今天展示的这一组病例,是颠覆三观的病例!小心脏不好的请绕行。真的会毁三观,不是因为这个病灶最后有多可怕,而是因为最后的病理颠覆大多数医生的三观,大部分在病理之前诊断大都是错误的。到底是“披着狼皮的羊”还是“狼”,且等我们一个一个分析。
发这些病例,本来应该是在学术会议上讨论。但是确实想给大家展示一下,医学诊断中的一些个疑难问题,这些是目前医学所达不到的,唯有我们潜心学习和研究。
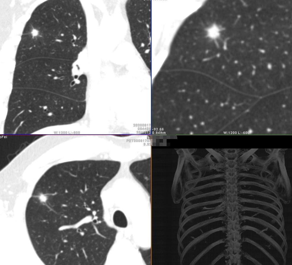
1:女性 47岁 体检发现右肺结节1周,预行手术,进行术前分期、评估。

薄层高分辨三维重组图片

妥妥的恶性征象,令人心惊胆寒
影像学检查特点:右肺上叶尖段实性结节,大小1.2cm×1.1cm×1.0cm,分叶毛刺、胸膜牵拉,最主要的是有两个大的引流血管汇聚,诊断为恶性病变还需要理由吗?不需要理由。这种征象哪个医生也不敢说一定是良性的。建议活检应该是最好的选择。

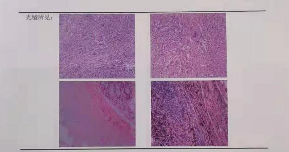
揭宝时间:
病理:

炎性假瘤
我们回顾性分析这个病例,有四点可以反思的:还是有几个特征需要我们更加细致的观察:第一个,病灶周边似乎有一圈晕征,边界稍微有点模糊,一直是我对磨玻璃结节网友强调的,同样适用于实性结节,边界模糊的往往是良性或者伴有周围炎症。第二个,这个1cm以上的实性结节,如果是恶性肿瘤,FDG代谢正常会更高一些。如果是炎性假瘤两种可能,大部分会FDG代谢更高,甚至高于恶性病变,如果纤维组织更多一些FDG代谢会轻度高有类似的表现,所以这个即使做了PET/CT还是难以鉴别的。第三个,这个病例要不要观察一下,抗炎治疗一段时间再处理,应该是一个值得商榷的问题,由于恶性征象太过明显,患者也心理承受巨大的压力和紧张,特别是这种实性的结节,如果恶性,转移的非常快,经过综合的分析还是选择了手术。第四个,这个患者影像学检查好还有什么更好的方法吗?其实还是有的,这个患者需要做一个MR的功能成像,通多多模态,多参数应该会得到良性可能的诊断。
(这个病例算是一个误诊病例,但是结合征象就属于那种错也错的有道理的病例,这只披着羊皮的狼隐藏的太深了。回过头来分析,如果再细心一些,或许能看出来征象,但是医学的发展就是这样,只有再潜心学习和积累中获得更丰富的经验。顺便PS:这个病例达到手术指征,确实是良性的,但是综合分析临床的原则还是必须手术,即使下次再遇到,90%以上的概率还是手术。)

陷入沉思中……
让我们继续来颠覆三观
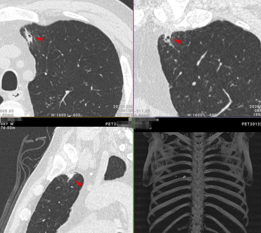
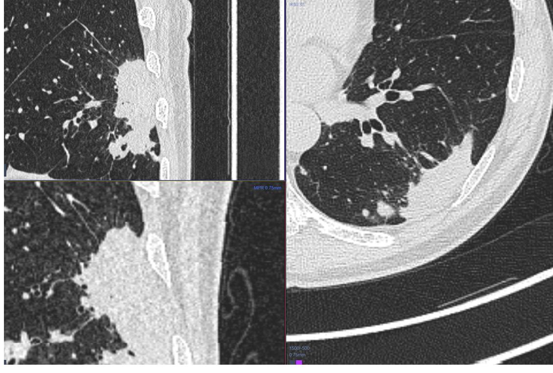
2.女性 56岁 体检发现右肺上叶前段占位,无特殊不适。


啥也不说了,实性软组织结节,大小约1.9cm×1.5cm,和病例1一样,该有的征象都有了……而且还出现支气管的截断、鼠尾征这些典型的特点。但是有没有不太符合的,我们在诊断的时候还是留了一手,建议活检除外感染性病变。
看病理:

病理提示隐球菌感染
PS:回顾这个病例,也是一头披着羊皮的狼。这类实性结节,在大概率是恶性的情况下,综合分析,治疗方案还是需要手术,我们不能为了那百分之几的良性概率去下赌注。此类结节如果是恶性进展之快,难以想象。当然我们也不做事后诸葛亮。还是秉承诊疗原则,这些都是目前医疗水平所不能解决的。

以上两例确实有点毁三观,但是也是我这近两年数千名疑难患者中仅有的两例,巫医生阻挡不了其手术,包括临床多为专家教授也阻挡不了。但是还是从中有所收获。让我静静继续和大家分享。
喝口水压压惊,让我们轻松一下,再来几例巫医生阻挡其手术的病例

下面这几个“披着狼皮的羊”,我们还是可以一锤定音的。
3. 男性 56岁 咳痰喘1月余。

这个就说怕不怕?结合全身状况,一锤定音,考虑为良性感染性病变,建议观察。
支气管镜活检:发现碳末沉积,未见癌细胞。

结合有灰尘接触史,考虑为尘肺合并陈旧性肺结核。目前8个月随访无明显变化。
4.男性 53岁 以脑梗塞灶入院,发现内内3cm大软组织肿块。


没有什么能够阻挡我对这个病灶的诊断,考虑为肉芽肿性病变。
病理:

5.女性 50岁 胸闷十年,发现左下肺肿物10天。

没有什么能够阻挡我对这个病灶的诊断,考虑为良性病变,孤立性纤维瘤
随访:10个月无明显变化,良性病变。
6.男性 63岁 咳嗽、纳差1月余,低热伴盗汗。

没有什么能够阻挡我对这个病灶的诊断,考虑为肉芽肿性病变。
病理:

今天的病例展示完了。目的是让大家不要惊慌,面对披着狼皮的羊,通过抓细节,找差异,还是可以鉴别开来的。至于前两例病例,也值得所有人思考。在判断不清楚的时候,手术有没有必要?也许是未来我们更应该探索的,未来医学工作者更要深究的。
关注我,关注更多与我们息息相关的真实病例。关注靠谱医学科普。
(备注,巫医生所有病例均来自真实病例随访和看诊网友提供,严禁盗图,未经同意*载下**图片,必究法律责任!)