2020年11月26日,在成都国际心脏瓣膜病介入会议(PCR-CIT China Chengdu Valves 2020)手术转播环节,广东省人民医院罗建方教授团队以精湛的手术操作成功挑战重度“横位心”的功能性二叶式主动脉瓣狭窄(BAV),顺利植入Edwards Sapien 3球囊扩张式瓣膜一枚!凭借优异的双调弯设计,Edwards Sapien 3球扩瓣轻松克服了特殊主动脉解剖结构带来的诸多困扰,顺畅完成过弓、跨瓣等一系列操作,实现了手术的圆满成功,并再一次验证了Sapien3卓越的临床应用疗效。接下来,就让我们一同来回顾一番这场手术之中的精彩亮点!

层层剖析 | 全方位术前评估解析病例特点
患者男,66岁,NYHA心功能III级,无特殊既往病史。术前冠脉造影结果显示:患者LM管壁不整,未见明确狭窄;LAD管壁不整,近段狭窄约70-80%;LCX管壁不整,主干未见明确狭窄;OM近段狭窄约50-60%;RCA管壁不整,近段狭窄约70-80%,中段狭窄约40%。主动脉瓣增厚,开放受限,中度主动脉返流。
术前心脏超声结果显示,患者主动脉瓣呈二叶瓣开放,瓣叶增厚并见钙化、关闭不全,主动脉瓣重度狭窄伴中度反流;主动脉瓣瓣口流速5.2 m/s,平均跨瓣压差74 mmHg,瓣环内径24 mm,窦部内径38 mm;升主动脉明显扩张,其余瓣膜形态正常;CDFI提示主动脉反流,彩束面积5.9 cm²。
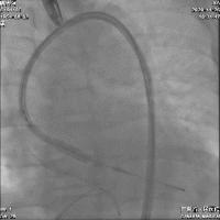
术前CT结果显示,主动脉瓣口面积478.2 mm²,瓣环平均直径24.9 mm,瓣环周长80.0 mm;瓣上结构为较正常的三窦三瓣解剖结构,瓣叶略微增厚伴中度钙化,且钙化90%左右分布于无冠窦,左冠窦与无冠窦的钙化部位存在粘连;LVOT面积475.1 mm²,LVOT平均直径24.5 mm;升主动脉平均直径44.0 mm;心夹角69°,属于严重的横位心。





结合患者术前超声、CT及冠脉造影结果,经心脏团队综合评估后计划植入26# Edwards Sapien 3瓣膜一枚。考虑到患者冠脉慢血流的情况较为严重,可能在TAVR术中引发无复流等危险情况,故决定先行PCI治疗干预LAD与RCA近端病变,PCI术后行TAVR。
顺畅操作 | 双调弯设计轻松解决横位心难题
术中建立双侧股动脉入路,以右股动脉为主,送入导丝顺利跨瓣进入左室,先行球囊预扩张,处理主动脉瓣环钙化;后续沿已建立的导丝路径,送入Edwards Sapien 3球囊扩张式主动脉瓣膜置换系统,在推送的过程中,一边调弯一边缓慢推送,保证安全过弓并成功完成跨瓣。

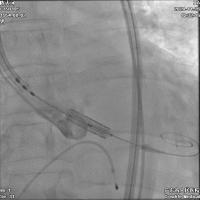
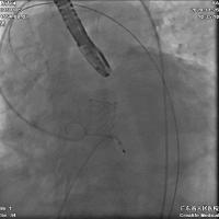
随后将Edwards Sapien 3瓣膜精确定位至预期位置,以180次/min快速起搏,保证1:1夺获,使收缩压降至50 mmHg,迅速释放瓣膜,整个过程一气呵成。

瓣膜植入后,即刻跨瓣压差几乎为零,无残余瓣周漏,顺利结束手术。

术后点评 | 罗建方:复杂心脏解剖的TAVR治疗新*器武**
罗建方教授:这是一例重度主动脉瓣狭窄伴中度钙化的病例,从术前评估结果来看,该患者存在左冠窦与无冠窦粘连的现象,这也解释了术前超声为何会将其识别为二叶式主动脉瓣;而最为关键的问题在于,其心夹角达到了69°,属于非常严重的横位心,给瓣膜顺利植入带来了非常大的挑战,而Edwards Sapien 3球囊扩张式瓣膜的出现却给我们打开了新的思路。
相较而言,Edwards Sapien 3球扩瓣的输送系统更细、柔韧性更佳,具有优异的可调弯特性,能够有效减少手术操作中对升主动脉的影响;在搭配一根相对柔软的导丝之后,该款瓣膜在整个手术过程中十分顺畅地完成了过弓、跨瓣、调整同轴性等操作,对于这样一例严重横位心的病例来说,这是极其难得可贵的。从术后即刻评估结果也可看到,瓣膜的释放位置与形态均令人满意,残余瓣周漏几乎为零,达到了非常好的手术效果。另外,由于瓣膜自身支撑力较好,Edwards Sapien 3球扩瓣在完成释放后始终维持着良好的圆形瓣膜结构,这一点也是其他自膨胀式瓣膜所无法企及的。过去,我们普遍认为应用球扩瓣治疗二叶式主动脉瓣狭窄患者的疗效不佳;然而,从现有的国外经验以及自身使用体验来看,球扩瓣反而可能为患者带来更多获益。
当然,鉴于球扩瓣与自膨胀瓣膜存在明显的设计差异,在手术操作上,术者也需要相应地做出调整。首先,在跨越弓部时,术者应边推进边调弯;其次,在遇到严重横位心的类似病例时,术者在完成跨瓣操作后应适当卸张力,并在输送系统进入左室后,适当回调、找寻合适的位置,以免弯度过大;最后,术前合理的预扩张操作也有助于优化入路通道、明确瓣叶变化。由于Edwards Sapien 3球扩瓣的瓣架较短,该款瓣膜在植入后通常不会影响到冠脉开口血流,这一特性也要求术者在进行瓣架定位时要更加精准。值得注意的是,如术中出现预扩球囊“移位”的情况,通常是因为瓣环层面靠近左室流出道端钙化较少,这时可适当地提高瓣架位置。
除却术中的操作注意事项,术前进行完善的影像学评估亦非常重要,术者应当对患者的瓣环结构、大小及钙化状况等了然于心,继而选择与瓣环面积相匹配、且不会损伤瓣环或窦的合适瓣膜,尤其要注意避免冠脉堵塞这类危险情况。目前,Edwards Sapien 3球扩瓣已正式进入我国市场,也是我国目前唯一一款球囊扩张式瓣膜,无论是在既往临床实践还是上述病例之中,该款瓣膜均展现出了极佳的临床应用疗效,相信在未来,该款瓣膜还将为更多的主动脉瓣狭窄病患带来福音!#心血管# #关注心血管# #TAVR手术# #微创主动脉瓣置换手术#