原创 ONCO前沿
嘉宾:姜格宁、张鹏
导读
目前研究发现抗PD-1免疫治疗晚期NSCLC(非小细胞肺癌)患者的效果显著高于传统化疗。但抗PD-1免疫治疗主要用于其他传统治疗(手术、放化疗)失败的患者。此时肿瘤免疫微环境可能被破坏,影响免疫治疗疗效。在肿瘤免疫微环境未受影响下予以新辅助抗PD-1免疫治疗,有使患者建立长期肿瘤免疫应答的潜能。近期《新英格兰医学杂志》和《JTO》陆续报道的临床试验也证实了新辅助抗PD-1单药治疗可切除NSCLC的安全性和可行性。但是到目前为止没有更多研究证实新辅助抗PD-1联合化疗治疗NSCLC的疗效和安全性,且缺乏对患者生存期、复发率等远期指标的评价。因此,我们也开展了多项临床试验。本期与您分享我们正在进行的入组新辅助抗PD-1(信迪利单抗)联合化疗治疗NSCLC的临床案例。
研究设计
入组条件
- ⅠB-ⅢA期可手术、各器官功能良好的非小细胞肺癌患者;
- 针对NSCLC未进行过任何抗癌治疗,包括手术治疗、局部放疗、细胞毒*药性**物治疗、靶向药物治疗及试验性治疗等;
- 无其他原发的恶性肿瘤史;
- 在入选治疗前6个月内未发生过任何血栓、栓塞或缺血。
治疗方案
- 术前进行2-4周期新辅助治疗,2-4周期后进行胸部增强CT评估,再进行根治性手术;术后治疗依照NCCN指南进行;
- 用药方案:信迪利单抗治疗,200mg/次,静脉输注(时间持续30-60分钟),联合以铂类为基础的双药化疗;
- 化疗方案:1) 鳞癌:卡铂AUC5 d1,吉西他滨1000mg/m2,d1,d8。2) 非鳞癌:卡铂AUC5 d1,培美曲塞500mg/m2,d1
病例1
基本情况
男,72岁。
2019.09.30“发现左肺上叶占位”,入院治疗。有高血压,痛风病史。
病理:左肺尖非小细胞癌伴坏死(非特殊型)。
免疫组化结果:PD-L1(22C3)(30%+,1-49%)。
基因检测:KRAS Codon12 Gly12Asp:突变型。
支气管镜:未见新生物。
临床分期:cT2N2M0-ⅢA
诊疗经过
两周期“信迪利+AP”免疫治疗联合化疗方案。

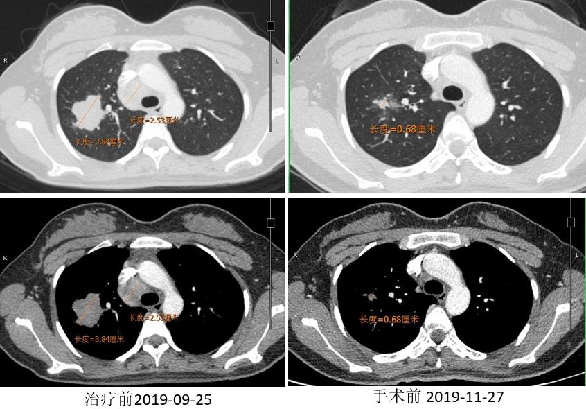
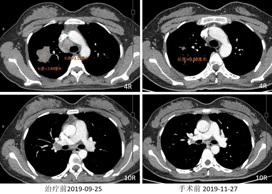
胸部CT

外周淋巴结CT
2019.12.03 行“VATS辅助切口左肺上叶袖式切除术”。
术后病理:(左上叶)未见肿瘤细胞残留。病灶内大片区域纤维化伴胶原化,组织细胞积聚,淋巴细胞浸润,病灶周边见个别多核巨细胞反应,符合化疗后表现(疗效PCR)。第6、7组淋巴结见钙化灶,未见癌细胞。肺门支气管旁淋巴结未见癌细胞,见纤维组织增生伴胶原化及黑色颗粒沉积。
疗效评价:pCR(病理完全缓解:原发灶和淋巴结手术标本病理检查无浸润性肿瘤细胞残余)。
病例2
基本情况
患者,女,21岁。
2019.09.30“发现右肺上叶占位三周”,入院治疗。
病理活检:(右上叶)腺癌,(纵隔4R组淋巴结)转移性癌。
免疫组化结果:PD-L1(E1L3N)(-)。
基因检测:无基因突变。
支气管镜:未见新生物。
临床分期:cT2N2M0-ⅢA
诊疗经过
两周期“信迪利+AP”免疫治疗联合化疗方案。

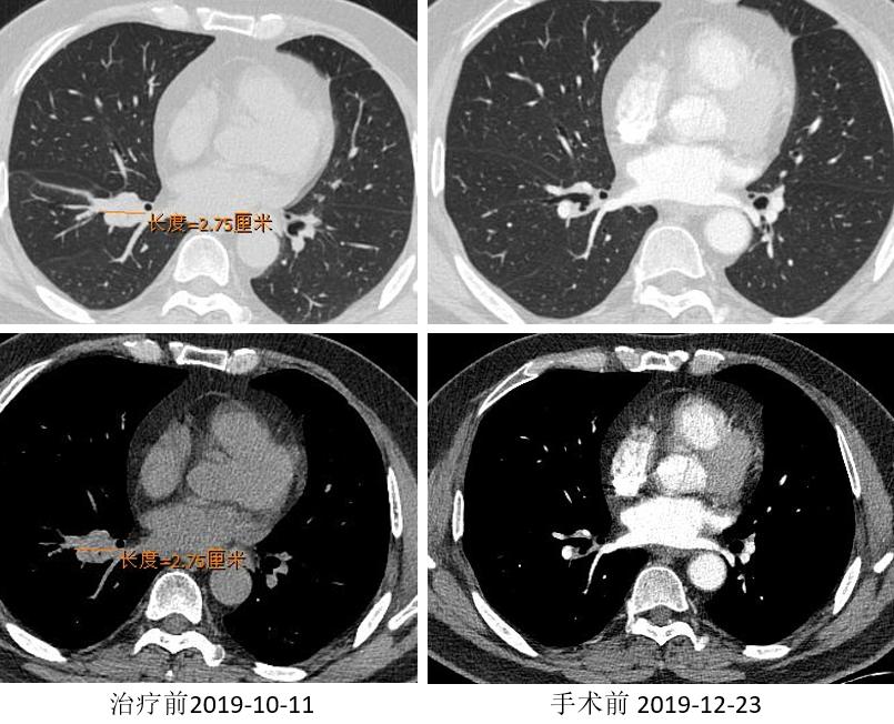
胸部CT

外周淋巴结CT
2019.12.10 行“右肺上叶切除术”。
术后病理:(右上叶)浸润性腺癌(腺管型95%,微乳头型5%),(纵隔4R组淋巴结)阴性。病灶内浸润性腺癌(约占20%),见较多区域纤维化伴组织细胞、淋巴细胞浸润,另见胆固醇结晶、多核巨细胞及肉芽肿反应,符合化疗后反应。
病例3
基本情况
患者,男,67岁。40年吸烟史,20支/日。
2019.10.14 “因咳嗽,右侧胸痛一月余”入院。外院CT发现右肺上叶占位,有结核性胸膜炎病史,予正规抗痨治疗(1990-1992年)。
病理:(右上叶)腺癌。
免疫组化结果:PD-L1(22C3)(95%+,>50%)。
基因检测:无基因突变。
支气管镜:右上叶前段管腔内见新生物堵塞管腔。
临床分期:cT4N1M0-ⅢA
PET:1.右肺上叶MT伴右肺门及纵隔淋巴结转移可能,右肺上叶叶内转移灶不除外;2.两肺少许慢性炎症;两肺肺气肿;3.右侧顶颞叶腔梗灶可能。
CT:1.右肺上叶肺癌可能,肺门及纵隔淋巴结增大;2.右肺下叶小结节;3.双肺气肿、肺大泡。
诊疗经过
两周期“信迪利+AP”免疫治疗联合化疗方案。

胸部CT

外周淋巴结CT
2019.12.17 行“VATS辅助右肺上叶切除术”。
术后冰冻病理:(右上叶)切片中见极少量异型细胞,恶性肿瘤可能。(第11组淋巴结)肺组织内见纤维组织增生伴炎细胞浸润及组织细胞反应。
疗效评价:MPR(病理显著缓解:接受治疗后肿瘤样本内的癌细胞占比<10%)。
病例4
基本情况
患者,男,64岁。
2019.10.11 因“痰中带血I级半月”入院。
病理:(左下叶)鳞癌。
免疫组化结果:PD-L1(22C3)(-) 。
基因检测:无基因突变。
支气管镜:左下叶背段见新生物,部分堵塞左下叶管腔。超声下见7组淋巴结肿大及左肺病灶影。
临床分期:cT4N1M0-ⅢA
诊疗经过
两周期“信迪利+GP”免疫治疗联合化疗方案。

胸部CT

外周淋巴结CT
2019.01.03 行“VATS辅助左肺下叶切除术”。
术后冰冻病理:(左下叶)见少量异型细胞,病灶内见纤维组织伴淋巴组织增生、组织细胞聚集、胆固醇结晶沉积及反应性多核巨细胞,结合病史符合新辅助治疗后反应(MPR)。(第11组淋巴结)肺组织内见纤维组织增生伴炎细胞浸润及组织细胞反应。
疗效评价:MPR。
病例5
基本情况
患者,男,64岁。
2019.10.28因“体检发现肺部异影”入院。
病理:(右肺下叶)鳞癌(纵隔7组淋巴结)E-BUS穿刺:见异型细胞。
支气管镜:右下叶基底段见新生物堵塞。超声下见7组淋巴结肿大。
基因检测:无基因突变。
临床分期:cT2N2M0-ⅢA
诊疗经过
两周期“信迪利+GP”免疫治疗联合化疗方案。

胸部CT

外周淋巴结CT
2020.01.03 行“VATS辅助右肺中下叶切除术”。
术后冰冻病理:(右中下叶)恶性肿瘤,肿块旁淋巴结见癌累及(1/4)。(右中下叶)鳞癌(角化型),肿瘤残留约80%(新辅助治疗后),未见坏死、胆固醇结晶沉积、组织细胞反应及肉芽肿。
不良反应(AE)汇总

不良反应(AE)汇总
总结
以上5位患者当中,3例为非鳞癌,2例为鳞癌患者,经过PD-1*制剂抑**新辅助治疗后原发病灶直径均显著缩小,转移性淋巴结也呈现缩小趋势。同时,经PD-1新辅助与手术治疗后,1例患者取得pCR,2例患者取得MPR的显著临床获益,相比早期NSCLC传统新辅助化疗的病理缓解率(pCR4% / MPR20%),免疫相关的新辅助治疗更能带来淋巴结及病灶的影像学降期,提高病理缓解率。也在术前充分降低患者手术负荷,控制肿瘤扩散,增加手术根治机会。此外,在药物的不良反应当中,1位患者无不良反应,2例患者出现发热症状,仅有1例Ⅰ级和2例Ⅱ级不良反应,且症状均可控。可见信迪利单抗新辅助治疗在可手术切除NSCLC患者中的应用前景,同样期待未来PD-1*制剂抑**新辅助治疗能够带来积极的研究成果,为国人从中取得更多获益提供可能。