鲁网12月29日讯近日,青岛妇女儿童医院小儿骨科成功为一名患有“脆骨病”(又名成骨不全症)的2岁患儿进行了“左侧股骨骨折可延长髓内针内固定术”治疗,这是可延长式髓内针在省内首次应用于“脆骨症”患儿的骨折治疗。
一周前,彤彤(化名)在家中玩耍时不慎摔倒,哭闹不止,父母发现孩子左侧大腿肿胀变形,不能动弹,心急如焚的一家人赶紧抱着彤彤来到青岛妇儿医院小儿骨科就诊。
为什么只是摔一跤,孩子就“左侧股骨干骨折”?为揪出“元凶”,专家接诊后详细询问了孩子受伤经过、既往病史及家族疾病史,怀疑彤彤患有一种少见的遗传性疾病:成骨不全症。小儿骨科团队立即安排患儿进行基因检测,结果证实了专家的判断,彤彤就是大家常说的“瓷娃娃”。
成骨不全症,又称脆骨病、原发性骨脆症、骨膜发育不良,是一种罕见遗传性骨疾病,发病率约10万分之3。患儿易发骨折,轻微的碰撞也会造成严重骨折,给患儿及家长带来巨大的痛苦,但一般过了青春期,骨折次数会逐渐减少。目前,还没有针对成骨不全症致病基因突变的有效治疗方法,现有治疗仅为对症治疗,其目的在于増加患儿的骨密度、降低骨折率、提高骨折手术质量、改善骨畸形,以提高生活质量。

小儿骨科团队多次讨论后,决定采用一种专门针对成骨不全的全新手术方式:儿童可延长式髓内针内固定术。这种髓内针可以应用于大腿、小腿、上臂等长骨骨折。随着孩子的生长,可延长髓内针自动滑动延长,加强了患儿骨质的强度,减少再次骨折的几率。

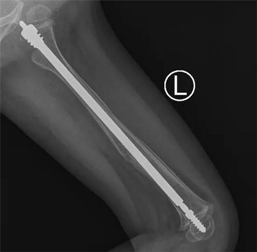
在完善各项检查和准备后,小儿骨科团队在麻醉科、手术室的配合下为彤彤进行了微创手术。术中,主刀医生小儿骨科主任董震将直径为3.0mm的针芯和4.8mm的可延长弹性髓内钉系统,精准的置入股骨髓腔内完成复位和固定。手术耗时仅1.5个小时,骨折部位并无手术切口,仅在远离骨折的肢体近端有个微创手术切口,术中出血仅5ml。目前彤彤恢复良好,已经康复出院。
青岛妇儿医院小儿骨科专家提醒:小朋友天性好动,摔倒时没有自我保护意识,所以更易发生骨折。如果孩子意外发生骨折,应及时前往正规医院小儿骨科专科就诊、治疗。儿童骨折后家长要保护患肢,不要大幅度搬动,不要擅自按摩、热敷等,避免造成二次伤害。(本网记者)
来源: 鲁网