患者高XX,男,51岁。主因发作性左上肢无力半年入院。既往“高血压病”史3年,血压最高达220/140mmHg。“脑梗死”病史半年。查体:Bp 127/86mmHg 神清,语利。双瞳孔正大等圆,对光反射灵敏。鼻唇沟对称,伸舌居中。四肢肌力5级,肌张力正常。双侧Babinski's征(-)。
辅助检查:
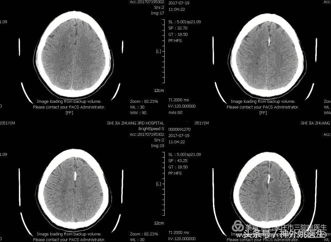
1.头CT:右额顶叶腔隙性脑梗死(图1)。

图1
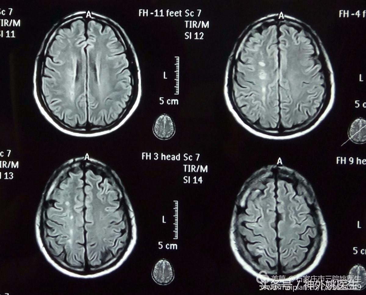
2.头MRI: Flair像示右额顶叶缺血灶(图2)。

图2
3.颈部MRA:右侧颈内动脉起始部重度狭窄(图3)。

图3
4.颈动脉彩超: 右侧颈内动脉起始部斑块,管腔重度狭窄(70%-99%)(图4、图5)。

图4

图5
入院诊断:
1.右颈内动脉起始部重度狭窄
2.右额顶叶陈旧性脑梗死
3.3级高血压 很高危
治疗策略:
1.口服辛伐他汀,稳定斑块。
2.口服阿司匹林,抗血小板治疗。
3.调整降压药,稳定血压。
4.尽早行右侧颈内动脉内膜切除术。
手术适应证:
1.患者有左侧肢体无力症状。头MRI所示颅内缺血灶与该症状存在定位关系。
2.颈动脉彩超显示右侧颈内动脉重度狭窄(>70%);颈部MRA也显示右侧颈内动脉起始部重度狭窄。狭窄与患者的颅内缺血灶及肢体症状有因果关系。
3.尽管影像学检查提示患者为陈旧性脑梗死,且梗死面积不大。但患者肢体症状反复发作,说明患者目前右侧颈内动脉的供血区仍有灌注不足。因此应该尽早行颈内动脉内膜切除术。
术前评估(DSA):
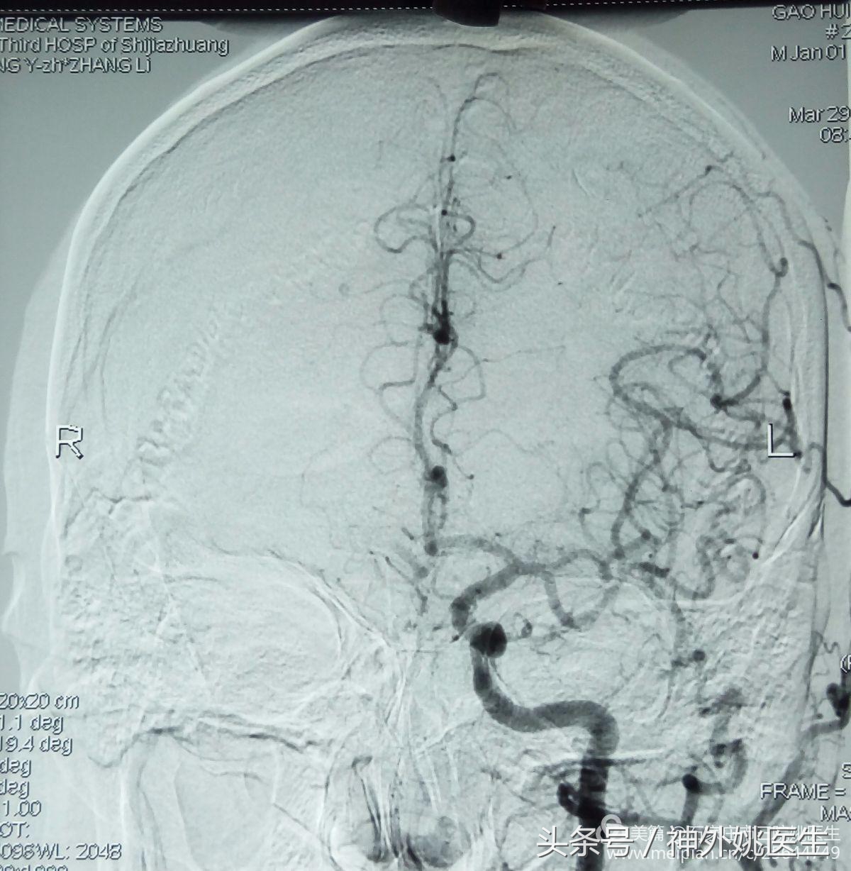
1.右颈动脉造影示:右颈内动脉狭窄部位位于球部以远,狭窄远端管腔明显变细(图6、图7)。狭窄段远端平下颌角及C2/3椎间盘水平(图8)。提示位置较高,操作难度较大。缝合时需精细操作,避免管径丢失,术后管腔狭窄。

图6

图7

(图8)
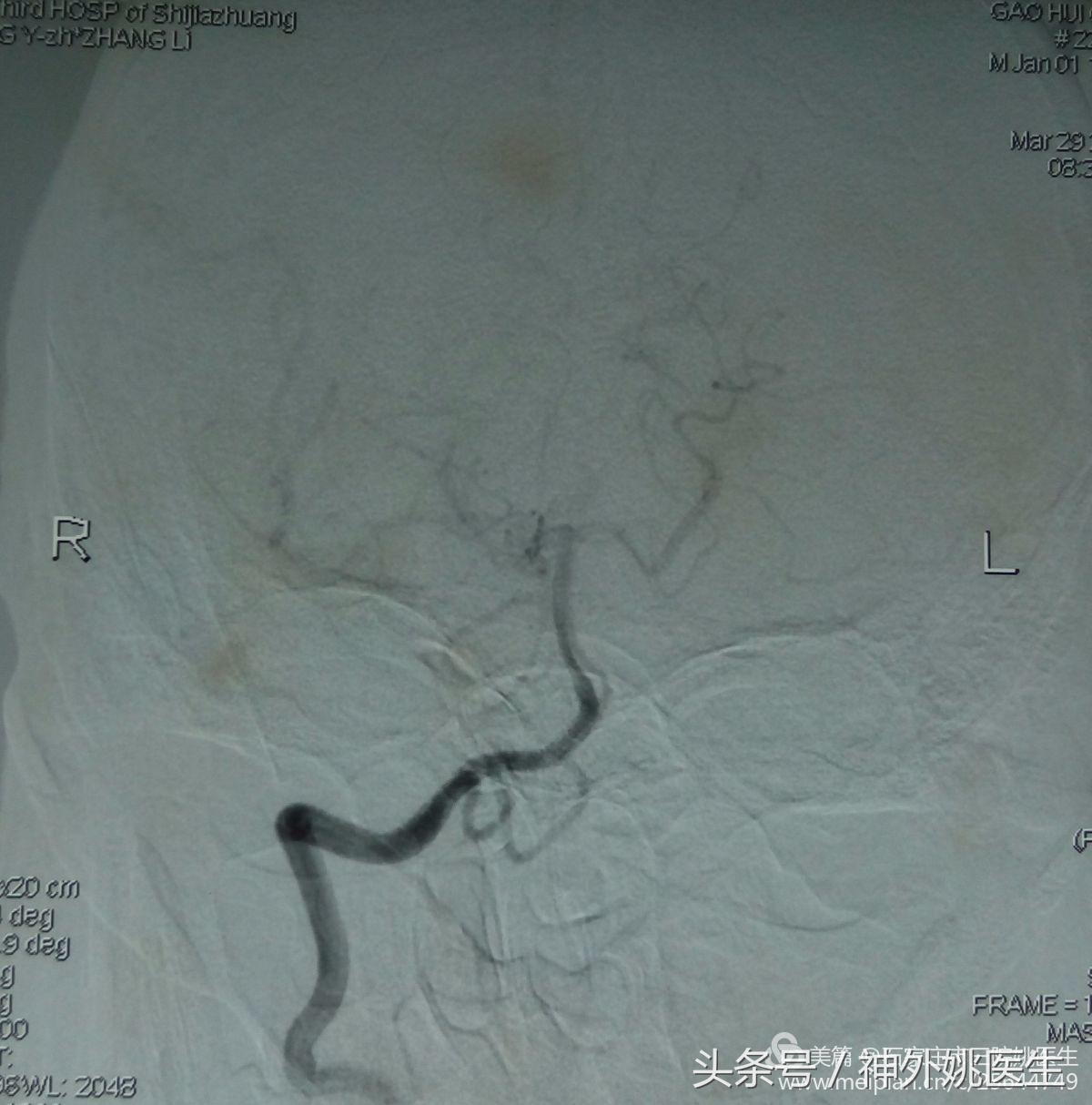
2.右颈内动脉颅内段造影示:右大脑前动脉不显(图9)。

图(9)
3.左颈动脉造影示:左颈内动脉起始部轻度狭窄(图10)。

图10
4.左颈内动脉颅内段造影示:左侧大脑前动脉A1段供应双侧A2,前交通动脉开放(图11)。

(图11)
5.椎动脉颅内段造影示:右侧大脑中动脉供血区显影,提示后交通动脉开放(图12)。

(图12)
术中监测:

图13
(超声科 王运涛执行)
手术过程:
1.显露颈动脉球部,标记颈总动脉、颈内动脉(红)、颈外动脉(蓝)、甲状腺上动脉及舌下神经(黄)(图14)。

图14
2.用剥离子剥离增厚的内膜(图15)。

图15
3.完整剥离内膜斑块(图16)。

图16
4.严密缝合动脉切口(图17)。

图17

图18 切除的动脉斑块,部分管腔几乎闭塞。
手术疗效:
1.术中TCD即时评价:
视频加载中...
视频显示:术中颈动脉血流再通后,TCD监测显示右侧大脑中动脉血流明显改善。
2.术后颈部CTA(图19):

图19 颈内动脉起始部狭窄消失,管径恢复正常。
3.患者临床表现:
左侧肢体无力症状消失,自觉头脑反应较前敏捷,视物更加清晰。