(医患家特约作者:天津医科大学感染病研究所 贾医生)
什么是脑萎缩
脑萎缩通常被分为生理性和病理性两种,生理性脑萎缩是随着人年龄增长,脑细胞功能正常退化、衰变引起的;而病理性脑萎缩多由脑血管病变(如脑梗、脑出血、动脉硬化)、退行性病(如多发性硬化病)、内分泌疾病(如长期患糖尿病、甲亢)、脑外伤等等多种病因引发脑组织受损、体积缩小的疾病。

脑萎缩于临床常见大脑萎缩(记忆力减退、反应迟缓、运动障碍等)、小脑萎缩(共济失调、行动不稳、呛咳、语言组织障碍等)、疾病或创伤后局限性萎缩等。对老年患者来说,脑萎缩是极常见、甚至有必然性的疾病,但我们仍可以通过注重预防与治疗,防止其过早出现或严重影响我们的生活。
脑萎缩与年龄的关系
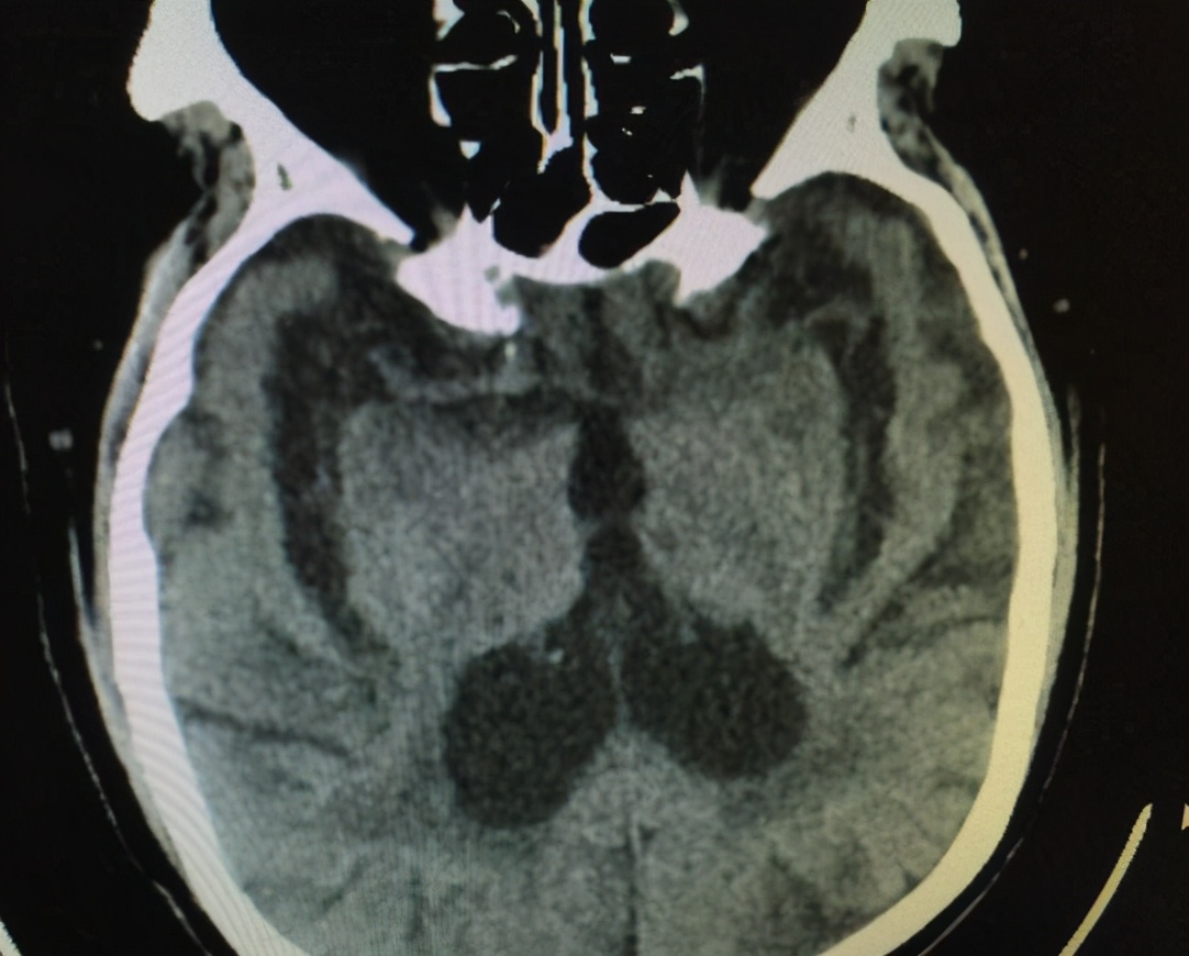
CT检查可直接观察到活体脑组织的结构,从而直观地发现脑组织是否发生了体积减小、脑室增大,帮助判断患者的脑萎缩程度。通过检查结果的研究统计普遍认为,50岁以上人群随年龄增长会出现普遍性脑萎缩,但多为轻度。男性30~40岁阶段较同龄女性发生大脑萎缩的速率更高,可能与内分泌激素差异有关。随着年龄增长,70岁以后人群脑萎缩则更为显著,但总体而言生理性脑萎缩仍属正常范围内。
脑萎缩的防治
根据病史、症状、影像学检查诊断脑萎缩并不困难,但要与其他类似表现的疾病进行鉴别。在排除了如肿瘤、梗塞等严重病理因素后,采取正确的措施防治脑萎缩是有一定效果的。
1、 积极防治血管性疾病与内分泌疾病。目前已知心脑血管疾病(脑梗、反复缺血性卒中、动脉粥样硬化等)与内分泌疾病(如糖尿病、胆固醇代谢异常等)是导致脑萎缩的重要因素之一,因此对以上疾病早发现、早控制,并相应调整生活、饮食方式,同样是预防脑萎缩的积极措施。
2、 适当增加运动。适当增加有氧体育锻炼,有助于增加脑部血液循环。尤其对于早期发现运动障碍的患者,可通过平衡康复训练进行修正。
3、 增加社会活动。增加与人交流、说话表达的机会,以及看书、看剧,经常运转大脑,有利于改善脑部血液循环,延缓脑萎缩进程。
4、 用药干预。目前临床有在治疗原发病的基础上使用一些如增强脑细胞新陈代谢、加强脑部蛋白质合成、促进神经递质转换、增加脑部供血与糖利用等作用的药物,以改善脑部记忆认知与生理功能。但任何药物的使用,一定要在临床确诊后遵医嘱服用,以防延误病情或毒副反应的发生。