对于牙缝怪异看法,世界各有不同。
正如西方各国,早前那里的人们并不觉得大牙缝算什么问题,甚至还把大牙缝视为幸运和美丽的象征。

麦当娜的魅力想必不用小编多言吧?
了解香奈儿的朋友,或许也认识楼下的这位。

对,她正是90年代初代言香奈儿的凡妮莎·帕拉迪丝。在法国人眼里,她的牙缝,象征着是浪漫、自由,是一种法国精神的缩影。
此外,在欧洲还流传一种说法。
早在1803年—1815年也就是拿破仑战争时期,那时候的*器武**限制士兵必须双手托枪,所以在更换*药弹**的时候就必须用牙齿把*药弹**包咬断,故而一副结实的门牙便成了士兵的标配。
反之,如果牙齿不够硬实,是不允许上战场的,所以这些大牙缝的人也被认为是幸运的。

另外,在很多非洲国家对大牙缝又有一种奇葩的说法。
他们认为牙缝象征着生育能力,这就好比国人口中常念叨的“屁股大,好生养”是一个道理。
所谓牙缝,自然指的是牙与牙之间的间隙,所以又被人称之为牙间隙,其实每个人的牙齿都存在牙缝,只是正常的牙缝都被牙龈组织包裹着。
之所以会觉得牙缝大,是因为牙龈乳头已经不能完美的填充牙与牙之间的间隙。当然,造成牙缝过大的因素较多,下面我们来了解一下大牙缝的由来。

牙缝的由来
说到牙缝的开始,最早要追溯到宝宝刚长牙的时候。
刚萌出乳牙的宝宝,通常都存在较为严重的牙间隙,有的可能空了半个牙位,有的还呈现八字的形状两头生长。

首先可以肯定的是一般情况下,这是不需要矫正治疗的。
恒牙的萌出有一定的时间顺序,上颌的门牙萌出时间通常是6-9岁,而门牙边上的牙齿通常为7-11岁。
因为牙齿生长的时间不同,牙与牙之间势必会出现间隙,我们把这种现象叫做生理间隙。
其实这种情况更有利于后期恒牙的正常萌出,所以我们通常不建议在这个时候做矫正。
当然,如果出了意外,孩子到12~13岁恒牙还是长得不整齐,可以视情况再行处理也不迟。
唇系带过低
这个问题多出现在上唇。
由于唇系带退缩不正常,孩子长牙后唇系带的位置仍然很低,就可能使得门牙中间留有一道大缝隙。

换牙期间,家长如果发现孩子的唇系带还是很粗大且水平很低,可千万要格外重视!
牙位异常(多生牙)
这些情况通常都是容易辨认,一经发现还是尽早前往正规的口腔医院处理一下。

此外,部分小朋友的乳牙没能按时下岗,从而导致牙缝变大,严重甚至还会使得恒牙不能正常萌出。
如何鉴别以上问题?
一方面是细心,再则是学习。
也就是说家长首先要熟悉口腔常识,且能认真的定时检查孩子的口腔情况。当然,如果家长实在没有把握还是老老实实让孩子定期去牙科医院给专业医生看看。
牙龈萎缩
牙龈萎缩通常存在成人身上,萎缩的源头是因为牙龈乳头长期出现炎症,从而引起各类口腔疾病。

对这些病症置之不理,更容易使得牙龈乳头无下限的降低、降低、再降低,这时候出现缝隙还是轻的,严重的还会直接导致牙齿脱落。
牙齿病变
所谓得了灰指甲,一个传染两。
只要有一颗牙齿出现龋坏现象,就很可能影响到相邻的牙齿,从而使得两颗牙之间形成间隙。

牙列畸形
牙列畸形会随着时间变得愈发严重。
譬如,牙齿原本就存在倾斜的状态,后期因为无数次的咬合使得牙齿倾斜程度越发严重,从而导致牙齿的缝隙也越来越大。

除了以上情况,还有一些牙缝通常很难避免。
比如先天性的牙齿小↓

先天性的牙缺失↓

还有长歪了的智齿等等……

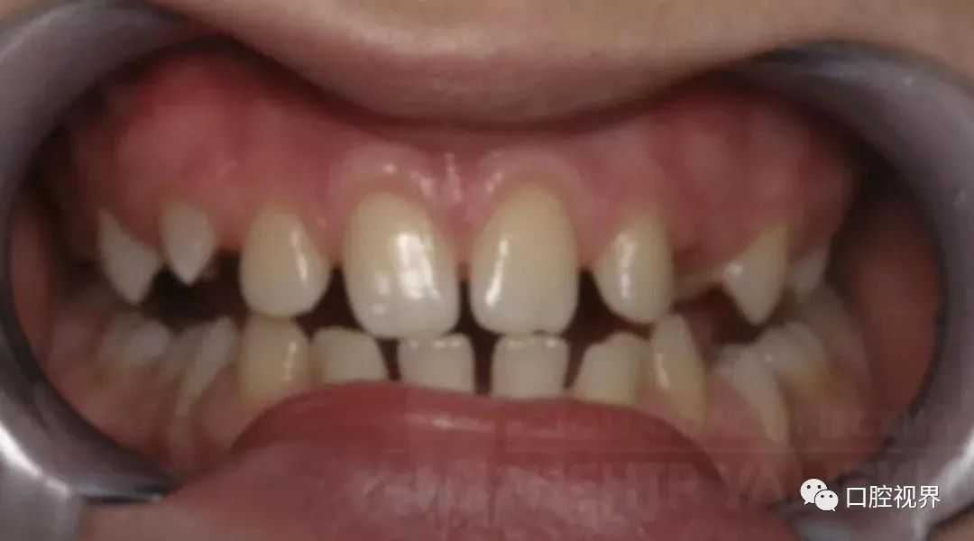
牙缝过大的危害
在这个颜值大于天的时代,很多人把颜值看作生命。而牙缝过大势必影响到患者的颜值……

牙缝过大还会直接影响到患者的健康问题。
很多朋友反应,随着年龄渐长,牙齿比以前更容易嵌塞食物。
对,牙缝增大会让残渣很难清理,哪怕你如何认真刷牙也难够不着缝隙里的东西。

随即,一连串的多米诺效应就来了,当食物残渣残留过久,引发各类口腔疾病口臭、牙结石,便蜂拥而至……
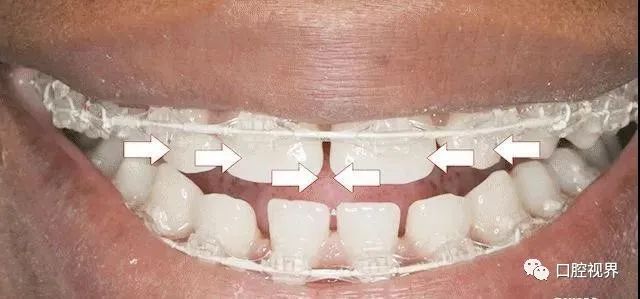
如何解决牙缝大的问题?
早些年,大多都推荐使用牙套,简单快捷,唯一的缺点就是价格稍稍贵点,量力而行吧各位!
此外,贴面修复、烤瓷牙等方法等都可以缓解牙缝过大的问题。(再次强调,不推荐全瓷牙修复,因为那样会损失大量真实牙体,当卸下牙冠你会发现牙缝好像更大了……)

每个人都是独立的个体,所以每个人的具体情况也各不相同,具体问题还得具体分析,如果你需要解决牙缝太大的问题,还得上医院让医生给你好好看看。
文章底部可评论留言,大家可以一起来互动啦~!把你想说的和想问的写下来吧!