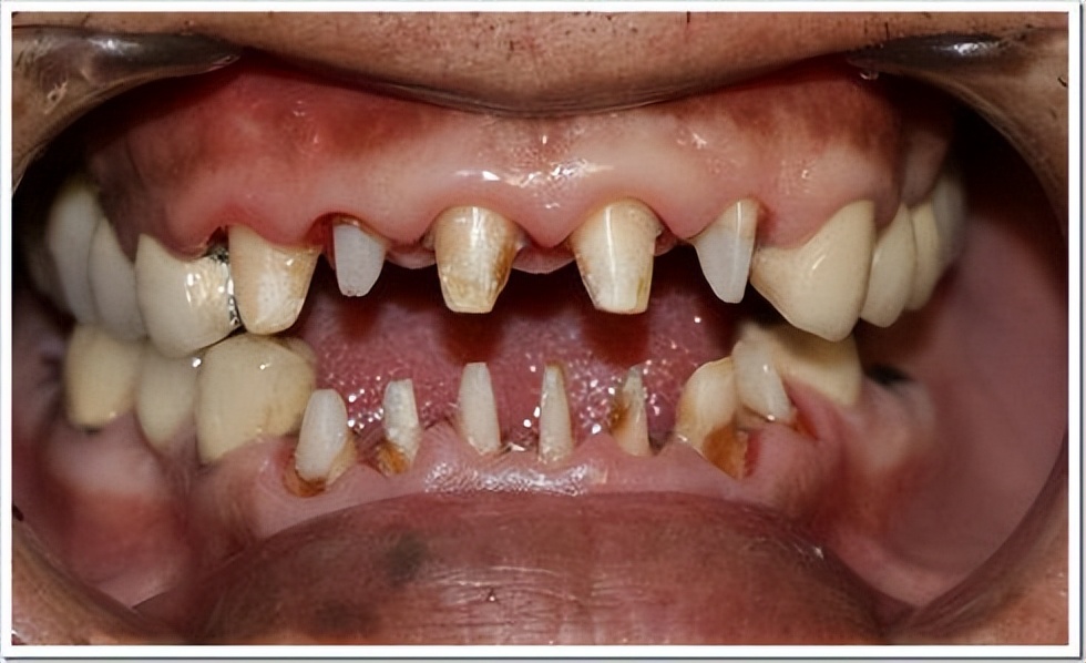
佩戴假牙套后,里面的真牙根疼痛是怎么回事?
一般情况下,如果是刚佩戴上牙冠,经过咬合后,牙根出现疼痛,就要警惕是否没有调整好亚冠高度。
如果是佩戴一段时间时间,发现真牙牙根疼痛,那么就要警惕是不是出现牙根发现,如果是做了根管治理后戴冠的,还要考虑是不是因为根管治疗没有做彻底,有出现炎症。
以上这些情况,都建议大家要及早返回医院 重新调磨牙冠或者拆冠重新治疗。

做了牙冠修复,这几点要注意
1、选择正规医院、专业医生
正规的医院和专业的医生才能更大程度保证修复后能够安全长久地使用。
2、避免咬食硬物
虽说牙齿修复好了,但是也要注意不要咬食过硬食物,避免牙冠、牙根崩裂。

3、注意清洁
为避免出现基牙龋坏等问题,建议日常做好,饭后使用牙线清洁牙齿间隙的食物残渣以及刷牙等口腔清洁工作。
比连桥冠更好的缺牙修复方式是这个
如果你是因为缺牙才去进行连桥冠修复的话,其实更建议大家用种植牙的方式去修复缺牙。因为种植牙不需要磨除健康的牙体组织,只需要在缺牙处植入植体,佩戴基台和牙冠即可。
