近日,兰大二院泌尿外科团队完成院内首例去管化超微经皮肾镜碎石取石术(Tubeless SMP),为1例复杂肾下盏结石患者解除病痛,患者术后3天已拔管顺利出院。
此例患者为男性,65岁,BMI:24.3kg/m2,主因“肾下盏结石”收住入院,结石位于肾下盏前组盏,结石大小约为1.2X1.5cm,CT值为1532HU,该病例入院后,经泌尿外科三病区主任包军胜、主任医师左陵君、副主任医师何綦琪综合考虑评估后,采用了新技术超微经皮肾镜碎石取石术(SMP)进行手术治疗。
本例患者的肾下盏结石术中使用新一代摩西激光击碎后均经负压取出,手术用时30分钟,未见明显出血及感染征像,未留置常规肾造瘘管(tubeless)。术后结石送成分分析,术后1天患者下地,2天拔除尿管,复查腹部立位片未见残石,嘱患者2-3周后拔除双J管,患者术后3天已顺利出院。此例手术亦为我院首例SMP示教病例, 对第二临床医学院在泌尿外科的实习同学进行示教,使其学习了解了泌尿外科结石领域的外科技术前沿。
肾结石的外科处理随着时代进步不断更迭发展。近几年来,肾下盏的坚硬结石成为了大多数泌尿外科同仁所关注的重点,尤其是一水草酸钙等高CT值含钙结石的处理相对棘手。一次性输尿管软镜(FURS)虽具有较好的微创性,但在处理该类结石时,大角度弯曲导致的碎石激光能量损失,针对较硬结石碎石效果并不理想,且散失能量对镜体也有较大耗损。而经皮肾镜碎石术(PNL)常规运用于较大结石的处理,对该类结石虽能准确清石碎石,但由于标准化通道管径(20-24F)及镜体均较粗,在该类患者碎石过程中,进出细小盏口较易损伤肾盏粘膜导致出血,其所带来的较大创伤及潜在并发症对该类1.5cm左右的结石群体的是否值得使用一直存在争议。
因此,近年来国内外新兴的SMP技术很好的解决了上述问题,SMP穿刺通道为12F,直径约3.6mm,对于较小盏颈口的肾中下盏坚硬结石(>1400 HU)的处理中具有较大优势:首先可以保证激光不弯曲的碎石有效性,此外其负压吸引的可以保证碎石及时清除,获得和PNL一致的较高清石率。此外,还可根据患者术中情况可选择是否留置造瘘管,可进一步做到跟输尿管软镜类似的微创化治疗及快速康复。
Tubeless SMP技术的开展标志着兰大二院泌尿外科在复杂结石病例的处理上具备了新技术,迈上了新台阶,在保证患者清石率的基础上获取类似输尿管镜的微创效果。代表着我院泌尿外科结石诊疗水平始终跟随国内外发展最新趋势,做到国内先进,西北一流,符合目前精准医学提倡的治疗理念。随着该项技术在我院的成功应用及普及,必将造福于我省及西北各省更多的复杂肾结石患者。

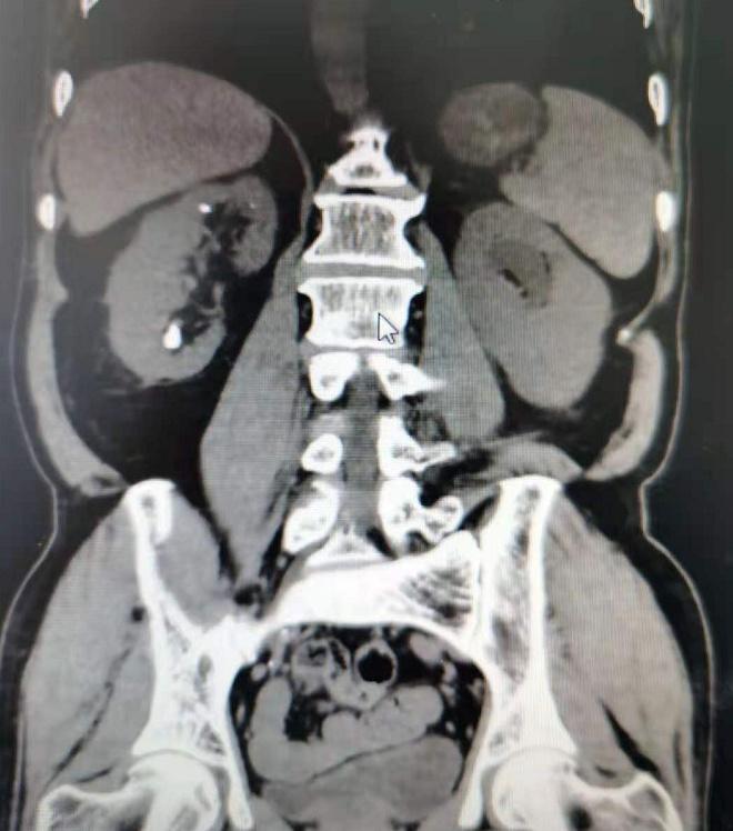
术前CT平扫提示右肾下盏结石

术后复查腹部立位片未见明显残石
