心血管病科 云南省中医医院
冬

季
关注你的“心”
冬天来临,心血管病的发病率明显升高。因为气温下降,心血管、脑血管受冷刺激后,血管收缩,血流减缓,再加上出汗少,饮水少,高血压患者血压容易增高,诱发脑出血;强冷刺激也使心肌耗氧量增加,出现急性心肌缺血,血小板也易凝聚,血液黏稠度增大,形成血栓,诱发心梗。上周四(12月7日)天气较冷,云南省中医医院心血管病科连续抢救了2例急性心肌梗死患者。
病例 一
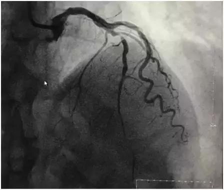
病例1,李大爷今年64岁,平素身体健康,无高血压、糖尿病等病史,平素无吸烟史,由于生在农村,无论严寒酷暑,农活从未停息过,自觉身体很棒,随时笑口常开。近三四天自觉很疲乏,间感胸口隐隐疼痛,轻微活动即感胸痛明显加重,李大爷自认为“感冒”,卧床休息两天或服用点感冒药即可好转,可连续休息两天无好转迹象,入院前一晚(12月6日)夜间4点胸痛症状明显加重,持续不缓解,伴大汗淋漓,呼吸困难。立即送入当地医院,考虑“心梗”,于次日12时转至我院急诊科,我科会诊后诊断“急性心肌梗死”,考虑仍在急诊PCI治疗的时间窗内,立即启动导管室,通过绿色通道,急诊进行冠脉介入。造影显示左前降支近段99%狭窄,次全闭塞。随后予球囊扩张狭窄处,置入支架一枚,血流立即通畅,李大爷胸痛顿时明显缓解,生命体征平稳,转入监护室继续治疗。

术前心电图:广泛前壁心肌梗死

左冠脉造影:前降支中段99%狭窄

术后心电图:窦性心律

前降支中段置入支架一枚

病 例 二
刘奶奶今年62岁,性格开朗,平素无病无疾,在家务农,农闲时帮衬着带孙子。近10多天来常感倦怠,腰膝酸软,胸闷憋气。5天前入住当地医院检查,行冠脉造影排除冠心病,而后出院,在家静养休息。入院前一晚(12月6日)夜间5点胸痛症状再发明显加重,持续不缓解,伴大汗淋漓,呼吸困难,头昏眼花,恶心欲吐。子女连夜驱车送至我院,行心电图检查明确提示急性下壁心肌梗死,三度房室传导阻滞。急查心肌酶明显升高,血钾6.4mmol/L,肌酐偏高。
纳闷!5天前冠脉造影无异常,动脉硬化危险因素也少。什么原因导致胸痛?什么原因导致高钾血症?心血管病科立即予积极的降血钾、升心率等对症处理。同时积极术前准备,等待上述李大爷手术完后立即送入导管室,行冠脉造影检查明确右冠脉中段完全闭塞,闭塞处见血栓影。随后进行PCI术,反复血栓抽吸导管于闭塞处抽吸,抽出大量血栓,复查造影示右冠脉完全通畅,无需进行支架植入。术后心律转为窦性,生命体征平稳。
张奶奶胸痛顿时明显缓解,闻听未植入支架就把血管疏通,她连声道谢,久违的笑容又回到她的脸角。

术前心电图:三度房室传导阻滞

右冠脉造影示:中段完全闭塞

术后心电图:窦性心律

术后右冠脉通畅

血栓抽吸导管抽出的血栓

急性心肌梗死
急性心肌梗死是冠状动脉急性、持续性缺血缺氧所引起的心肌坏死。临床上多有剧烈而持久的胸骨后疼痛,休息及硝酸酯类药物不能完全缓解,伴有血清心肌酶活性增高及进行性心电图变化,可并发心律失常、休克或心力衰竭,常可危及生命。该病发病突然,应及早发现,及早治疗,并加强入院前处理。治疗原则为挽救濒死的心肌,缩小梗死面积,保护心脏功能,及时处理各种并发症。急诊冠脉介入治疗是救治急性心肌梗死的最有效的途径,创伤小,康复快,并发症少。云南省中医医院心血管病科是一个中西医结合诊疗的科室,在心血管介入及中医诊疗上具备较强实力,居省内领先的地位。我们紧跟时代脉搏,遵循疾病的规范化治疗,以世界及国内疾病治疗指南为准绳,着眼于未来、着力于当下,做到西医不落后,中医中药有特色是我科发展的根本。为兄弟科室提供更完善的支撑,为广大患者提供更专业的服务。
文/心血管病科:陈昌国
