韩某,男,86岁,1年前体检发现右肺下叶肺结节,复查进展,既往糖尿病、高血压30余年,口服药物控制可。

因患者高龄,基础病多,不适合手术治疗,经充分沟通,拟行氩氦刀冷冻消融术。


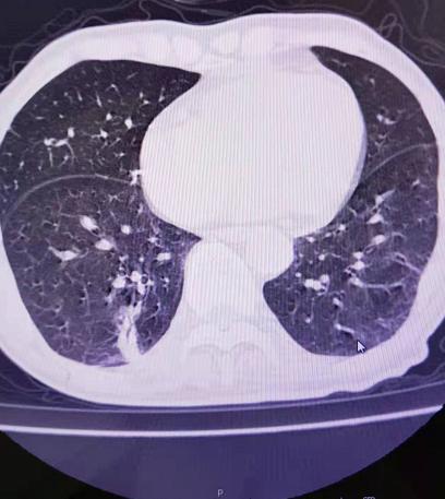
术中经皮局麻下插入氩氦刀冷冻消融针2根,2个循环冷冻后CT可见冷冻范围完全覆盖肺内肿物。术后患者无明显疼痛,观察2天后出院。

术后10天CT复查清晰可见冷冻肺毁损范围,胸腔出现反应性积液。

术后半年复查肺毁损及反应性积液吸收,可见瘢痕残留。
冷冻消融,也就是氩氦刀。是一种新型微创肿瘤局部治疗技术,对于不能手术切除的肝肺结节,有损伤小,治疗方便,痛苦小的优点。其原理见下:

和微波消融一样,首先在CT引导下把穿刺治疗针插入肿瘤所在位置,

通过氩气管道释放-150℃氩气进入治疗针头附近,将肿瘤细胞及周围细胞冻死,形成一个大冰球。然后释放氦气,迅速升温,治疗过程约10分钟,可以从物理上杀灭针尖附近2-3cm的任何细胞。

如果病灶较大,可以多针消融,获得更大的*伤杀**范围。冷冻消融最大的优势是安全,临近重要器官的安全性更高。
