前段时间,病房收治了一位28岁小伙子,因“发现左侧腋窝包块近1年”就诊,包块大小约有10cm*12cm,且表面有红肿、破溃及脓液渗出。
我们所有医护人员都很震惊,怎么会拖到包块长这么大才来住院?而且还是年轻人,对自己的身体健康就这么不在意么?
详细询问病史,了解到,患者1年前就发现左侧腋窝有一个鹌鹑蛋大小的包块,因为不痛不痒,不影响自己工作生活,就一直没有在意。直到最近一个多月开始,包块明显长大了,且开始出现疼痛,影响到上肢的活动及睡眠,才过来门诊就诊。

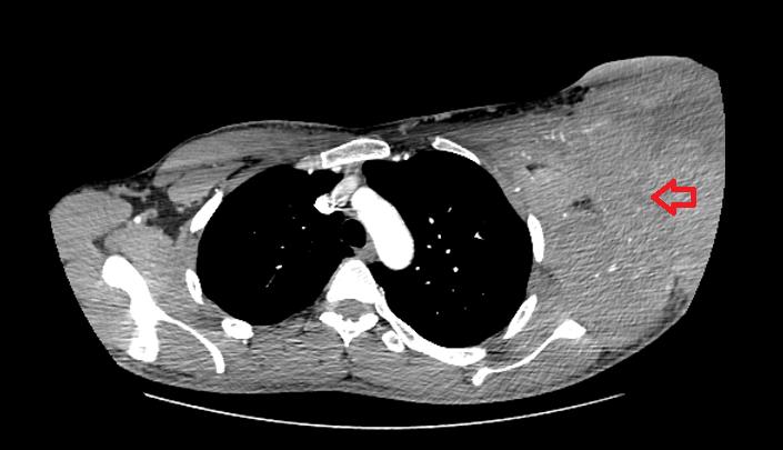
患者CT图像,红色箭头所指为左侧腋窝巨大包块所在区域
入院完善全面检查后,结合患者检查结果及病史,我们考虑为淋巴瘤可能性很大,遂尽快安排了活检进一步明确诊断。病理结果为非霍奇金淋巴瘤。

患者病检结果
什么是非霍奇金淋巴瘤?
首先,我们需了解什么是淋巴瘤?淋巴瘤起源于淋巴结和淋巴组织,是最早发现的血液系统恶性肿瘤之一。根据组织病理学分为霍奇金淋巴瘤和非霍奇金淋巴瘤两大类型。
非霍奇金淋巴瘤是一组具有不同组织学特点和起病部位的淋巴瘤,易发生早期远处转移。根据单克隆抗体、细胞遗传学及分子生物学再进一步分为不同亚型。其中弥漫性大B细胞淋巴瘤是其中最常见的类型。
非霍奇金淋巴瘤有哪些表现?
- 无痛性的进行性淋巴结肿大或者局部肿块 是大部分淋巴瘤患者的首诊症状。淋巴结和淋巴组织遍布全身,所以淋巴瘤可发生于身体的任何部位,其中淋巴结、扁桃体、脾脏及骨髓是最易受累及的部位。
- 累及的部位和器官不同,引起的症状也不一样,所以可能表现出各种各样的症状,例如:如果累及到肺可能出现咳嗽、胸闷等;累及到肠道,可能出现腹痛、腹泻、腹部包块;
- 其他全身症状:连续3天以上不明原因发热超过38℃;6个月内体重不明原因减轻大于10%;盗汗,通常夜间会湿透内衣。

非霍奇金淋巴瘤的治疗及预后
非霍奇金淋巴瘤的治疗根据病变分期、原发部位、国际预后指数等综合考虑决定治疗方案。采用以化疗及靶向为主、放疗结合的的综合治疗。对于特定患者还还需采取造血干细胞移植。
总体来说,非霍奇金淋瘤是对放化疗较敏感的一类肿瘤。根据国际预后指数,5年生存率在26%-73%之间。
目前,随着社会发展,食品添加剂、农药等环境污染问题导致非霍奇金淋巴瘤发病率呈上升趋势,居我国常见恶性肿瘤的第9位,且发病年龄呈年轻化趋势。
因此,对于发现体表不明原因肿块,尤其是不痛不痒的,进行性增大的肿块更应该引起重视,及时就医,以免耽误治疗时机。