“体检时候医生说我右侧乳腺有钙化,是癌吗?”
“我一个朋友前两天刚查出来乳腺癌,之前一直没啥不适啊?真吓人,我也想查查”
“我双侧乳腺怎么那么多硬疙瘩,早知道现在这样,年轻时候为什么要隆胸…”
“最近双侧乳腺都胀痛的很,医生你帮我看看是不是得癌了…”

每一位女性朋友都带着自己的原因来做乳腺钼靶检查,最近问题最多的,就是乳腺里的钙化灶。节前的一个工作日上午,一位老杨的头条号女粉丝来找到老杨:“我同事刚做了乳腺钼靶,医生说她乳腺有很多钙化,建议手术呢,我也有钙化,为啥医生说我的没事呢?麻烦您帮我看看,她是不是给我误诊了呢?”
乳腺钙化究竟是否有那么可怕呢?
钙化可单独存在,也可位于肿块内。现在乳腺肿瘤诊断最常用的手段为乳腺钼靶摄影, 乳腺钼靶能够提高微小钙化的检出率, 通过鉴别乳腺钙化灶的形态与分布,可以协助诊断乳腺的良性病变与恶性病变。对于大多数临床隐性乳腺癌而言,X线上多依据钙化而做出诊断。
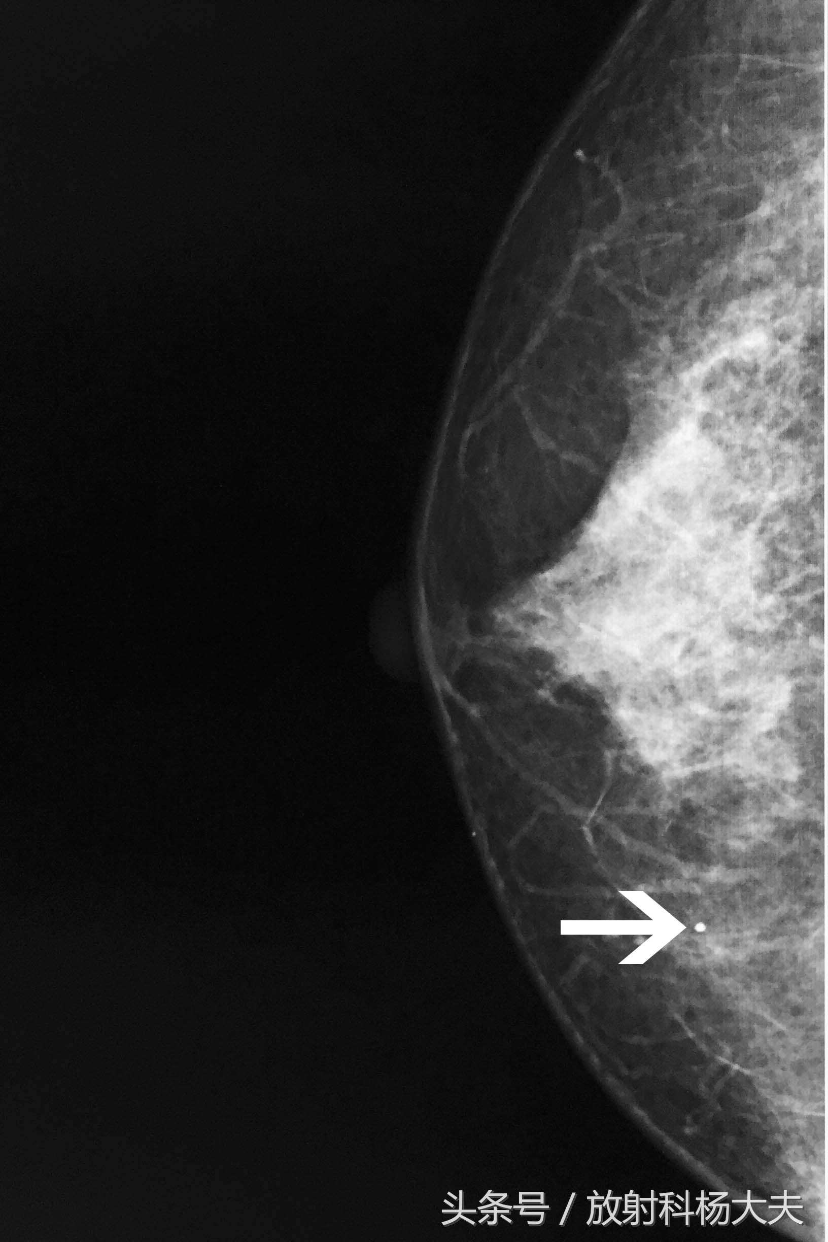
老杨接过女粉丝手里的片子,片子里的钙化是这样的(图一):

而她朋友的片子是这样的(图二):

乳腺良、恶性病变均可出现钙化。
通常,良性钙化多较粗大,形态可成颗粒状、爆米花样、粗杆状、蛋壳状、新月形或环形,密度较高,分布比较分散;如上图 1。
而恶性钙化形态多呈细小砂粒状、线样或线样分支状,大小不等,浓淡不一,常密集成簇或呈线性走行及段性分布。如上图 2。除了钙化本身,还要看钙化伴随的肿块有无,肿块形态等等。
如上所述:这位女粉丝的乳腺钼靶图像中可见一枚粗大点状钙化灶,密度较高,这种多为良性钙化,而她朋友的钙化则倾向于恶性,大小不等、浓淡不一、密集成簇分布,这种情况则需积极治疗了。
但请一定注意,对乳腺钼靶片子的阅读,需要放射科医师经过专门训练的,因此,拿到片子后不要轻易试图自己去看。
一分钟教你“读懂”乳腺钼靶报告:
所以说,乳腺钙化并不等同于乳腺癌,当乳腺钼靶报告中出现“钙化”字样,则可直接去找后边紧挨着的BI-RADS 分级:如果BI-RADS 分级为2级,则说明您的钙化是良性的,如果BI-RADS 分级为4级,就要注意了,说明此钙化形态、密度及分布倾向恶性,需进一步处理了,一定要积极配合临床医生诊治。
(注:本头条号多次写过关于乳腺报告中BI-RADS相关内容,欲了解详细可查阅以前文章,或在后面提问)
(文 包岩)