一 一般资料
1)鞠某某 男,57岁,因“咳嗽、痰中带血4天,发热半天”于2021年5月25日而入院;
2)既往体健,否认家族史;
3)吸烟30余年;
二 相关检查
1)三大常规、血生化、ECG、心脏彩超、骨扫描及头部MRI均大致正常。
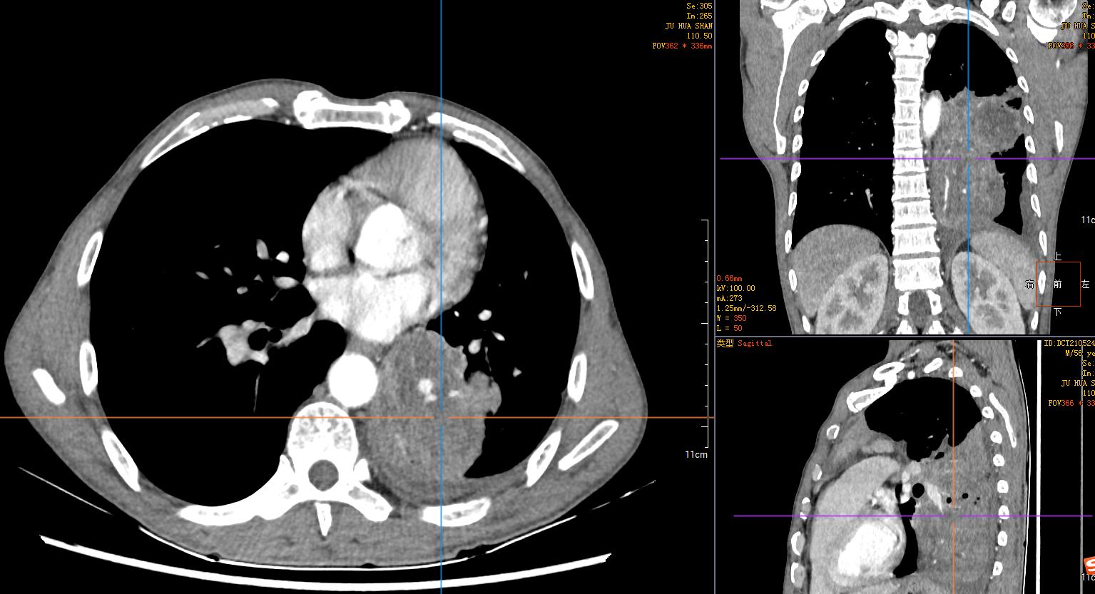
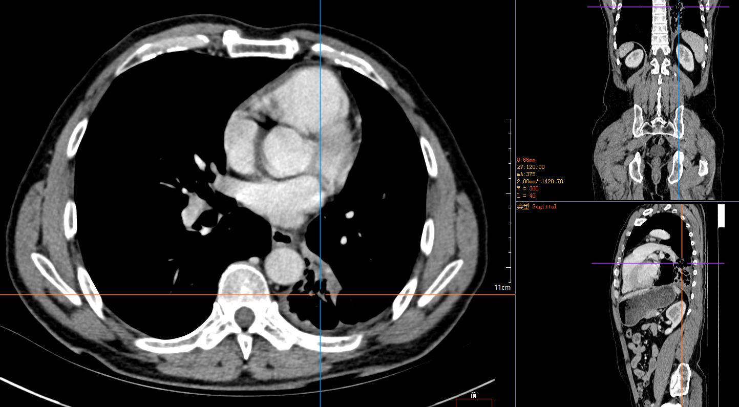
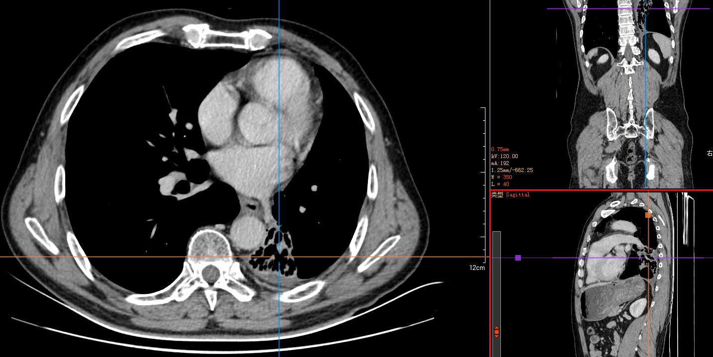
2)胸腹部平扫+增强CT示:左肺占位性肿块伴阻塞性肺不张,纵膈淋巴结肿大,建议穿刺活检。左肺动脉分支动脉瘤;右肾小错构瘤可能;双侧股骨颈小滑膜疝。

3)2021-06-01 行支气管镜检查,病检如下图:

患者因经济情况未行基因检测及PD-1/PD-L1检测。
三 治疗经过
2121.06.17-2021.08.19 紫杉醇脂质体+顺铂+信迪利单抗×4周期
疗效评价:PR

2021.09.09-2021.09.29 紫杉醇脂质体+信迪利单抗×2周期
疗效评价:PR

2021.11.2行局部放疗:PTV:60GY/30F
疗效评价:PR
2021.12-至今 信迪利单抗 200mg d1 Q3W
治疗副反应:无。

四 总结
在免疫治疗时代,肺癌放疗的作用进一步提升。对于III期不可切除的非小细胞肺癌(NSCLC)患者既往标准治疗是同步放化疗,但疗效有限。PACIFIC研究旨在评估III期不可切除NSCLC同步放化疗后行度伐利尤单抗巩固治疗的疗效。2017年PACIFIC研究初步结果的公布彻底改写了局晚期NSCLC的临床实践,2021 ASCO年会上更新的5年最新生存数据再次证实了PACIFIC方案强大持久的总生存(OS)及无进展生存(PFS)获益。PACIFIC研究对于不可切除III期NSCLC患者的治疗而言是一个突破性的进展,局部晚期NSCLC同步放化疗后进行免疫巩固治疗各大指南推荐的标准治疗模式。基于PACIFIC研究的突破性成果,多个同步放化疗联合PD-1单抗巩固治疗III期不可切除NSCLC的临床研究陆续开展,也取得了不错的疗效。
免疫同步放化疗的模式也正在如火如荼的探索中,II期DETERRED研究评估了阿替利珠单抗联合同步放化疗治疗局部晚期NSCLC的安全性和疗效。研究结果显示,序贯免疫组中位PFS为18.6个月,中位OS为22.8个月;同步免疫组中位PFS为13.2个月;中位OS尚未达到,两组整体安全性相似,阿替利珠单抗同步放化疗较对照组未增加毒性。另一项II期KEYNOTE-799研究评估了帕博利珠单抗联合同步放化疗治疗III期不可切除NSCLC的安全性和疗效,研究分为队列A(鳞癌+非鳞癌)及队列B(仅非鳞癌),治疗过程分三阶段进行,第一周期为化疗+免疫,3周后行第二、三周期化疗+免疫+放疗(其中队列A化疗由3周疗法改为周疗法),随后两队列均接受免疫维持治疗满17个周期。2021 ASCO年会上公布的研究结果显示,队列A的客观缓解率(ORR)为70.5%,队列B为70.6%;两队列的1年PFS率分别为67.7%和65.2%;1年OS率分别为81.2%和88%。两队列3-5级治疗相关不良事件(AE)发生率分别为64.3%和50.0%。该研究表明,帕博利珠单抗联合同步放化疗疗效较好,且疗效与PD-L1和病理类型不相关,毒性符合预期。
放疗联合免疫治疗面临的挑战非常多,主要在于放疗联合免疫治疗需要克服诸多影响因素。在联合免疫治疗的过程中,放疗技术、放疗剂量、分割方式、照射部位、放疗体积、免疫治疗的介入点、免疫药物的选择以及疾病/患者等等问题都需要更充分的临床试验数据论证,道阻且长,行则将至。