导读
医脉神经每周五个工作日都有雷打不动的早餐病例学习,每天3个短小精悍的小case,每天掌握3个知识点。每个群的群主轮流提供早餐病例,感谢各位群主及老师们的辛苦付出,也感谢参与讨论的众多群友。大家思想的碰撞,产生了无数的智慧火花,常在群里逛逛,每天都有新的收获。上周的精彩晨读病例摘选如下。
晨读总结: 卢志杰
校审: 王津存,申永国 黄波涛
晨读整理团队: 梁新明,李芳,姜映维,王赏、李惠明,孟庆贵、李张霞、许丹丹、解洪荣、谭小林、刘礼泉、郭阳等
病例1
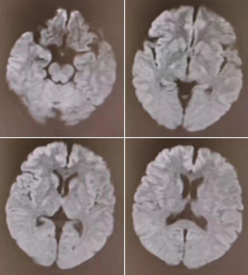
51岁女性,乳腺癌,环磷酰胺和表柔比星化疗,11月8日出院,10号出现意识模糊,反应迟钝。
10月11日核磁如下:

3天后复查:

核磁只给了DWI序列,复查对比可见,双侧颞叶、岛叶、额叶皮层广泛、对称高信号,所谓皮层“花边征”。
诊断: 高氨血症。

主要诊断要点:
1. 对称性双侧皮质受损,弥散受限、T2及FLAIR信号增高,特别是在岛叶和扣带回皮质,而在中央沟旁顶叶皮层、枕叶中央皮质及基底节区往往不受累。
2. 严重的损伤往往可影响上述相对不受累的区域,甚至基底节区、丘脑、皮质下白质及脑干也会受累。
3. 影像学特点及临床表现在治疗后往往是可逆的,根据疾病的严重性及高氨血症的持续时间而有所不同。
4. 病因:

有群友把皮层花边征的鉴别诊断总结了一句顺口溜:“低糖高氨上吊死,疯牛脑炎偏头痛”。低糖:低血糖脑病;高氨:高氨血症;上吊:自缢;死:猝死、心跳骤停、缺血缺氧性脑病;疯牛:克雅氏病;脑炎:自身免疫性脑炎。再加上癫痫持续状态及MELAS,涵盖了绝大多数DWI皮层“花边征”高信号鉴别。
病例2
一位35岁男性,表现为进行性嗅觉缺失,无其他主诉或发现。

影像可见:MRI的Flair像(A,B)显示额叶下前内侧广泛的血管性水肿,T1像(C)显示双侧额叶软脑膜和实质增强。治疗后7个月(D,E)分别显示血管源性水肿和增强的消退。
诊断: 神经结节病。
神经结节病(neurosarcoidosis)磁共振脑表现为广泛的双额叶水肿和强化(图A-C)。
回顾过去,7年前,他有一个颈部肿块和肉芽肿活检,但从未接受过治疗结节病。
口服泼尼松和甲氨蝶呤后,临床症状和MRI异常(图,D和E)有所改善,并被诊断为可能的神经结节病。
神经结节病是一种罕见的嗅觉缺失的病因,但需要作为一种不同的考虑因素。结节病中的嗅觉缺失是由鼻阻塞或嗅上皮、球或束的神经结节病引起的。
这个病例提示我们:一是嗅觉减退要注意颅内、额底病变;二是嗅觉减退可以作为神经结节病的首发症状。
【神经节病相关回顾】
➤ Whipple病、纹状体手、神经结节病 、脱髓鞘假瘤
➤ 诊断标准
➤ 鉴别诊断
➤ 实战病例
病例来源:Neurology,2018;91:1020-1021
病例3
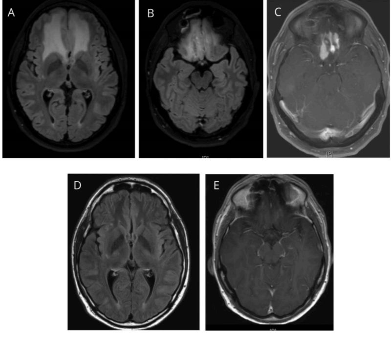
一位70岁的女性在12周内表现为进行性记忆障碍、穿衣困难、尿*禁失**和步态共济失调。检查显示全身性双侧对称性齿轮样肌张力增高,步态共济失调,无肢体辨距不良,下颌反射增强,嗜睡。上肢可见不连续的、多灶的、远端优势的肌阵挛,活动增强,对触摸或惊吓不敏感。简易精神状态检查(MMSE)评分为6/27。

诊断: 硬脑膜动静脉瘘(DAVF)
脑磁共振成像显示双侧大脑半球对称、 融合的T2高强度(图a)。梯度回波图像(图b)显示双侧小脑裂和脑沟的显著静脉(低强度,曲线信号;黄色箭头)。未发现实质性血肿或静脉窦血栓形成。脑CT显示弥漫性脑水肿,脑沟消失,额角受压。
术后CT扫描显示额角正常,外侧裂开放,皮质沟(d)显示良好。
硬脑膜动静脉瘘(DAVF)在脑血管造影上得到证实。在上矢状窦、右横窦、皮质浅静脉和深静脉系统可见明显的静脉窦逆行引流。
病人行栓塞术后认知功能改善(6~14/27),嗜睡和肌阵挛完全消失。
DAVF患者的痴呆可归因于静脉高压,导致白质改变和静脉高压性脑病。
病例来源:Neurology India,2017;65:426-427
病例4
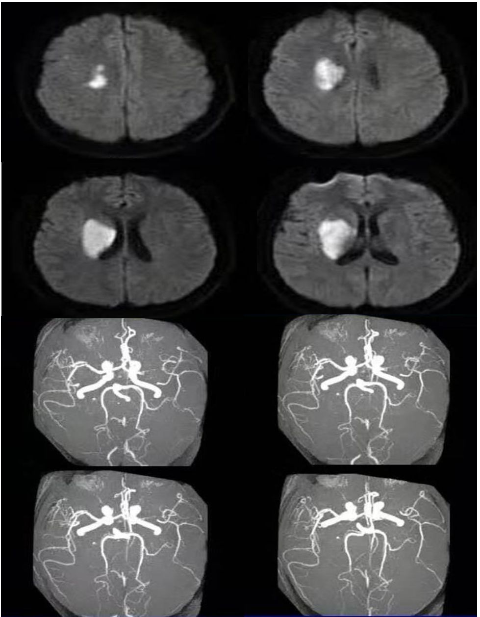
24岁男性,主诉:左侧肢体麻木无力伴言语不清4.5小时。
查体:BP:136/85mmHg,神清,构音障碍,左侧鼻唇沟浅,伸舌左偏。左上肢近端肌力II级 远端肌力0级,左下肢肌力III级,左侧面部及偏身痛觉减退,左下肢病理征可引出,右下肢未引出病理征。NIHSS评分:11分。
快速血浆反应素实验阳性。血免疫相关检查及血沉无异常。

影像可见:右侧侧脑室旁卵圆形DWI高信号,血管可见(左?右?)侧大脑中动脉M1段以远长节段狭窄(红色箭头),远端血管分支稀疏。对侧M2段亦僵直毛糙,远端分支断续不清。提示颅内血管存在广泛病变。
诊断: HIV相关卒中
有研究提示合并AIDS的脑血管病的患者大多数为青年男性(<45 岁),小动脉闭塞型腔隙性脑梗死最多见。新发病灶以基底节、额顶叶较为多见。常见合并症依次为梅毒、病毒感染、真菌感染、结核感染、周围神经病变等。在HIV患者中缺血性卒中较出血性卒中发病率高。研究均表明HIV感染增加了卒中风险,其人群归因分数 PAF为15%。艾滋病是青年卒中(<45岁)的主要危险因素。CD4细胞减低是HIV相关卒中主要风险之一。
HIV感染通过以下几个机制导致卒中:机会性感染(梅毒、隐球菌等),血管病变,心源性栓塞和凝血功能障碍等。HIV感染直接或间接导致脑血管病变包括血管狭窄、动脉瘤形成、血管炎和加速动脉粥样硬化等。
他汀类药物治疗可减少HIV感染患者非钙化斑块体积,从而减少动脉斑块硬化风险,但HIV感染相关卒中的二级预防中,并没有直接的实验证据证明他汀药物可以减少临床事件。
此例合并了梅毒感染,本身梅毒可以导致血管炎,进而发生卒中。所以有老师问到是否能排除梅毒导致的血管炎,笔者认为是排除不了的。
随着生存期的延长,HIV患者卒中危险因素增多且混杂,往往难以绝对区分病因。有作者综述了HIV相关卒中的病理、病因、流行病学,下图例举了HIV相关疾病导致卒中的诊断标准,感兴趣的老师可以参考一下。

参考文献:Handb Clin Neurol. 2018;152:187-200.
病例5
51岁,男性,主诉:吞咽困难、言语不清、左上肢活动不灵5天 葡萄糖7.2mmol/L。

影像质量虽然过分真实,仍然可以读到以下信息:双侧颞、顶、枕叶皮层及皮质下DWI高信号,长T1长T2信号,右侧病灶轻度肿胀。左侧皮层萎缩明显,提示病灶新旧不一,反复发作。
诊断: 线粒体脑肌病伴高乳酸血症和卒中样发作(MELAS)

血气分析:PH:7.43,PO2:132mmol/L PCO2: 31 mmol/L HCO3 20.6mmo/L乳酸5.2 mmol/L
病例讨论:
MELAS也是晨读中的常客,这次也没能难到大家。这一例值得关注的是反复发作的病灶导致以皮层为主广泛的脑萎缩。
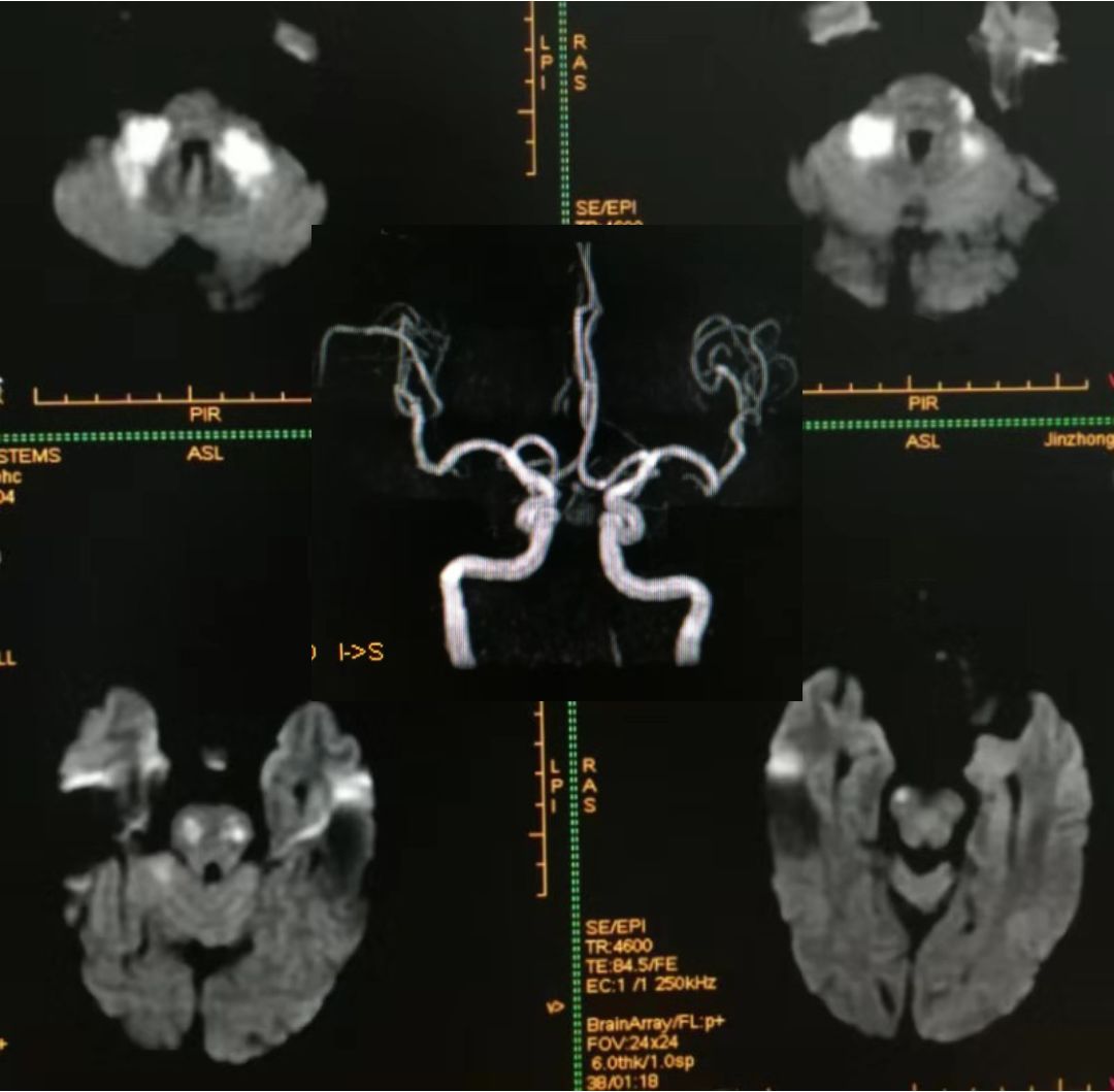
病例6
男性67岁,进展性头晕、行走欠稳。影像可见双侧桥臂、脑桥相对对称弥散受限;MRA可见椎基底动脉未见显影。

诊断: 后循环分水岭梗死。
病例讨论:
1. 后循环分水岭梗死主要发生在小脑交界区,多位于小脑上和小脑后下动脉之间。
2. 脑干的分水岭梗死常位于脑桥被盖部和基底部连接处的内侧区。
前循环分水岭大家耳熟能详,后循环分水岭可能听起来有点陌生,通过这个病例复习一下相关知识点,遇到类似病例可以推断病因及分型。
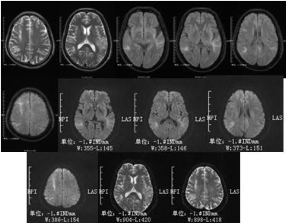
病例7
52岁,男性,头晕20余天,伴言语不利、智能下降。患者自述于20余天前无明显诱因下出现头晕,呈持续性头重脚轻感,无明显规律,伴有言语欠流利、智能下降,表现为计算力、理解力、记忆力下降,偶有咳嗽、呈阵发性单声咳,咳少许白色粘痰;间断发热,最高体温38.5℃。影像学如下:

影像学可见双侧颞、顶叶及右侧额叶多发散在皮层下白质病变,长T2,DWI高信号,ADC高信号。疾控中心HIV-1抗体:阳性,CD4+64cell/ul。
诊断: HIV相关脑病(HIV相关痴呆)
病例讨论:
根据当前针对HIV相关神经认知障碍(HIV-associated neurocognitive disorder,HAND)的国际“Frascati”分类标准,可分为无症状性(ANI),轻度认知障碍(MND)和HIV痴呆(HAD)三个阶段。ANI为量表提示有认知域损害,但日常生活能力无影响;MND轻度的认知功能障碍且影响日常生活能力轻度受损;HAD为明显认知障碍且日常生活能力明显受损。(Neurology. 2007 Oct 30; 69(18):1789-99.)
艾滋病相关性痴呆在 20% 的 AIDS患者中发生,往往是HIV感染缓慢进展数月后出现的迟发表现,这类患者CD4+细胞>350/μl。
HIV相关痴呆与 “皮质型”痴呆如阿尔茨海默不同,前者较少出现失写、失算、失用等皮质功能障碍。一些研究者称其为皮质下痴呆,表现为短期记忆和执行功能损伤。
脑部 MRI 显示萎缩和广泛白质改变。运动障碍也可单独发生或伴随 HIV引起的痴呆一同发生发展。HIV 感染者中运动障碍的发生率为 3%。
其影像学表现常位于白质,如脑室旁、半卵圆中心,呈对称、弥漫、云雾样白质异常,病灶可延伸至灰白质交界处。
看两例文献图:
Case1:

Case2:

图自:Topics in Magnetic Resonance Imaging .Volume 23, Number 5, October 2014
回到该病例,无论临床及影像学,除需要进一步完善认知功能评估之外,尚需要与进行性多灶性白质脑病(PML)相鉴别。PML是由JC病毒侵犯免疫抑制的HIV患者导致的中枢神经系统感染。影像学特点是以顶叶为主的皮层下白质散在受累,并呈融合趋势,会累及U形纤维是其特点之一。
病例8
并有发作性肢体抖动,每日数次,走路不稳进行性加重,伴言语含糊,视力、听力下降,反应迟钝。
查体:高级智能下降,水平眼震,共济运动差。
既往有右颞叶癫痫手术史,癫痫药物治疗效果差。家族中有一姐姐智力差,走失。

诊断: 齿状核红核苍白球丘脑下部萎缩(DRPLA)
病例讨论:
DRPLA为脊髓小脑共济失调(SCA)的罕见分型。日本人群的发病率较高,约为0.6/10万,其他种族人群罕见。基因定位于12p13.31/ATN1,表现为舞蹈证、痫性发作,肌阵挛和痴呆。SCA是遗传性共济失调的主要类型,为常染色体显性遗传,其最具特征性的基因缺陷为CAG扩增,CAG扩增次数越多发病年龄越早。
临床表现:30-40岁隐匿起病,缓慢进展也有儿童起病及70岁起病者,以下肢共济失调为首发症状,表现为走路摇晃、步基宽、易跌倒,也可有上肢共济失调和构音障碍,眼球震颤、痴呆、肌张力障碍、帕金森样症状、周围神经病、远端肌肉萎缩。
辅助检查:CT或MRI可见小脑萎缩、脑干、颈髓、大脑皮质萎缩,如本例可见广泛脑萎缩;分子遗传性检查可确诊。
治疗无特异性方法,对症治疗可缓解症状。丁螺环酮、金刚烷胺、加巴喷丁可改善共济失调,左旋多巴或多巴胺受体激动剂可以缓解强直等锥体外系症状。
病例9
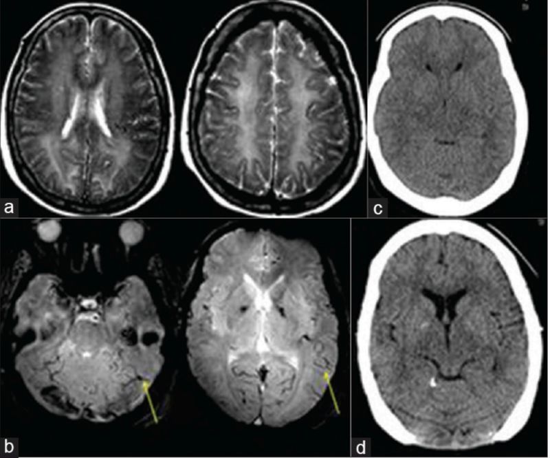
63岁男性,右侧肢体无力3小时入住某医院,因肢体无力加重转入。既往有高血压病、脑干出血病史。外院头影像学检查如下:

影像学可见:双侧侧脑室旁散在片状、卵圆形长T1长T2信号,其中左侧半卵圆中心病灶等T1,长T2信号,DWI呈高低不等混杂信号,结合病史,考虑为此次责任病灶。MRA并未见明显畸形或狭窄。
后补充CT:

诊断: 脑出血。
病例讨论:
该病例再次印证了CT是急性卒中的首要检查。因为MRI出血判读过于复杂,甚至可能模拟梗死,给治疗带来挑战。
关于脑出血的核磁表现,可以参考李凯老师的两篇文章,写的非常好。
➤ 10分钟记住脑出血核磁表现(一):T1、T2篇
➤ 脑出血的核磁表现之DWI & FLAIR篇
➤ 脑出血CT、MRI之争的终结者:GRE序列(T2*&SWI)
病例10
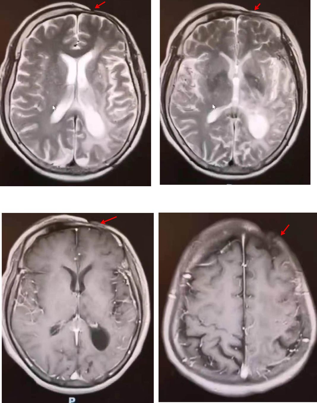
67岁,女性,突发右侧肢体乏力、麻木伴言语含糊23小时。
查体:言语含糊,右侧肌力5-级,左侧肌力5级右侧浅感觉减退。64年前有头部外伤,遗留头部瘢痕,局部无毛发生长。
头颅MRI可见:

诊断: 线状硬皮病。
线状硬皮病(linear scleroderma)在临床中较为罕见;合并神经系统症状是一种更为罕见的神经皮肤综合征,多为累及额面部的线状硬皮病即刀砍样线状硬皮病(LSCS)。
LSCS是局限性硬皮病中较为罕见的一类亚型,除皮肤改变外也可有皮下组织、肌肉、骨骼及神经系统受累。常于儿童起病,进展缓慢,一侧额面部的条状瘢痕样皮损为特征性表现,常伴有色素沉着或脱失。病损多局限于眉弓以上且靠近面部中线,可累及发际线以上,造成局部脱发。
颅脑MRI常出现皮损一侧颅内钙化、皮质及皮质下白质高信号病灶、萎缩及灰白质间界限不清。CTA或MRA可有血管炎样改变。但神经症状与影像学改变可能并不平行。治疗:糖皮质激素配合免疫*制剂抑**。
作为常出现在秒杀题中的线样硬皮病,有一些影像学特点:在线样硬皮的地方,多为额骨可见皮下脂肪层的断续,变薄(红色箭头)。遇到偏侧脑萎缩的患者可以留神这一特点。当然,在临床当中,可以直接看到,不必如此大费周章了。
参考文献:线状硬皮病合并神经系统症状一例[J].中华神经科杂志,2015,48(4):330-331

医脉风云榜

周晓宇
-
上海市第十人民医院(同济大学附属第十人民医院)副主任医师
-
上海市脑卒中临床救治中心 ( 第十人民医院 ) 秘书
-
上海市医学会神经内科分会脑血管病组组员
-
上海市医学会脑卒中分会缺血性组组员
-
世界卒中学会会员
以第一作者或通讯作者发表SCI论文4篇,参编著作一本;作为主要参与者获得上海市医学科技进步奖三等奖一项,主持市科委项目一项;擅长脑血管病的诊治,特别是脑血管病急性期救治及脑血管病介入治疗。