
这是柑橘的生理性卷叶。一句话就是:生理性卷叶。我们应该见过番茄作物的生理性卷叶,道理类似。砂糖橘这个品种很容易出现叶片反卷,轻的能一定程度恢复,重的不可逆转。根据我的观察,应该是生理性卷叶的范畴。
不要简单的归结于缺硼、线虫危害等,马上去买农药回来喷也不一定有效果,搞不好还起反作用。
这是生理性卷叶,原因是多方面的:
1,根系损伤会造成生理性卷叶。
A,移栽伤根,造成生理性卷叶。

这一张是百丈石龙村的照片,有几株大树移栽之后,老叶均出现叶片反卷,未移栽的树没有出现。
B,干旱伤根,造成生理性卷叶。

不少岭地果园,在遭遇干旱之后容易叶片反卷,特别一些土质容易开裂的。干旱造成的卷叶表现为大面积和普遍性,土层浅薄根系上浮的果园更容易发生。
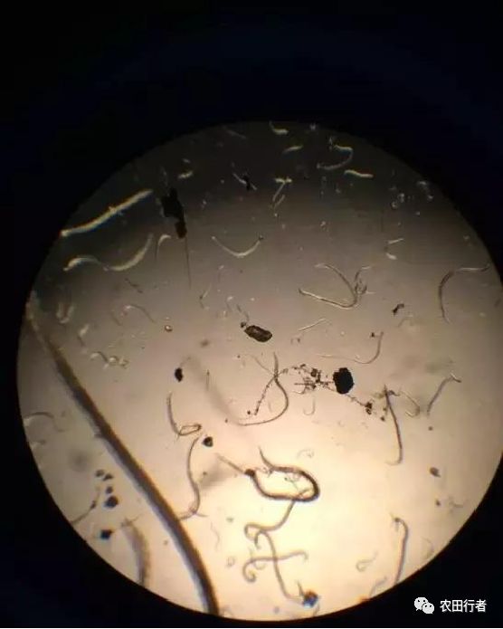
C,线虫伤根,造成生理性卷叶。
线虫危害的果树症状有个递增的过程,忽然发生的卷叶可以排除线虫危害。在本地线虫普遍存在,甘蔗地和桑树地改种柑橘的线虫基数更大,我们这两年做线虫防治工作积累了很多这方面的素材,通过显微镜镜检可以观察到线虫。

D,断根伤根,造成生理性卷叶。
秋冬断根促花,会引起卷叶。
E,肥料伤根,造成生理性卷叶。
F,温度骤变伤根,造成生理性卷叶。
可以说,大部分的情况都是伤根造成的卷叶现象。

2,树体损伤,造成生理性卷叶。检查树体是否损伤是首先要做的工作。
A,环割刻伤,造成生理性卷叶。
B,嫁接口损伤,造成生理性卷叶。
嫁接口镶嵌薄膜会造成生长不良。
C,脚腐病,造成生理性卷叶。
D,天牛等外物伤,造成生理性卷叶。
E,喷施药剂浓度过大,造成卷叶。

喷施多效唑以及叶面肥的时候要掌握适合的浓度,过量会影响树体反应造成卷叶。
3,碎叶病造成木质部通道受阻,引起卷叶。

很多果园都会有几株碎叶病病株,为嫁接时候感染病毒所致,长大到一定程度表现全株卷叶症状,树体大之后会容易从蔸部整齐折断,所结的果实着色不良,不具商品性。
4,缺硼引起卷叶
缺硼的文章很多了,土质不好缺硼,干旱等诱因也会引起缺硼,缺硼症状还不应局限于卷叶,叶脉以及花果都应该能看到相关症状。本地的管理都会有基施微量元素肥以及春季多次叶面喷施硼肥的习惯,硼不是大问题。
果农朋友可以根据自己管理的经历,找出卷叶的原因了吗?找出原因对症治疗,不需盲目用药,以免引起别的问题。根系以及树体受伤造成的卷叶,可以通过良好的水肥及病虫管理让后续长出的叶片生长良好不反卷,而碎叶病造成的卷叶,只有挖除或靠接换根
合作、交流请洽13156015008(微信同步)。
公众号维护:aiweisheji.com | 爱伟设计【爱伟建站】
服务项目: 营销网站建设 | 品牌网站建设 | 微信平台搭建、维护
17753129741