友友们
你们是不是
也有“咬腮帮子”的经历?

▶ 『 我这是馋肉了,你是不是该请我吃火锅!』

▶ 『咬到过啊,我觉得是因为自己脸上肉多~』

▶ 『我上火的时候,牙齿很容易咬到口腔内侧!』

▶ 『 我是最近嘴里已经长了四五个溃疡,嚼东西时为避免疼痛,会不自觉的改变咬合习惯,于是咬颊咬舌的发生率就飙升了,吃个饭跟上刑似的。』

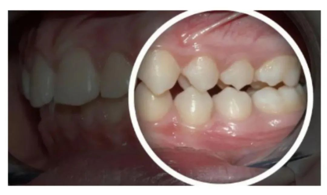
咬腮帮子,
轻微的咬颊是我们毎个人毎夭都在做的,
但这种牙齿和颊黏膜的摩
擤并不疼,而是在
腮帮子上留下了两条角化白线,
叫颊臼线,照照镜子或舔舔
看能找到不?
偶尔咬到正常,
但长期反复咬腮帮就应该重视一下了。
长年累月地咬还不管的,
可能会长出厚厚的增生组织,还得手术去切除。

咬到腮帮子后会怎样?
肯定是疼啊!

反复咬同一个地方,容易形成溃疡,
还可能导致相应部位口腔黏膜组织增生,
甚至有可能引发瘢痕、糜烂等。

为什么会咬腮帮子?
1、咬合关系不好或牙齿形态问题
如果个别牙齿反颌或对刃,这种情况下会出现锐利的牙尖咬腮帮的动作。
2、牙缺失或假牙不合适
牙齿掉了之后,长期不镶牙,口内黏膜失去牙齿的支撑作用会向内凹陷。镶上假牙后,适应过程中就有可能会出现咬腮帮的情况。
可以问下家里老人有没有这种情况,假牙的覆盖过小或戴了不良修复体,会出现咬合紊乱,也容易出现咬腮帮现象,不及时纠正会导致颗下颌关节出现问题,加重咬帮情况。

3、偏侧咀嚼或磨牙
这两个都算不良习惯,
偏侧咀嚼不光造成大小脸,
也可能会出现咬腮帮现象。
牙尖锐利边缘,
可能会因为你晚上磨牙颊肌收缩伤害到颊黏膜。
4、精神因素
紧张、焦虑、生活压力大等,
很容易产生习惯性咬手指、咬腮帮等动作缓解。

如何避免?
偶尔咬咬不用担心,伤口会慢慢愈合。
如果已经形成溃疡,可用促进溃疡愈合、
消炎、止疼的软膏、凝胶或含漱液治疗。
智齿该拔的拔!
看看有没有长得向外斜的智齿,
那种大头歪向颊侧的上颌智齿,
最容易咬腮帮了。
找到罪魁祸首,建议就拔掉了。

假牙不适
及时检查和治疗,尤其是后牙区镶了牙的朋友,得调磨一下,主要问题是覆盖太小,牙尖太锐,加大覆盖,将牙尖调磨圆钝一些就能解决问题。
偏侧咀嚼
有意识的改正长期偏侧咀嚼的习惯,这不光是为了不咬到脸颊肉,也是为了我们的美观。

夜晚磨牙:及时检查,制作磨牙垫来缓解症状。
总而言之,老是咬到腮帮子可不是小事,
千万别再忽视它啦!