与豆类,锻炼身体,稳定情绪。
脂肪瘤
随着人们生活水平的提高,脂肪瘤的患者也随之增多。但脂肪瘤虽然是肿瘤的一种,但却是各类肿瘤中最安全的。皮下脂肪瘤在中医称为痰核,多因郁滞伤脾,痰气凝结所致。以皮下肉中生肿块,按之稍软,皮色不变,无痛为主要表现的瘤病类疾病。好发于肥胖人群,1/3多发性脂肪瘤患者有家族遗传史,
如何判断:发于皮下,单发脂肪瘤一般较大,多发的一般较小,好发于背颈腹四肢,有脂肪部位都有可能产生。皮下可以摸到,可以推动。
风险程度:癌变几率极小,容易切除,但不易根治,除非影响生活,否则不建议手术。

囊肿(左)与脂肪瘤(右)对比
图源:整形外科主治医师魔都刀客
如何调理:
-
忌食酒精
-
远离高脂肪饮食
-
作息睡眠规律
-
保持良好的心态
囊肿
对于囊肿,许多人可能只听说过卵巢囊肿。囊肿是一种良性疾病,它可以长在人体表面,也可以长在内脏里;囊肿作为一种良性包块,其内容物的性质很多是液态的。囊肿在中医中多属于癥瘕、积聚,多因肝郁气滞,湿浊虫积日久,导致气滞血瘀。积于皮肤表面则变成“皮脂腺囊肿”、“表皮囊肿”等,积于内脏则演变成“肝囊肿”、“肾囊肿”、“卵巢囊肿”等。
如何判断:与周围组织界限明显,外有囊壁,内有液体。
风险程度:囊肿对人体没有太大的影响,不需要对它有太大的心理负担。有些囊肿是可以自行消退的,但如果囊肿的体积较大,对内脏周边的组织造成了影响,是需要手术切除的。

软巢囊肿示意图
如何调理:
-
多补充维生素,多食用优质蛋白
-
多运动加快血液循环
-
注意休息,保持情绪稳定
息肉
许多人听过的鼻息肉就是息肉的一种,不过息肉可能是这类非肿瘤中最危险的一个。中医认为,息肉多因为肝气郁结,脾胃不和,导致运化功能失调,痰湿、瘀浊之物会在经络虚弱的地方沉积。形成了多种类型的息肉,常见的有鼻息肉、肠息肉、胃息肉、胆囊、宫颈息肉等。
如何判断:生长在人体黏膜表面上的赘生物叫做息肉,见于胃壁、肠腔等粘膜表面。
风险程度:良性的息肉占绝大多数,一般情况下是不会给健康造成威胁的。即使不幸发生了癌变的话,也要经过较长时间的演变时间。通常,成为癌的时间需要5~15年,甚至是更长时间。
以下几种息肉容易癌变:
-
胆囊息肉>1厘米、快速增长、肿瘤性息肉
-
胃息肉>2厘米、多发性胃息肉、腺瘤性息肉
-
肠息肉>2厘米,单发的息肉癌变几率为20~30%,多发的息肉癌变率则高达30~80%;直肠和乙状结肠腺瘤发病率和癌变率最高,横结肠最低。

息肉示意图
如何调理:
-
少吃刺激、寒凉食物
-
及早治疗发病部位的炎症问题
-
日常饮食可以多吃富含抗氧化剂的食物,例如深色叶子菜、水果
-
尽量不要吃油炸、爆炒、烧烤类食物
淋巴结肿大
淋巴结肿大应该是许多人最熟知的一种,但也不能掉以轻心。中医把淋巴结肿大称为“痰毒”“痰核”“核”等。本病因外感六淫邪毒,侵入肌肤,邪毒流注于经脉,与内蕴之痰湿交结,致使营卫不和,邪郁化热,气血凝滞,经脉阻遏而成痰毒。淋巴结肿大最常见的是因为各类炎症,少部分是因为结核等细菌性感染,极少部分是淋巴结瘤。
如何辨别:如果发现了皮下的包块在颈部,腋窝腹股沟区,这些地方淋巴结肿大的可能性大,主要表现为皮下有硬结,一般边界比较轻,活动度较好,有一定的压痛。
风险程度:
许多种情况都会导致淋巴结肿大,局部感染时会肿大,比如牙周炎、扁桃体炎。淋巴结肿大需要需要及时就诊,排除其他病症。
恶性的一般无疼痛、活动度差、质地韧,短时间内迅速增大的淋巴结,几处淋巴结融合、不明原因的发热,恶性的比率比较高。

淋巴结肿大示意图
如何调理:
-
饮食清淡,远离辛辣,避免上火
-
多喝水
-
运动增加免疫力与代谢