对大多数的人来说
去医院洁牙时
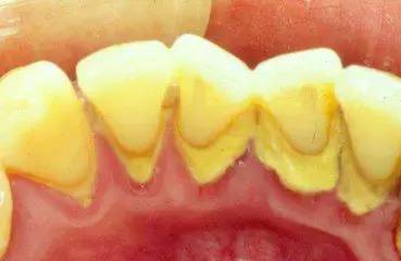
牙齿上的牙菌斑基本上已发展成为了牙结石
而牙结石最容易沉积的部位就是下前牙的舌侧和上后牙的颊侧

请点击此处输入图片描述
定期洁牙的人也会有不同程度的牙结石堆积
间隔的时间越长
堆积的牙结石就会越来越厚越大
(▼此处配实图一张)

请点击此处输入图片描述
那么,牙结石会不会自己脱落呢?
一般不会自行掉落
但是有些人牙结石过多时
部分也可能会松脱下来
但牙结石导致的牙龈炎或者牙周炎
绝对不会自行消除
千万不要以为会象感冒一样不治自愈的
值得注意的是
如果堆积的牙结石没有及时去除
面积会越来越大
并朝着牙龈下发展
导致牙龈炎症
牙龈炎症会引起牙龈肿痛
这种肿痛感就像皮肤被针刺一样

请点击此处输入图片描述
那么
为什么会出现牙结石这种东西呢?
让我们慢慢来分析一下牙结石的形成过程以及其对口腔的伤害……
▼

请点击此处输入图片描述
谜底揭开
1、牙菌斑→→→牙结石
牙菌斑是口腔内经细菌为主体,非常稠密且很薄的透明薄膜,牙菌斑形成极快,把牙齿刷干净,过几小时,牙齿上很快就形成薄薄的一层膜,细菌很快在上面发育滋生,当细菌越来越多,牙菌斑就开始形成了。牙菌斑矿化后形成牙结石。

请点击此处输入图片描述
2、牙结石→→→牙龈炎
牙石表面总是覆盖一层牙菌斑,牙菌斑内的细菌大量繁殖和产生毒素。而且细菌分解食物残渣,也产生有害物质,这毒素和有害物质是病原体,破坏牙龈组织,产生牙龈炎,出现牙龈红肿,刷牙时容易出血,严重时咬馒头或吃水果时也会引起出血,在食物上留有血印。
3、牙龈炎→→→牙周炎
牙龈炎继续发展,侵及深层的牙周组织,可发展为牙周炎,症状:牙龈红肿、溢脓、牙槽骨吸收、牙齿松动和移位。

请点击此处输入图片描述
如果一个人只有牙龈上的结石
没有牙槽骨吸收的现象
此时只需要常规的洁牙
但是
当牙龈下存在的牙结石
或有牙槽骨吸收迹象时
常规洁牙往往无法清除牙龈下的结石
此时需要进行牙周刮治了
牙槽骨一旦吸收很难再生
所以
还是定期洗牙比较好
定期洗牙好处多
不但可以预防更严重的牙周病
也可以节省一笔治疗费用啊
-----