手机查看抗癌卫士软件,了解更多癌症治疗资讯,掌握用药知识,癌症治疗不在孤独,抱团抗癌,癌症病友家属的互助社区,你还没使用吗!

2014年全球癌症报告显示,我国胃癌新增人数和死亡人数高居世界首位,每年新发病例约占全世界的50%。其中,晚期患者超过60-70%,但针对这部分患者,二线化疗之后缺乏有效的治疗方法。虽然抗HER-2治疗被证明有效,但胃癌中HER-2过表达的比例低,从曲妥珠单抗靶向治疗受益人群有限。
阿帕替尼作为国内首个自主研发的抗血管生成靶向药物,对于部分晚期胃癌患者具有延缓肿瘤生长,提高生活质量的效果。阿帕替尼高度选择性竞争细胞内VEGFR-2的ATP结合位点,阻断下游信号转导,抑制肿瘤组织新血管生成,适用于既往至少接受过2种系统化疗后进展或复发的晚期胃腺癌或胃食管结合部腺癌患者。
病例介绍
患者崔XX,女性,52岁。患者于2014年5月出现腹胀、大便变黑、间断呕吐。2014年8月行胃镜检查,提示胃窦小弯侧前壁延伸至胃角的巨大溃疡,约8cm。活检病理提示为中-低度分化腺癌,免疫组化示HP阴性,HER-2阴性。血常规提示贫血,HGB 70g/L,肝肾功能、凝血功能大致正常。肿瘤标志物检查发现AFP显著升高,达8880ng/ml,CA125为21.3U/ml,CA19-9、CEA、CA242和CA72-4在正常范围内。
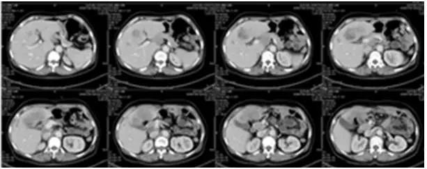
图1 2014年8月腹部CT

治疗过程
新辅助化疗
患者于2014年8月至2014年10月接受了3个疗程的XELOX方案化疗,具体剂量为奥沙利铂150mg d1+希罗达1.5g bid d1-d14 q3w。2014年11月行疗效评估,血常规示HGB较前升高,达86g/L。大便隐血阳性。肿瘤标志物检查发现AFP较前进一步升高,达28474ng/ml,CA125为41.4U/ml,CA72-4为18.5U/ml。CT与前比较,胃窦处胃壁弥漫性增厚,局部较前略变薄;胃窦后方多发淋巴结,部分较前增大。胃镜提示巨大溃疡隆起病变基本同前。因此,总体疗效评价为SD。
手术
患者于2014年11月25日接受了根治性远端胃次全切除术+D2淋巴结清扫术。术后病理提示为胃低分化腺癌,Lauren分型为不确定型。病理分期为ypT4aN3aM0,IIIC期。
辅助/一线化疗
2014年12月复查AFP为4312ng/ml。2015年1 月接受XELOX方案(同新辅助治疗)化疗1个疗程。2015年2月再次复查AFP达6137ng/ml,且CT提示新见肝实质内片状低强化密度灶,疗效评估为PD,遂于2015年2月至2015年3月改用TS方案化疗2疗程,具体剂量为紫杉醇150mg d1, 120mg d8+替吉奥2# qd, 3# qnd1-d14,q3w。2015年3月复查AFP高达15030ng/ml,CT提示肝实质内片状低强化密度灶,较前增大。疗效评估仍为PD。
图2 患者AFP的变化情况

二线阿帕替尼单药
一线治疗对肿瘤控制情况不佳,于2015年4月改用阿帕替尼425mg poqd,3天后将剂量调整为850mg poqd。用药期间的不良反应主要为II度高血压,白细胞、血小板减少,I度腹泻,III度蛋白尿和双肩、膝关节疼痛。用药10天后,患者的AFP下降了37%,从56317降至35149ng/ml;1.5个月时AFP下降了74%,肝转移灶增大15%,CT值略降低,疗效评估为SD;3个月时AFP下降了75%,肝转移灶无变化,疗效评估为SD;6个月时AFP下降了84%,肝转移灶无变化,疗效评估仍为SD。
图3 患者阿帕替尼治疗前后的CT肝转移灶变化情况

患者于2015年11月开始出现大量蛋白尿(3-5g/24h),因此将阿帕替尼减量至425mg qd口服,但蛋白尿未见明显减少,遂停药2周(2015年12月17日至2016年1月5日),停药后蛋白尿降至0.72g/24h。2016年1月5日CT提示肝实质内大片状低密度病灶,较前增大110%。肠系膜区、腹膜后多发淋巴结,部分较前明显增大。AFP由7700升高至42000ng/ml。因此本次疗效评估为PD,二线阿帕替尼单药的TTP达到了9个月。
图4 患者尿蛋白的变化情况

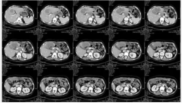
图5 2016年1月5日CT

三线阿帕替尼+CPT11
2016年1月至2月,患者开始接受阿帕替尼425mg+伊立替康0.24g d1q3w的三线治疗共2个疗程。2016年3月1日疗效评估为SD,肝左叶及尾状叶低密度影,较前增大17%。从2016年3月起,将剂量调整为阿帕替尼加量至850mg +伊立替康0.24g d1 q3w,又接受了2个疗程的治疗。
图6 2016年3月1日CT

治疗小结
1970年,Bourreille首次报告了AFP阳性胃癌(Alpha fetoprotein producing gastric cancer, AFPGC)肝转移的病例。事实上,胰腺癌、胆囊癌、肺癌、乳腺癌等肿瘤均可不同程度地产生AFP,其中以胃癌产生的概率最高。国外文献报道AFPGC占胃癌的1.3%至15%。AFPGC更易发生肝脏及淋巴结转移,具有高度侵袭性和恶性生物学行为。
AFP阳性胃癌是指经病理组织学证实的胃癌,伴有血清AFP表达,并排除肝炎肝硬化肝细胞癌及生殖细胞恶性肿瘤等其他可能产生AFP的疾病。也有人认为,AFPGC的诊断应取决于胃癌原发灶或转移灶免疫组AFP的阳性染色。目前公认的诊断依据为胃癌伴血清AFP升高并应结合免疫组化的结果。
胃癌伴AFP升高的原因
肿瘤是消化系统胚胎发育的重演。在胚胎发育过程中,胃和肝均由原始前肠部分衍化而来,而前肠直接与卵黄囊延续。在肿瘤发生发展过程中可能向肝样分化,使产生AFP的潜能得到表达,其组织形态可类似肝细胞癌或卵黄囊肿瘤。此外,胃癌肝转移灶周围肝细胞在增殖再生过程中可产生AFP。这些均是胃癌伴AFP升高的可能原因。
临床特点
AFPGC的症状并无特异性,常见的主诉为反酸、嗳气、上腹痛、黑便和体重减轻等。它常见于老年男性,好发于胃窦部,多表现为Borrmann II型和III型进展期胃癌,且易发生肝脏及淋巴结转移。这类胃癌预后差,晚期中位生存时间小于10个月。对化疗不敏感,与非AFP阳性胃癌相比,其5年生存率更低(9% vs. 44%)。
分子病理学特征
有研究表明,在AFP阳性的胃癌组织中,血管内皮生长因子VEGFR高表达,其表达率为90.5%(19/21);而在AFP 阴性者中为67.2%(162/241),两者差异显著(p<0.05)。AFPGC易发生淋巴结转移可能与组织中VEGFR,尤其是VEGFR-C表达明显升高有关, 其高表达可能是导致患者预后不良的原因之一。此外,肝细胞生长因子HGF/c-Met和Ki-67在AFPGC中亦高表达。
目前,阿帕替尼的临床应用仍有许多有待探索的问题。例如:阿帕替尼的获益人群如何确定,相应的依据有病理类型(肠型、弥漫型、混合型)、肿瘤标志物以及临床特征(腹水、AFP阳性)。其次,关于阿帕替尼治疗时机和用药方式的问题,应该一线、二线还是三线用药;应单药还是联合化疗等。再次,阿帕替尼的安全性仍有待进一步评估,特别是针对胃癌原发灶未切除者、高龄患者,剂量应如何调整。
转自《肿瘤瞭望》