来源:超声技术与诊断
绒毛膜下血肿是早孕期超声检查中比较常见的病理改变之一,在妊娠中的发生率约为2%,20%的早孕期阴道流血是由绒毛膜下血肿所引起的,那么什么是绒毛膜下血肿?出血部位究竟在什么部位呢,我们接着往下看。

绒毛膜下血肿是指绒毛膜与蜕膜之间的积血,由于叶状绒毛膜与底蜕膜结合紧密,因此积血通常积聚于平滑绒毛膜与包蜕膜之间,其发生机制至今尚未明确,大部分学者认为是由于在妊娠早期胎膜外层的绒毛膜向蜕膜侵入扩张,绒毛外层的合体滋养细胞可能由于某些因素造成大量的大白水解酶被释放出来,从而引发蜕膜血管的损伤,最终造成绒毛膜与蜕膜间出血;还有些学者人文可能是由于胎盘边缘静脉血窦破裂导致的低压性出血或胎盘间质发育不良所致。
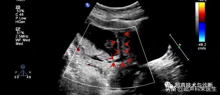
出现绒毛膜下血肿的孕妇,仅有20%会出现阴道不规则流血或下腹部疼痛的症状,而其余大多数绒毛膜下血肿是在超声检查中发现的,其超声表现为:子宫壁和胎膜(或孕囊)之间的无回声区,多位于胎盘下缘至宫颈内口间,以弧形或新月形多见,若血肿较多或血肿形成时间较长时,内可见点、絮状弱回声及条带状强回声,彩色多普勒超声检查:血肿内无血流信号。
根据绒毛膜下血肿的大小和范围,可对其进行定量分型:①小型血肿:妊娠囊周围绒毛膜下血肿的长度小于妊娠囊周长的20%;②中型血肿:妊娠囊周围绒毛膜下血肿的长度为妊娠囊周长的20~50%;③大型血肿:妊娠囊周围绒毛膜下血肿的长度大于妊娠囊周长的50%,或血肿的容积(长x宽x高÷2)>30ml。
接下来我们来看看具体病例:






绒毛膜下血肿需要注意和羊膜绒毛膜未融合以及胎盘早剥进行鉴别。①羊膜绒毛膜未融合是一种现象,在妊娠初期,胚外体腔相对较大,而羊膜囊和卵黄囊均较小,而随着胚胎的发育,羊膜囊逐渐增大,羊膜与绒毛膜越来越靠近,胚外体腔也随之减小,于14周左右羊膜与绒毛膜相互融合,此时胚外体腔消失,若14周后羊膜与绒毛膜之间的距离≥3mm,此情况即为羊膜绒毛膜未融合。②胎盘早剥发病急,有腹痛,血肿位于胎盘后方与子宫壁之间。
治疗方面,大多数绒毛膜下血肿无需治疗,嘱咐孕妇尽量避免剧烈运动,可根据血肿的位置和大小建议孕妇定期进行随访检查。