有很多小伙伴发照片来问面面:我的嘴巴很凸,脸歪,是不是需要做正颌手术?
但是面面一看照片,明明就是牙齿的问题,根本不需要做正颌手术!其实很多小伙伴都分不清自己是“骨性不对称“还是“牙性不对称”。
今天就给小伙伴们科普一下,教大家如何判断!!!
骨性不对称的表现
01 偏颌
偏颌主要是指下颌左右两侧不对称,有的人还会出现下巴偏斜的情况。严重的时候会造成双侧颜面严重不对称,影响咀皭,发音等。

她的牙齿上下中线没有对齐
下巴偏向左边、以及面部不对称
02 地包天
下颌前牙晈到上颌前牙的外面,除美观问题外,会造成咀嚼、发音等功能障碍。若属骨性颌骨不正常导致的反合需要正颌手术来治疗。

03 龅牙
龅牙可分为牙性与骨骼性龅牙。咬牙时,上前牙切端至下前牙唇面的最大水平距离超过3mm,上牙明显突出。大部分的龅牙小伙伴可以正畸治疗解决,严重的骨性则需要做正颌矫正。
牙性不对称的表现
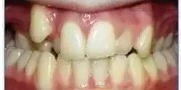
01 牙列拥挤
举个例子,一个三人的汽车后座,硬要坐5个人,大家只能错开坐,表现在牙齿上就是凌乱拥挤。

还有的人因为是智齿没有长好,挤压前面的牙齿,也会将牙齿挤歪。
02 对刃
正常人的牙齿是上门牙覆盖下门牙2mm。如果前牙牙齿的切端(就是门牙牙冠的切咬东西的部位)与切端接触,刚刚碰上,那就是对刃。
03 牙列稀疏
牙弓过大,牙齿过小或过少(天生缺牙或者后天掉落),导致排列太宽松,零零散散。最直观的表现就是牙缝大。

大部分人都属于齿性不对称,只有特别严重的骨性不对称才需要做正颌,总之正颌手术一定要慎重!
所以,现在拿出镜子,对照着上面的参考图看看,自己是属于骨性不对称还是牙性不对称?
如果还是不清楚自己到底需不需要矫正,可以去医院让医生帮你看下哦~
文章底部可评论留言,大家可以一起来互动啦~!把你想说的和想问的写下来吧!