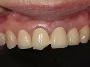
烤瓷牙是品质比较高的一种牙冠。因为陶瓷的品质非常坚硬,在生活之中可以满足我们大部分需要,由于价格相对于全瓷冠来说比较便宜,所以大部分人都会选择烤瓷牙。但事无完全,烤瓷牙一样会出现损坏的情况。出现这种情况主要是因位烤瓷牙本身和患者使用不当使用两个原因。

烤瓷牙本身的原因导致崩坏
首先,如果烤瓷牙的材料不是非常好,它本身的耐磨耐冲击性就比较低。在患者使用时,出现瞬时大力咬合的情况时,就很容易产生裂开甚至局部碎裂的情况。
其次,如果在制备烤瓷牙时,内嵌的金属托槽比较薄,可能无法对外围的瓷质进行有效的支撑保护,导致瓷牙冠崩裂的情况。
最后,如果在套烤瓷牙之前,基牙的处理不当,就会变相地缩短烤瓷牙的厚度。在使用的过程中自然也就更加容易产生崩裂。

在正规医疗机构进行烤瓷牙修复,上述的情况如果出现,那么多为医生在处理牙齿时没有进行充分的考虑。
患者使用不当的原因导致崩坏
首先,患者在进行牙齿修复佩戴牙冠之后,应该听从医生的建议,在生活中不要食用过于坚硬的食物。有的患者在牙齿治疗好之后,没有任何不适感了就忘记了牙齿保护的重要性。

其次,佩戴完烤瓷牙冠之后,有时候患者和医生都会没有注意到牙齿咬合面的吻合问题。这种情况如果长时间使用的话,烤瓷牙就会承受比预计更多的咬合力,增加崩坏的风险。

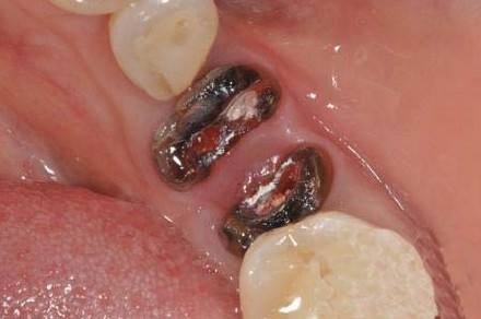
烤瓷牙如果发生了崩裂,我们不及时处理的话就会产生一些风险,严重的会引发口腔疾病。
第一,牙齿的密封性会变得很差。
有的烤瓷牙崩裂患者会不注意,肉眼如果不仔细鉴别也很难发现。但就是这么一个细小的裂缝就足以打破烤瓷牙的密封性了。口腔细菌会从这里长驱直入,开始影响基牙。时间久了,基牙就会发生龋坏。
第二、金属烤瓷牙会将一些劣质金属暴露在口腔之内。
金属烤瓷牙的内部结构(也就是托槽)是金属合金。如果上面的牙冠发生碎裂脱落,有可能会将合金直接暴露在口腔之内。一般来说和进步对我们产生什么影响,但是如果和我们的食物残渣或者身体分泌物产生融合发生反应的话,就有可能产生对我们不利的元素。
第三、牙冠碎裂可能刮伤口腔
如果牙冠碎裂产生了尖锐面,这对我们的舌头、口腔内壁等等有刮伤的风险。

要避免上述的伤害,也让我们平时用牙更加的顺利。在发现烤瓷牙出现问题时,需要及时的解决。一般来说,如果牙齿属于平面崩坏程度很轻,也就是表层掉了一个拨片,那么可以寻求医生的帮助对牙冠进行打磨抛光,是不影响使用的。
如果牙冠崩裂的情况比较严重,那么就需要重新制备一个牙冠进行替换了。烤瓷牙是不能像正常牙一样进行修复的。

在进行牙齿修复时,患者应该选择正规的医院医疗机构,选择技术成熟的医生进行操作。这样不论是在牙冠的材质还是修复的精准度上都有一定的保障。同时在修复牙冠之后,一定要遵从医嘱,严格注意用牙习惯。另外就是患者最好能够定期去医院检查口腔状况,让医生来判断烤瓷牙的使用和密封情况,及早发现问题。
