肝炎性假瘤彩超表现 (肝炎性假瘤发展快吗)

肝炎性假瘤鉴别诊断,肝炎性假瘤影像学表现

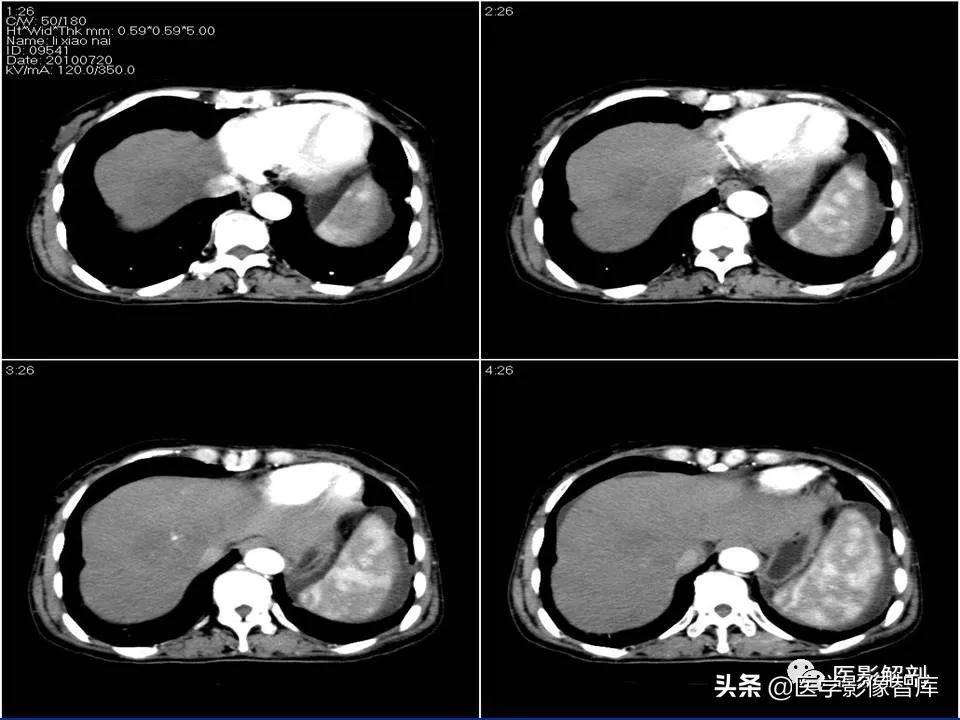
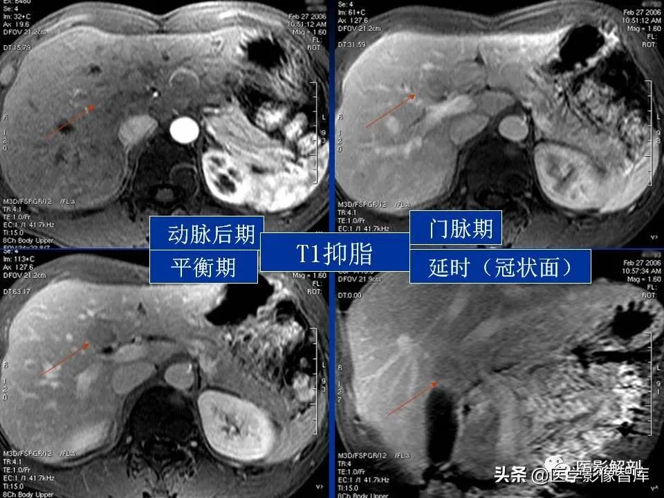
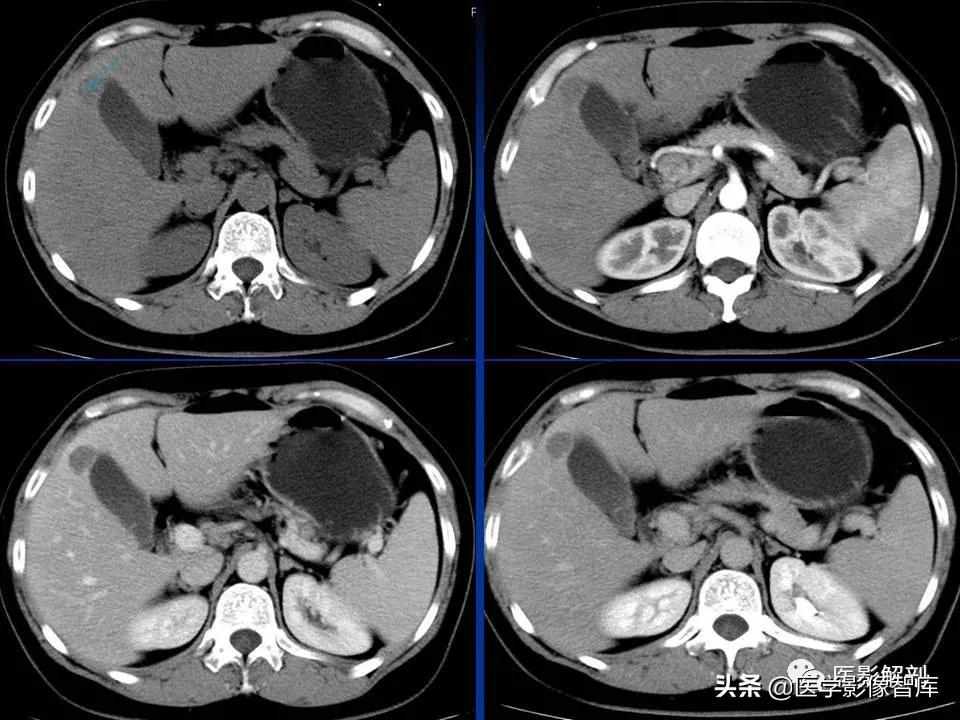
肝炎性假瘤鉴别诊断,肝炎性假瘤影像学表现

感谢徐莉莉主任精彩授课!

肝炎性假瘤鉴别诊断,肝炎性假瘤影像学表现

肝炎性假瘤鉴别诊断,肝炎性假瘤影像学表现

肝炎性假瘤鉴别诊断,肝炎性假瘤影像学表现

肝炎性假瘤鉴别诊断,肝炎性假瘤影像学表现

肝炎性假瘤鉴别诊断,肝炎性假瘤影像学表现

肝炎性假瘤鉴别诊断,肝炎性假瘤影像学表现

肝炎性假瘤鉴别诊断,肝炎性假瘤影像学表现

肝炎性假瘤鉴别诊断,肝炎性假瘤影像学表现

肝炎性假瘤鉴别诊断,肝炎性假瘤影像学表现

肝炎性假瘤鉴别诊断,肝炎性假瘤影像学表现

肝炎性假瘤鉴别诊断,肝炎性假瘤影像学表现

肝炎性假瘤鉴别诊断,肝炎性假瘤影像学表现

肝炎性假瘤鉴别诊断,肝炎性假瘤影像学表现

肝炎性假瘤鉴别诊断,肝炎性假瘤影像学表现

肝炎性假瘤鉴别诊断,肝炎性假瘤影像学表现

肝炎性假瘤鉴别诊断,肝炎性假瘤影像学表现

肝炎性假瘤鉴别诊断,肝炎性假瘤影像学表现

肝炎性假瘤鉴别诊断,肝炎性假瘤影像学表现

肝炎性假瘤鉴别诊断,肝炎性假瘤影像学表现

肝炎性假瘤鉴别诊断,肝炎性假瘤影像学表现

肝炎性假瘤鉴别诊断,肝炎性假瘤影像学表现

肝炎性假瘤鉴别诊断,肝炎性假瘤影像学表现

肝炎性假瘤鉴别诊断,肝炎性假瘤影像学表现

肝炎性假瘤鉴别诊断,肝炎性假瘤影像学表现

肝炎性假瘤鉴别诊断,肝炎性假瘤影像学表现

肝炎性假瘤鉴别诊断,肝炎性假瘤影像学表现

肝炎性假瘤鉴别诊断,肝炎性假瘤影像学表现

肝炎性假瘤鉴别诊断,肝炎性假瘤影像学表现

肝炎性假瘤鉴别诊断,肝炎性假瘤影像学表现

肝炎性假瘤鉴别诊断,肝炎性假瘤影像学表现

肝炎性假瘤鉴别诊断,肝炎性假瘤影像学表现