新生儿的大脑在其出生后的一段时间内仍在不停发育,在出生后的前6个月左右大脑中“年轻”的神经细胞会迁移到大脑额叶。这一发现也许会有助于人类研究帕金森综合症或等神经系疾病。该研究成果发表于10月7日出版的《科学》杂志上。

新神经元的“移民路径”被发现
在出生之前,胎儿大量脑部神经元已“自动就位”迁移到大脑额叶,以便协助婴儿适应出生后的外部环境。这些出生前就存在的神经元,会在大脑额叶中连接在一起形成神经回路,来控制新生儿出生后的学习、记忆和社会行为等。在形成初期,这些回路的可塑性非常强。“连接成回路的神经元见可以不断的连接和切断,当婴儿出生后,新神经元的加入可以解释新生儿大脑高灵活度的原因。”文章作者之一、加利福尼加大学神经病理学家Eric Huang说。
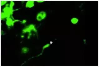
Huang和同事们将携带生长蛋白的病毒感染婴儿的大脑细胞切片(实验样本来源于死后立即被捐赠的新生儿的大脑组织中),当病毒成功感染大脑细胞后,其在显微镜下的颜色就会变为绿色,通过颜色追踪,研究人员轻而易举地发现了新生儿大脑中“移民军”的行军路径。

新生儿大脑截面图
大量神经元(图中标绿部分)由室管膜下层(SVZ,大脑中神经元的起源地)出发,呈圆弧状向大脑额叶表层移动。同时,有部分神经元(图中标红部分)聚集在血管周围。经过一段时间迁移后,移民神经元会随着婴儿的成长而放缓脚步,它们被预测形成了抑制性中间神经元,对其他神经元而言,抑制性中间神经元是交通信号灯,可以抑制其他神经元的活动。
“新生儿大脑中神经细胞迁移的发现意义非凡,也许会为将来治疗神经疾病带来福音”,未参与该项研究的加利福尼亚大学神经系统科学家Stephen Noctor说。
帕金森、癫痫等神经疾病的救星来了吗?
新的神经元通过补充大脑额叶“基建”,可以帮助婴儿大脑保持韧性。而在历经7个月的迁移(在1.5个月的时候达到峰值)后,这些神经元的信号逐渐减弱并几近消失。不过其他的一些研究也已证实,少量此类神经元的活动可以持续到人类成年阶段,这就为治疗帕金森症带来了希望的曙光。

新生儿大脑中移动的神经元
牛津大学的Michael Kohl推测,一旦婴儿开始接触外部世界之后,大脑中的抑制性神经元就会就位,协助平衡大脑兴奋和抑郁之间的关系。
下一步,科研人员们想探究儿童大脑中抑制神经元迁移与不同神经问题的关系。他们推测,癫痫是由抑制神经元“*工罢**
”造成的,而抑郁症也可能是由于缺乏细胞兴奋性的平衡而引发的。因此,Huang说:“我们的发现为破解人类对大脑的认知和发展奠定了细胞层面的基础。”
参考文献:
https://www.newscientist.com/article/2108356-how-brain-cells-move-through-newborn-babies-brains/
http://science.sciencemag.org/content/354/6308/38
https://www.sciencenews.org/article/nerve-cell-migration-after-birth-may-explain-infant-brain%E2%80%99s-flexibility