腿脚发凉、麻木、晚上睡觉经常腿部抽筋时,你会想到去哪科挂号?这些症状和椎管狭窄的症状往往非常相似,很多人第一时间想到去骨科看医生。殊不知,这些症状的有可能是下肢动脉硬化闭塞症导致。近日,原本就有下肢动脉堵塞近期加重的王大爷(化名)在哈尔滨市第一医院血管外科新技术“动脉机械吸栓(Rotarex)”的助力下,重获健康。
据血管外科主任周伟忠介绍,下肢动脉硬化闭塞症是由于下肢动脉粥样硬化斑块形成,引起下肢动脉狭窄、闭塞,进而导致肢体慢性缺血。随着人口的老龄化程度加深,下肢动脉硬化闭塞症的发病率逐年提升,但人们对下肢动脉硬化闭塞症认识不足。据不完全统计,就诊人数只占到发病人数的不足三分之一,大多数患者已经到了需要截肢或者生命垂危的程度才到血管外科就诊。


患者王大爷,既往就有高血压、糖尿病史,3年前检查发现左下肢动脉堵塞了,于是做了左下肢动脉支架症状终于缓解。可近一周,老爷子术前的症状再次出现,而且比之前的症状更加严重了。剧烈的疼痛折磨得王大爷整日坐卧不宁,彻夜不眠。儿女们很困惑,刚做完手术没几年怎么又出问题了呢?经多方打听,王大爷来到了哈尔滨市第一医院血管外科寻求医治。
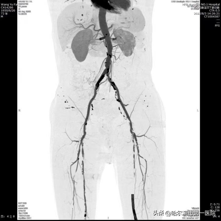
医生为王大爷进行了详细的问诊和查体。结合患者以往的症状和做过动脉支架的手术史,首选考虑患者是左下肢动脉支架内血栓形成。通过下肢动脉CTA结果证实了判断。以往处理支架内血栓需要开刀手术,切开取栓或者选择支架内再次支架,往往导致术后并发症,严重的病人可能出现肢体坏死截肢,甚至危及生命。经过与家属的充分沟通,决定采取目前先进的动脉机械吸栓(Rotarex)技术帮助老人解决目前的难题。不仅可以让王大爷避免麻醉的风险,也让术后的皮肤无创降低感染几率。
术中,在造影明确病变程度和位置后,周伟忠主任带领瞿鹏副主任医师、刘焱喆主治医师团队通过Rotarex导管头端的微小高速旋转装置将血栓切碎,继而通过抽吸导管运出体外。王大爷的左下肢做完手术后,皮温就明显变暖了,左下肢疼痛、麻木症状也得到了缓解。经过康复治疗,王大爷恢复良好,现已出院。
Rotarex血栓抽吸系统就相当于“道路清障车”,是一种新型的导丝引导的血栓旋切装置,通过吸栓导管对栓塞物的机械性粉碎、抽吸,用打通隧道的方式,恢复动脉通畅。不仅大大缩短了治疗时间,减少手术风险,而且可以不用或者仅少量使用溶栓药物,降低了出血并发症的发生率,是目前动脉硬化闭塞合并血栓或者急性动脉栓塞患者腔内减容治疗的最新技术之一。
专家表示:“与导管溶栓相比,这些吸栓和切栓系统能够更快地复通血管,既可清除腔内继发血栓,又可切除增生内膜和动脉壁内斑块。特别适合于年龄大、身体差、严重缺血的患者,减少感染和出血等并发症的发生。”
在满足群众多样化医疗需求的新征程上,哈尔滨市第一医院将聚焦百姓疑难困惑的血管外科疾病,以技术领航为临床提供强有力的支撑,让百姓健康有“医”靠。(通讯员:李晓晖 安晨菲)