膝前疼痛是指膝关节正前方、前下方及髌骨周边的疼痛。膝前分布有多条韧带和肌腱,同时也是髌骨与股骨、胫骨相交汇的地带,无论是哪个部分出现外伤、磨损、畸形、退变,都可能会引发膝前疼痛。综合来看,可能引发膝前疼痛的常见原因如下所述(一种或多种)。

髌骨脱位 髌骨脱位是指髌骨在膝关节屈伸活动中,未按照生理性的滑车轨迹活动的疾症,通过视诊、手法检查并与健侧对比即可判断,主要症状就是髌骨“脱轨”后出现的异响、磨损、疼痛及退行性变化。髌骨脱位有全脱位和半脱位之分,还有急性、慢性和复发性之分,可能与韧带松弛、膝外翻、胫股关节旋转变位、肌肉力量失衡、高位髌骨等原因有关。

髌腱炎 髌腱是指髌骨至胫骨之间的肌腱,是一种致密的结缔组织,其功能在于小腿的牵拉及屈伸控制。所谓髌腱炎,其实是指髌腱表面出现裂痕并因此而出现疼痛和炎症。髌腱炎多因髌腱过度使用或使用不当所致,主要表现就是蹲起或跳跃时膝盖略靠下的肌腱疼痛,该问题常与大量的或畸形的弹跳动作有关,并因此而得名“跳跃者膝”(事实上,久坐者和缺乏运动者患上髌腱炎的概率也非高)。

胫骨结节病 胫骨结节是指胫骨上端、膝关节下方的骨性突起,是髌腱的止点。髌腱是膝关节活动最重要的力量传导机构,是人体负载力最大的肌腱之一,其附着点所要承受的应力可想而知。在长期的、巨大的应力影响下,胫骨结节周围便可能会出现慢性炎症、微小损伤,甚至会出现钙化、骨化、骨性突起增大,并伴有疼痛,称之为胫骨结节病。

髂胫束综合征 髂胫束位于大腿外侧,起于阔筋膜张肌,止于膝关节外侧靠下的位置。当髂胫束出现紧张和挛缩时,就可能会与膝关节外侧髁发生撞击和摩擦,还可能会使髌骨外侧的韧带向外偏移,引发髌骨力线异常。上述原因均可能会诱发膝前和膝外侧的疼痛和病变。

髌下脂肪垫炎 髌下脂肪垫又称膝关节脂肪垫,位于髌骨滑车下方下凹的位置,其主要构成就是脂肪以及皮下血管和神经,其主要作用是润滑和稳定髌骨、股骨和胫骨。当髌下脂肪垫因为遭受过度挤压和摩擦导致损伤、水肿并伴有持续酸痛症状时,便会形成髌下脂肪垫炎。髌下脂肪垫炎的主要症状就是膝关节前方、髌骨以下的软组织疼痛。

滑囊炎 包括髌前滑囊、外侧副韧带下滑囊、支持带下滑囊在内的诸多膝关节周围滑囊组织产生的无菌性炎症。

髌骨软化 很多人会将膝前疼痛笼统地视为髌骨软化症。事实上,髌骨软化仅仅是可能引发膝前疼痛的诸多疾症之一,其主要表现就是可观察到的髌骨下方软骨及骨性结构的损伤。髌骨软化症的主要症状就是膝关节在负重屈伸时出现髌骨下方的疼痛。

痛风 痛风症状多出现于单侧足部第一跖趾关节、踝关节等处,也可能出现在膝关节处(例如髌骨),主要症状就是周围组织的疼痛、红肿、功能受限等。可根据尿酸值、彩超及其他部位的疼痛进行诊断。

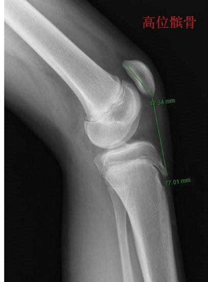
高位髌骨 高位髌骨是指髌骨在膝关节屈伸动作中的位置偏高,使其不能沿正常的轨迹滑动,并因为力线畸变而使髌骨出现额外的负载、磨损及多种应力反应。高位髌骨的主要症状就是膝关节活动受限、疼痛,可能与韧带松弛、胫骨结节病、髌骨支持带损伤等原因有关。

反射*交性**感神经营养不良综合征 反射*交性**感神经营养不良综合征英文称reflex sympathetic dystrophysyndrome,简称RSDS,是指富含交感神经纤维的神经受损后出现的持续性烧灼样神经痛,这种疼痛与运动强度及形式无关,可能伴有自主神经功能障碍,多因营养代谢方面的原因而起。胫神经便是这样一种富含交感神经纤维的神经组织,可能会因RSDS而出现胫骨上端的疼痛。