
导读:美白牙贴面是根据患者牙齿个性化定制、用全瓷材料加工、最薄可达0.2mm的微创美容贴片。这种超薄贴面需要由专业牙医采用专业技术将其粘帖在原先不太美观的牙齿表面,用以遮挡颜色和形状
一.什么是美白牙贴面
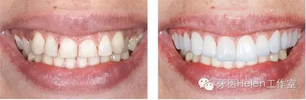
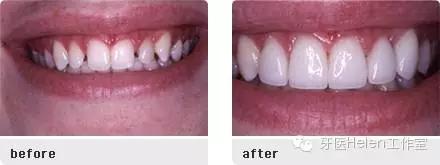
美白牙贴面是根据患者牙齿个性化定制、用全瓷材料加工、最薄可达0.2mm的微创美容贴片。这种超薄贴面需要由专业牙医采用专业技术将其粘贴在原先不太美观的牙齿表面,用以遮挡颜色和形状。牙贴面能最大限度地保留天然牙齿的强度和活性,无毒副作用,并使牙齿尽可能达到黄金比例,是经久耐用的永久性修复体。


二.美白牙贴面的效果
明眸皓齿是自古以来对美丽的一贯标准。“如你般精致,又怎能不讲美丽武装到牙齿?”然而对牙齿来说,光有洁白、整齐还是不够哟,牙齿的形状和比例也应如同时装一般,需要与脸型、身材、肤色等等相匹配。美白牙贴面就是能通过无创或微创方式,应用黄金分割和微笑线等原理,为您私人定制出时尚美牙的最佳*器武**。
三.美白牙贴面的用途
几乎所有想要改善牙齿颜色和形状的人士都能通过做牙贴面来达到良好效果。特别适用于以下人群:四环素牙、氟斑牙、死髓牙、牙齿过小、有牙缝、瓜子牙、增龄性变黄、少量牙齿中线偏移、牙齿轻度拥挤、各类牙列不齐、形态不良等情况。对于一些特殊病例,通过矫正适当排齐牙齿之后再进行美白牙贴面的联合修复,是最佳选择。



新浪微博:@牙医helen
预约微信号1:dentist-Helen
微信号2:A0210551
公众微信号:yayiHelen
本文为牙医Helen(黄璐医生)原创,如需转载请与作者联系,授权后转载需注明出处,违者必究。
想要了解健康管理牙齿的一切资讯,请关注“牙医Helen专栏科普”,小编会定期更新牙医Helen的原创文章。