
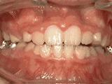
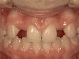
很多牙齿不齐的人都想矫正牙齿,但是对矫正这项技术却又抱着各种怀疑,下面就来通过动画演示观看一下10种歪牙暴牙的矫正过程吧~
第一种:
前牙移位,因为有牙齿缺失,导致相邻牙齿开始没有秩序的前突,经过矫正后是变成这样的~

第二种:
前牙移位,因为有牙齿缺失,导致相邻牙齿开始没有秩序的左右移动,经过矫正后是变成这样的~

第三种:
前牙移位,因为有牙齿缺失,导致相邻牙齿开始没有秩序的乱移动,经过矫正后是变成这样的~

第四种:
牙列拥挤,牙槽骨过窄,牙齿没有足够空间,只好前后左右高低上下乱长,经过矫正后的牙齿是这样的~

第五种:
前牙开合,即使闭嘴,上下牙齿也不接触,留出空隙,经过矫正后的牙齿是这样的~

第六种:
深覆合,咬牙时,上牙盖住下牙的部位过多,影响美观,经过矫正的牙齿是这样的~

第七种:
牙列稀疏,牙槽骨过长,或者牙齿少,导致排列太宽松,零零散散,经过矫正后的是这样的~

第八种:
前牙反合,俗称“地包天”,也就是咬牙时,下牙盖住上牙,正常情况应该是上牙盖住下牙,经过矫正后的牙齿可以变成这样的~

第九种:
牙列稀疏,牙槽骨过长,或者牙齿少,光头强就是这类。导致排列太宽松,零零散散,经过矫正后的是这样的~

第十种:
深覆盖,咬牙时,上牙差不多完全把下牙挡住了,黄飞鸿的弟子牙擦苏就是这类,经过矫正后的牙齿是这样的~

是不是很直观?看了这些图想要矫正的朋友是不是就安心了?