2022年2月7日,在中华骨科网脊柱3群病例讨论群里,有一个病例讨论,内容如下:
————— 2022-02-07 —————
胡满 19:28
马教授!很高兴在这个平台能向各位老师们请教些问题,感谢马教授及各位老师[抱拳],我发个不完全的病例,不妥之处请各位老师多多批评指正,谢谢。
患者,女,76岁,因“腰部疼痛10余年伴右下肢疼痛、麻木一月加重5天。”入院。
患者诉于10余年前无明显诱因出现腰部疼痛,活动时加重,休息时疼痛缓解,当时未予以重视,此后此症状反复发作,一个月前无明显诱因出现右下肢疼痛、麻木,步行约500m后症状剧烈,休息后缓解,于5天前患者腰痛及右下肢疼痛、麻木症状加重,无明显恶心、呕吐、头痛、头昏,无晕厥,无胸闷气促等症状,今为求治疗,来我院就诊,
查体:L4/5/S1棘突压痛,椎旁肌肉压痛,马鞍区无压痛,直腿抬高试验右下肢约70º,右下肢后侧及小腿后外侧疼痛明显,直腿抬高试验左-,加强试验左-,右侧,“4”字征左- 右-,跟腱反射左- 右 -,膝反射左- 右 -,双下肢肌力5级,足趾活动可,
既往高血压病病史20余年,最高血压170/98mmHg,规律口服尼群地平片 5mg qd,自诉血压控制可。












患者腰痛,翻身症状更明显,家属考虑年纪较大,费用诸多原因,不愿意做融合治疗,
我想请教各位老师目前有什么好的办法,近一个月来患者右下肢麻木无力,谢谢老师[抱拳]。腰椎过伸过屈位片明天才有[微笑]。 @西京骨科马真胜 请马老师及各位专家指点迷津,谢谢[抱拳][抱拳][抱拳]
洮河刀客 20:31
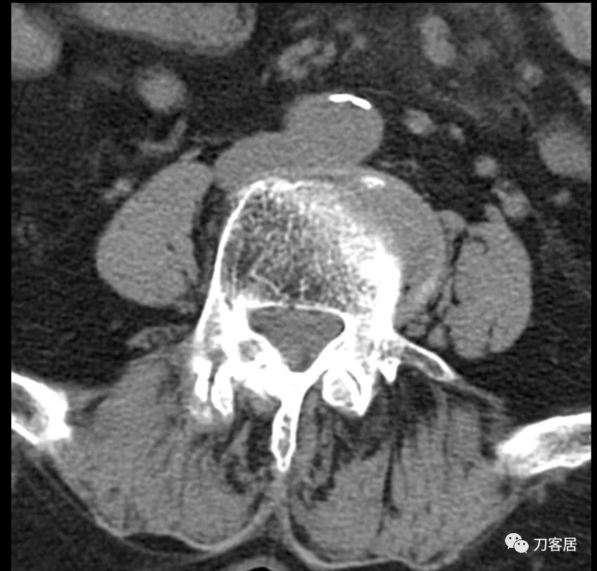
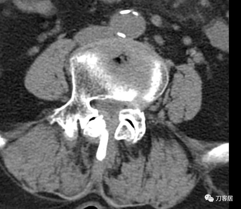
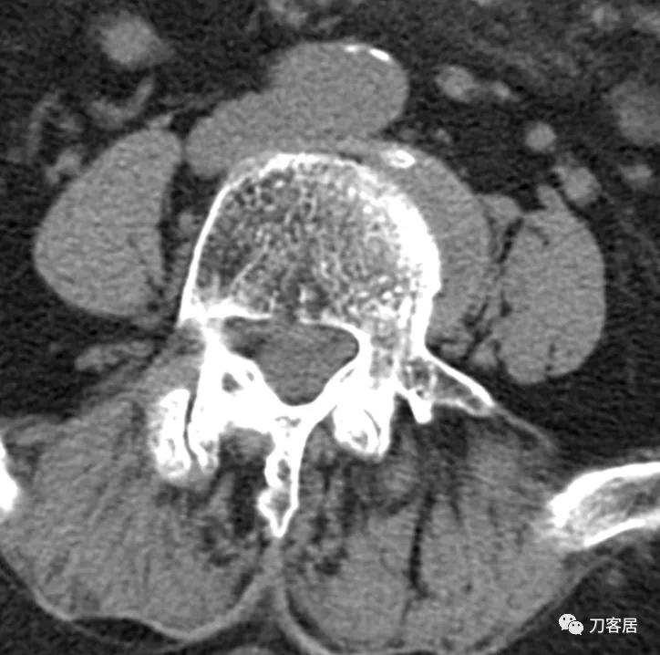
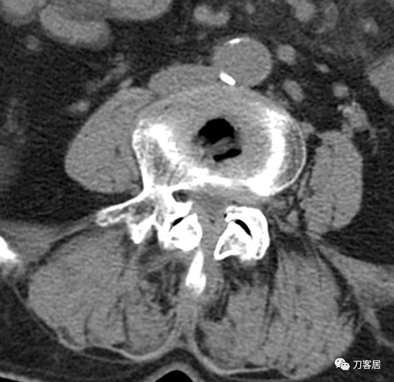
@胡满 如果是我的话,对于这种病例,首先抗骨质疏松治疗半年后再看情况,而且如果患者经济条件可以的话,建议直接使用特立帕肽,因为从患者的X线片来看,骨质疏松严重。患者的腰5滑脱应该是真性滑脱,腰5有峡部裂,腰4滑脱是退变滑脱,腰4-骶1椎管狭窄。但患者的痛苦不一定是椎管狭窄引起的。即使是做手术,患者的骨密度太低,钉子把持力不够。所以,先正规抗骨质疏松半年后再说手术吧。
胡满 20:35
@西京骨科马真胜 谢谢马老师的建议,患者就是经济条件限制[破涕为笑]。患者家里孩子多,但是出钱治病的不多[捂脸],一说融合的大概费用就直摇头[撇嘴]
张西峰原*013院医** 21:06
建议内镜单纯减压微创手术
胡满 21:08
@张西峰原*013院医** 张教授您好,单纯减压腰疼症状能缓解吗[微笑]?
洮河刀客 21:19
@胡满 也许半个月的鲑鱼降钙素,患者的症状就明显缓解了。
非著名骨科医生 21:19
@胡满 可以用便宜点的抗骨松药物啊, 降钙素,骨化三醇和钙片。腰椎骨密度还是建议您做一个。
张西峰原*013院医** 21:25
@西京骨科马真胜 不要抢着做手术,先补钙,症状不缓解,再做来得及。
————— 2022-02-08 —————
洮河刀客 06:14
@张西峰原*013院医** 是的,这个滑脱和椎管狭窄应该是几年甚或十几年,也可能是几十年以上的表现,但症状并没有那么久,手术现在做和过几个月做都是一样的,所以应该给患者以保守治疗的时间,而且这个患者骨质疏松是很明确的,应该正规抗骨质疏松一段时间后再看情况决定下一步如何处理。
胡满 07:13
谢谢各位老师的中肯意见[抱拳] ,@西京骨科马真胜 马老师,后期要是手术有什么好的建议?
洮河刀客 07:28
@胡满 等需要手术的时候再说。如果患者拒绝做融合,就按照张西峰教授的建议,单纯做减压即可,手术方法选择你自己熟悉的技术即可。不管是传统的单纯椎板间开窗还是孔镜技术,都是可以的。但需要给患者讲清楚,且签字的时候让患者家属写清楚拒绝植骨融合内固定。
胡满 07:28
谢谢马教授[抱拳] , @张西峰原*013院医**@张德辉中信中心医院骨科 谢谢[抱拳][抱拳][抱拳]
洮河刀客 07:29
@胡满 不客气。
周伟洋县医院脊柱外科 08:06
@西京骨科马真胜 学习了![抱拳][抱拳][抱拳]
非著名骨科医生 08:40
@西京骨科马真胜@胡满 签字很重要[握手]
胡满 08:43
@张德辉中信中心医院骨科 谢谢张主任[抱拳][抱拳][抱拳]
甘肃省第三人民医院骨科马才英 08:49
@胡满 这样的病例我们也尝试先抗骨质疏松治疗,有部分病例症状确实可以缓解![握手][握手]
胡满 09:00
@马才英甘肃省第三人民医院 谢谢马老师[抱拳]
正好,我在整理我的门诊病历的时候,找到一个相似的门诊病历,不过我的门诊病历内容要比胡满主任的病历资料写得差远了,这点上我得向胡主任学习。不过我的诊断思路可供需要者参考。
患者为69岁,女性, 就诊日期:2021年11月8日。因晨起腰痛2天,就诊当日有缓解。疼痛自腰部放射至大腿后侧。2004-2005年曾有腰椎骨折病史,保守治疗后愈。
腰椎X线片提示腰5峡部裂,腰5椎体前滑脱1度,膝关节X线片提示退变增生,右侧髌股关节增生、狭窄、骨刺形成。骨密度提示骨质疏松,T值最低-3.3。2014年曾换心脏瓣膜手术,长期服用华法林,辅酶Q10, 盐酸曲美他嗪。
查体:跟行、跖行尚可,起跳无受限,下蹲不能,弯腰无受限。




诊断:骨质疏松症,腰5峡部裂,腰5椎体前滑脱1度,双膝关节创伤性关节炎。
治疗:抗骨质疏松治疗,用药:地舒单抗、阿法骨化醇软胶囊和碳酸钙。
