
主要症状及体征
性别:女。
年龄:66岁。
主诉:因左上腹胀痛半年于2011年3月8日收治入院。
【现病史】半年前,患者无明显诱因出现左上腹间隙性胀痛,可耐受,无加重或缓解,无皮肤、巩膜黄染,无恶心、呕吐,无寒战、高热,大便正常,在当地医院行B超检查提示腹膜后囊性占位性病变,未采取任何治疗。在当地医院行B超检查提示腹膜后囊性占位性病变,未采取任何治疗。因患者胀痛加重,复查B超提示囊性占位性病变有增大趋势,以“腹膜后囊性占位性病变”收入我院普通外科。
【既往史】患者既往有高血压病史7年,长期口服厄贝沙坦、氢氯噻嗪和培哚普利,血压控制尚可;冠心病史11个月。
【入院查体】全身皮肤、巩膜无黄染,腹部平坦,未见肠型、胃型、蠕动波及腹壁静脉曲张;全腹未触及包块,无压痛、反跳痛及肌紧张,肝、脾肋缘下未触及,墨菲氏征阴性,移动性浊音阴性,肠鸣音正常。
【辅助检查】血常规检查:WBC 3.7×109 /L;RBC 3.95×1012 /L;Hb 131g /L;PLT 107×109 /L;中性粒细胞占0.61,中性粒细胞计数2.23×109 /L;淋巴细胞占0.27,淋巴细胞计数0.99×109 /L。肝功能检查:TP 72.9 g/L,Alb 45.1 g/L,球蛋白27.8 g/L,白蛋白与球蛋白比值1.62,TBil 16.6 μmol/L,DBil 2.9 μmol/L,IBil 13.6 μmol/L,ALT 17.0 U/L,AST 35.7 U/L,GGT 13.8 U/L,ALP60.5U/L,总胆汁酸3.2U/L。
肾功能及其他检查:尿素氮3.7mmol/L,肌酐59.8 μmol/L,尿酸307.1 μmol/L,K+ 4.0mmol/L,Na+ 137.2mmol/L,Cl- 95.7mmol/L,Ca2+ 2.3mmol/L,CO2 31.3 mmol/L,阴离子间隙5.1 mmol/L,渗透压280.5 mOsm/L;葡萄糖5.1mmol/L;淀粉酶113.3 U/L。 凝血功能检查:PT 12.8s,活化部分凝血酶原时间26.9s,纤维蛋白原2.58 g/L。 乙型病毒性肝炎标志物检查:HBsAg、HBeAg、抗-HBe、抗-HBc阴性,抗-HBs阳性。 肿瘤标志物检查:CEA 3.5 μg/L,AFP 7.4 μg/L,CA-50 5.2 U/ml,CA-242 13.0 U/ml,CA-125 8.6 U/ml,CA-199 31.5 U/ml。
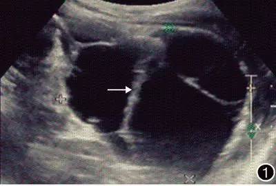
B超检查:左上腹(胰尾脾肾间隙)可见一巨大无回声区,大小约7.5cm×7.9cm×11.7cm,边界清晰,有壁回声,呈多房性分隔状,液性暗区回声均匀。见图1。彩色多普勒超声检查显示该回声区周围有少许血流信号,该回声区下方紧邻左肾,内侧紧邻腹主动脉。脾静脉及肾静脉在其内穿过。
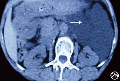
CT检查:胰腺体尾部后方囊性占位性病变;大小约8.0cm×12.0cm,紧邻左肾及腹主动脉,增强后囊壁无明显强化,其内分隔亦未见强化。见图2。

图1 B超检查结果 左上腹可见一巨大的无回声区,边界清晰,有壁回声,呈多房性分隔状(→)



图2 CT检查结果 胰腺体尾部可见囊性占位性病变(→),紧邻左肾及腹主动脉,增强后动脉期及静脉期囊壁无明显强化,其内分隔亦未见强化 a:平扫;b:增强扫描;c:冠状位
治疗经过
入院后完善各项检查,行剖腹探查术。分离、切断胃结肠韧带,显露胰腺,见大小约10cm×8cm×8cm不规则囊性占位性病变位于左上腹胃后方,由胰腺后方沿胰腺下缘突向前方,囊内有大小不等的多房性分隔(图3),囊壁和胰腺后方及横结肠系膜形成粘连。从顶部切开囊性占位性病变,吸净囊内淡黄色澄清液体。沿囊壁边缘仔细分离胰腺及横结肠系膜。完整切除囊性占位性病变。

图3 胰体尾部不规则囊性占位性病变呈多房性分隔(→)
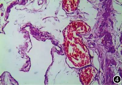
术后病理检查:血管淋巴管瘤;其内可见淋巴管和静脉成分(图4)。随访3个月,患者复查B超或CT检查无复发。

图4 病理学检查结果 血管淋巴管瘤,其内可见淋巴管和静脉成分
最后诊断
胰腺血管淋巴管瘤
病例讨论
血管淋巴管瘤是起源于间胚叶组织的一类良性肿瘤,属于比较罕见的淋巴管和微静脉的混合畸形。血管淋巴管瘤可发生于身体的任何部位。病理学上血管淋巴管瘤内既有静脉,又含有淋巴管。因此,有学者将其定义为血管错构瘤,如“海绵状血管淋巴管瘤”。该病文献报道较少,截至2011年2月,经PubMed检索只发现7例累及胰腺的血管淋巴管瘤。
血管淋巴管瘤超声检查结果表现为边界锐利的囊性占位性病变。本例患者B超检查发现囊性占位性病变内部为无回声区,边界清晰,内部呈多房性分隔。超声检查对此类肿瘤的诊断有参考价值,CT检查可进一步定性定位辅助诊断。CT表现为囊实性占位性病变,以囊性为多见,壁薄,囊腔大小不一,可表现为囊性低密度灶或等密度灶。增强时囊内部分无强化,实质部分及分隔动脉期轻度强化,静脉期及延迟期强化逐渐明显。血管淋巴管瘤内可见大量扩大的淋巴管和毛细血管,管腔内有淋巴液、少量淋巴细胞和红细胞,管壁间有淋巴细胞浸润。
治疗血管淋巴瘤以手术切除为主。对于此病例而言,因其囊壁完整,因而完整切除较为容易。对于向胰腺内侵犯或者已经累及其他器官,应一并切除相应部位。虽然该病是一种良性疾病,复发率低,但术后仍需要定期行B超或者CT检查随访。
如何参与病例讨论
即刻添加易可为好友(医客号:702175),加入医客大外科练功房。周一至周五晚19点~21点,群主会组织全国的外科医生同胞们一起讨论精华病例,一起交流成长。
① 登录医客APP,进入医客圈
② 点击右上角“添加好友”
③ 在搜索栏输入“易可”,或填写“702175
④ 发送验证消息“外科”,易可会尽快验证通过的哦
有偿病例投稿
投稿者一经录用,根据病例质量,可获得80~300元稿费。以上稿费,仅代表医客对您的感谢,但我们相信,您的作品所产生的价值远远不止这些,医客与粉丝共同期待您的来稿!
投稿方式
邮箱:tianyuji@hk515.com
QQ:351455989
微信:tyj0211
医客感恩有你, 金币双倍 回馈活动火热进行中, 快快进入 医客APP 首页参与活动, 领取 双倍金币 吧!
