【 大河报·大河客户端 记者 林辉 通讯员 王晨 】
期望孩子平安健康快乐成长,是每个家庭的殷切期望。但是,安阳的郝先生一家只为祈求孩子平安,却最终让孩子被推上了手术台,这究竟是怎么一回事呢?
2018年底,郝先生喜得千金,看着孩子活泼劲,家里老人们更是喜欢的不得了,为祈求孩子能够健康平安成长,家里人将一颗小葫芦用别针别在了宝宝的衣服上,希望福气一直伴随着孩子成长。而恰恰是这样一个看似疼爱的小举动,却埋上了危险的种子。
2019年4月13日,孩子妈妈在给孩子换衣服的时候,君君乘家人不注意,将别针给吞了下去。孩子母亲在找别针的时候怎么也找不到,吓得直冒冷汗,当时就怀疑是不是孩子把别针给吞了。

孩子妈妈立即将孩子送往当地医院进行检查,结果出来后,一家人直接懵了,别针确实是被孩子吞了进去,但当地并没有取出设备。医生建议将孩子送往河南省儿童医院接受治疗。
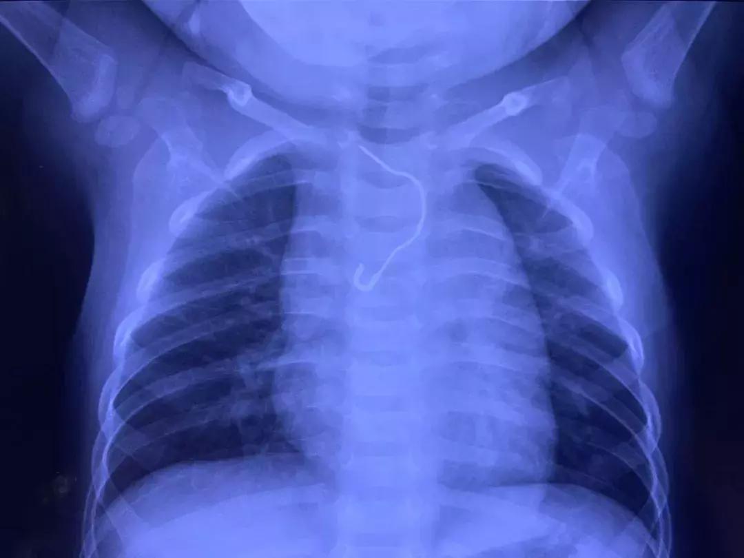
到达河南省儿童医院后,耳鼻喉科医师张红询问完病史后,立即向医院手术部申请急诊手术,为孩子取针。
河南省儿童医院耳鼻喉科专家姜岚介绍:“由于孩子年纪太小,食管细小脆弱,别针卡住的位置又比较特殊,手术的难度大、风险高。滞留的别针一旦刺伤血管,很有可能发生大出血等险情危及生命。”
为确保孩子万无一失,耳鼻喉科制定了两手准备,如果术中确实无法取出,就立即为孩子实施开胸手术。

下午4点30分,手术开始。姜岚与张红共同为孩子实施异物取出手术,姜岚将食管镜置入后,果然在食道1/3处“捕捉”到了别针。
最为危险的是,针头已经扎入在食道粘膜内。如果不能及时取出,随着食管和内脏的不断蠕动,别针很有可能刺穿胸壁造成食道穿孔、食管瘘,进而导致胸膜炎、败血症、感染性休克,甚至危及生命。
姜岚先用一个钳子将别针沿着食道纵轴方向向下推,充分暴露出扎入食道的针尖。
针尖露出后,她再用另一个钳子将其包裹、夹紧,纳入食管镜的管道内,避免它划伤其他部位,然后小心翼翼将它拉出来。
术中的精细操作,使孩子避免了开胸之苦,也将伤害程度将至最低。
通过在外科监护室的观察,孩子已经转出到普通病房。
孩子异物伤害多,家长需谨记
孩子们误吞的东西五花八门,花生,瓜子、硬币、纽扣、发卡、玩具零件等都是经常在临床中见到。
以下小盒里装的东西都是从宝宝身体里取出来的,大家来找找,你认识几样?




姜岚介绍:“为避免儿童吞食异物,硬币、纽扣等小物件需妥善放置,尤其是家中有1-3岁宝宝的家庭,家长尤其需要注意。如果吞食异物较大,或是尖锐、有毒、腐蚀类的物品,千万不要自行处理,一定要马上到医院就诊。”