猫的多囊肾疾病,需要治疗吗?
多囊肾是一种遗传性肾脏疾病,其病程是属于缓慢进行性且不可逆的肾脏伤害,最终可能会引发肾衰竭。主要发生在波斯猫及其相关品种的猫咪身上。
猫咪在一出生时肾脏内就会有小的囊状水泡,并随着时间而增大,有时肾脏会极度变大而变形,囊状水泡的增大会造成肾脏实质组织的压迫性伤害,使肾脏的功能单位逐渐流失殆尽。患病猫一般在7岁左右时才发生肾衰竭,但也有少数多囊肾患猫没有肾衰竭的表现。
症状
症状跟慢性肾衰竭的症状一样,嗜睡、食欲减轻或厌食、喝水增多、尿量增多、体重减轻、呕吐。
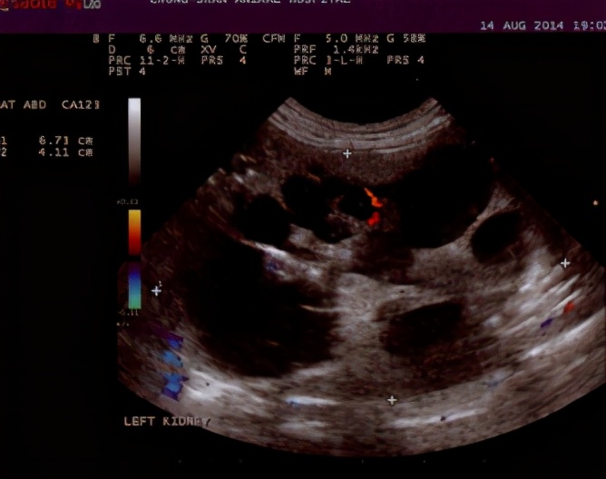
诊断
主要通过腹部B超确诊。大多病例也是在腹部B超体检时发现的。患病猫最快在4周龄就可以通过B超扫描到多囊肾,但此时没有发现囊肿不代表在年龄更大时不会形成囊肿,在10月龄后确诊的准确率高达95%。如果多囊肾没有影响到肾脏外形时,X光检查并不能看出来。

治疗
目前没有治疗方式或药物能减缓多囊肾的病程。猫咪确诊为多囊肾后,在没有出现明显的肾功能损伤或衰竭情况下是不需要治疗的。但患病猫最好一年要有1~2次的定期检查,主要通过腹部B超和肾脏的生化功能检查来跟踪猫咪的身体健康状况。
猫若发生肾衰竭出现脱水、厌食等症状时,需要大量地补液,对症治疗。这时可以给猫咪喂一些肾脏处方粮或肾脏处方罐头。
为了减少多囊肾疾病的发生,患病的猫咪最好不要再进行繁殖。